Metastasi pleurica da carcinoma mammario
Caso
Donna di 83 anni, ex fumatrice da 10 anni (30 packs/year), ex insegnante di lettere, con storia di quadrantectomia mammaria sinistra per adenocarcinoma ER e Pgr positivo nel 2010, seguita da CT e RT. Ripresa di malattia in sede linfonodale e scheletrica nel 2016, ha fatto terapia con fulvestrant e acido zoledronico e poi vinorelbina e capecitabina. Nel 2017 in seguito a riscontro di CEA serico molto elevato (oltre 200 ng/mL) ha eseguito ulteriori accertamenti e la colonscopia ha evidenziato lesione a manicotto del sigma, con diagnosi istologica di adenocarcinoma. Nel frattempo dispnea ingravescente con riscontro di versamento pleurico a destra (Figura 1A) e PaO2 di 60 mmHg, per cui è stata ricoverata in Pneumologia il 24 novembre 2017 ed è stata sospesa la decisione terapeutica, protesi endo-intestinale, relativa all’adenocarcinoma del sigma.
All’ingresso sono risultati nella norma gli esami di laboratorio di routine; i marker hanno evidenziato CEA 215 ng/mL, CA 125 82 U/mL; l’Angio-TC del torace ha escluso embolia polmonare e ha evidenziato abbondante versamento pleurico dx (Figura 1B) con ispessimenti e nodulazioni della pleura mediastinica, margino-costale e diaframmatica.
Il 25 novembre, previa ecografia e anestesia locale con xilocaina 2% 6 cc, abbiamo posizionato un drenaggio endopleurico da 12 Fr con ago di Verres a dx e abbiamo drenato 1800 cc di liquido giallo citrino in 3 giorni.
Il 28 novembre, con fine diagnostico e palliativo-terapeutico, abbiamo eseguito toracoscopia medica con prospettiva di talcaggio. La toracoscopia medica viene eseguita con paziente in sedazione profonda e assistenza anestesiologica e con introduzione del trocar nel 6° spazio intercostale dx sulla ascellare medio-posteriore previa anestesia locale con xilocaina 2% 6 cc. Il cavo pleurico è risultato ben esplorabile dopo asportazione di alcune lacinie con riscontro di: 1) infiltrazione nodulare (di varie dimensioni) rosso-rosea (Figura 2A) e vegetazioni (Figura 2B) a carico della pleura parietale (9 biopsie) 2) nodulini su pleura viscerale nel LI (Figura 2C). Nebulizzato talco (4 gr), si è posizionato T di drenaggio 20 fr e si è applicato aspiratore (20 cmH20).
La paziente viene dimessa l’1 dicembre dopo 3 gg di aspirazione endopleurica a 20 cm H2O (ultimo giorno 10 cc di LP).
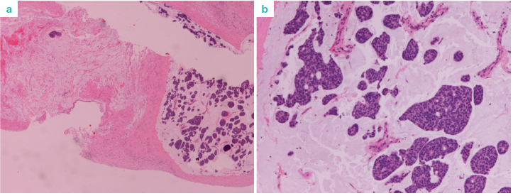
L’esame istologico delle biopsie pleuriche ha mostrato: frammenti multipli di pleura parietale con infiltrazione di adenocarcinoma scarsamente differenziato con aspetti mucoidi; le indagini immunoistochimiche hanno documentato positività nelle cellule neoplastiche per GATA-3, recettori estrogenici (90%) e negatività per citocheratina 7, citocheratina 20, cromogranina, TTF-1 e CDX-2. Quadro compatibile con localizzazione pleurica di carcinoma della mammella con aspetti mucoidi.
La diagnosi finale è stata: versamento pleurico destro da metastasi di carcinoma mammario in carcinoma del colon.
La paziente ha eseguito controllo radiologico, clinico ed ecografico il 18 dicembre: ispessimento pleurico dx senza recidiva di liquido, poi non è tornata a follow-up e non siamo a conoscenza se abbia eseguito trattamento oncologico.
Commento
Il cancro mammario è la seconda causa di versamento pleurico maligno nella popolazione e la prima causa nel sesso femminile 1 2. La sensibilità citologica sul liquido pleurico è risultata essere del 63% 3 e pone problematiche in diagnosi differenziale, per cui la toracoscopia con prelievi istologici diventa l’esame diagnostico principe, da indicazioni terapeutiche e permette di eseguire pleurodesi a scopo palliativo 4. Il versamento pleurico metastatico da cancro mammario non è frequente alla toracoscopia: nella nostra casistica dal 2002 al 2016 abbiamo diagnosticato 31 casi su 156 versamenti neoplastici secondari e su un totale di 814 toracoscopie (dati non pubblicati). In letteratura non abbiamo trovato casistiche che descrivano i quadri toracoscopici specifici delle metastasi pleuriche da carcinoma mammario. Nella nostra casistica abbiamo osservato noduli (24 casi, 77%), vegetazioni (5 casi, 15%) che possono associarsi ai noduli (3 casi); nel 13% la pleura parietale non ha mostrato chiare lesioni infiltrative focali, pur presentando ispessimento della pleura (4 casi). La pleura viscerale è interessata nel 44% dei casi con noduli e vegetazioni. Sostanzialmente un pattern toracoscopico simile alle altre patologie metastatizzate in pleura 4. Il quadro toracoscopico da noi riportato presenta sia i noduli che le vegetazioni, con impegno della pleura viscerale. Questo caso ci conferma: di fronte a un versamento pleurico in storia di cancro mammario e cancro del colon, la toracoscopia permette la diagnosi differenziale e la terapia palliativa 4.
La rarità di report con foto toracoscopiche di carcinoma mammario in pleura ci fa ritenere che possa essere interessante la pubblicazione di queste immagini.
Figure e tabelle
Figura 1.A) Rx torace supino: versamento pleurico dx con spostamento controlaterale del mediastino. B) Angio-TC: versamento pleurico dx con atelettasia del LID.
Figura 2.Toracoscopia dx. A) Pleura parietale con infiltrazione nodulare, di varie dimensioni, rosso-rosa. B) Nel seno costofrenico presenza di vegetazione. C) Piccoli noduli rosa sulla pleura viscerale del LID.
Figura 3.Esame istologico. Pleura parietale con infiltrazione neoplastica: laghi di mucina entro cui fluttuano nidi di cellule neoplastiche poco differenziate, pleomorfe e con immagini di attività mitotica (a 40x). A) EE 20X, B) EE 40X.
Riferimenti bibliografici
- Chatterjee K, Goyal A, Kakkera K, Meena N. Etiology of malignant pleural effusion and utilization of diagnostic and therapeutic procedures: a nationwide analysis. J Bronchol Intervent Pulmonol. 2017; 24:e10-12.
- Roberts ME, Neville E, Berrisford RG. Management of a malignant pleural effusion: British Thoracic Society pleural disease guideline 2010. Thorax. 2010; 65:32-40.
- Gasparri R, Leo F, Veronesi G. Video-assisted management of malignant pleural effusion in breast carcinoma. Cancer. 2006; 106:271-6.
- Canessa PA, Pinelli V. La patologia pleurica neoplastica. Rass Patol App Respir. 2016; 31:92-100.
Affiliazioni
Licenza

Questo lavoro è fornito con la licenza Creative Commons Attribuzione - Non commerciale - Non opere derivate 4.0 Internazionale.
Copyright
© Associazione Italiana Pneumologi Ospedalieri – Italian Thoracic Society (AIPO – ITS) , 2018
Come citare
- Abstract visualizzazioni - 1141 volte
- PDF downloaded - 3020 volte
