Insufficienza respiratoria acuta da ARDS in infezione da Citomegalovirus (CMV) in paziente immunocompetente
Abstract
Paziente giovane adulta (30 anni), immunocompetente, senza precedenti clinici di rilievo, giunta alla nostra osservazione dopo trasferimento da reparto di Medicina Generale per quadro emogasanalitico di insufficienza respiratoria acuta parziale con immagini TC torace compatibili con ARDS (Acute Respiratory Distress Syndrome). Durante la degenza è stata trattata con ossigenoterapia ad alto flusso e con cicli di casco CPAP (Continuous Positive Airway Pressure). Sottoposta a fibrobroncoscopia e lavaggio broncoalveolare (BAL) con riscontro di intensa positività per CMV-DNA in BAL (quantitativo CMV-DNA 64740 copie/ml). Trattata con ganciclovir endovena per due settimane con guarigione clinico-radiologica.
Introduzione
La positività della sierologia da Citomegalovirus (CMV) è molto frequente nella popolazione generale (47% fra gli adolescenti, 65% fra i 40-49 anni, > 90% negli anziani). Il CMV fa parte della famiglia degli Herpes Virus. L’infezione è spesso acquisita in giovane età ed è di solito asintomatica; come avviene per tutti i virus erpetici, dopo l’infezione primaria anche il CMV resta in uno stato di latenza nell’organismo, venendo poi eliminato in piccole quantità per tutta la vita attraverso saliva e urine. L’infezione acuta da CMV è severa nell’ospite immunodepresso.
Nel soggetto immunocompetente adulto in condizioni critiche (paziente con sepsi, degenza in terapia intensiva) lo sviluppo di una infezione conclamata da CMV è quasi sempre conseguenza di una riattivazione in paziente precedentemente sieropositivo 1. In ampie casistiche nessuno dei pazienti critici sieronegativi ha sviluppato l’infezione, che è stata invece contratta in una percentuale variabile tra il 13 e il 56% dei sieropositivi 2.
Nel soggetto immunocompetente adulto in condizioni critiche lo sviluppo di una infezione conclamata da CMV è quasi sempre conseguenza di una riattivazione in paziente precedentemente sieropositivo.
Normalmente il soggetto immunocompetente contrae l’infezione in modo asintomatico o pauci-sintomatico (quadro clinico simil-influenzale o simil-mononucleosico).
Su ampie casistiche di infezione da CMV in pazienti immunocompetenti la percentuale di interessamento respiratorio è molto bassa e in letteratura non sono decritti casi di severa insufficienza respiratoria acuta.
Su ampie casistiche di infezione da CMV in pazienti immunocompetenti la percentuale di interessamento respiratorio è molto bassa (varia dall’1,4 all’8%) e in letteratura non sono decritti casi di severa insufficienza respiratoria acuta 3-6.
Caso clinico
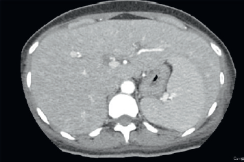
Ragazza di 30 anni, forte fumatrice, 1 pacchetto/die da 15 anni, giunta in Pronto Soccorso presso l’Ospedale di Carate Brianza per iperpiressia negli ultimi dieci giorni senza localizzazione d’organo. Durante la degenza in Medicina riferita piressia con associata artromialgia al cingolo pelvico. Agli esami ematici d’ingresso PCR 7,8 mg/dL, potassio 2,9 mEq/L, sodio 131 mEq/L, PLT 95 · 103/μl, ALT 75 U/L, AST 132 U/L, all’Rx torace riscontro di rinforzo dell’interstizio. All’ecocardiogramma modesta falda di versamento pericardico. Durante la degenza a seguito del peggioramento dell’addominalgia la paziente è stata sottoposta a ecografia addominale, visita chirurgica e ginecologica negativi per acuzie. Successivamente, per il peggiorare degli scambi respiratori e delle condizioni cliniche, è stata eseguita una TC torace e addome con evidenza alla TC torace di quadro a vetro smerigliato agli apici polmonari, soprattutto a destra e al lobo medio, e versamento pleurico bilaterale (Figure 1, 2). Alla TC addome ingrossamento del lobo sx epatico (Figura 3) con diffuso ispessimento del colon ascendente sino al colon trasverso e discreto versamento nello scavo pelvico. Agli esami ematici si è assistito ad un progressivo incremento dei globuli bianchi 12,2 · 103/mm3 con linfocitosi 68%, rapporto CD4/CD8 0,19 (segnalate forme immature granulocitarie e linfociti attivati).
La sierologia per CMV, inizialmente dubbio positivo, è risultata negativa al test di conferma (IgM 13; IgG 14); i virus epatotropi (EBV, Toxoplasma, HAV, HBV e HCV), le emocolture, il tampone faringeo e il tampone influenza H1N1 sono risultati negativi, come gli antigeni urinari per Pneumococco e Legionella, le precipitine, CEA, GICA, α-feto proteina sono risultati nella norma. Gli esami alterati risultavano le LDH con titolo 1.300 U/L e le β2 microglobuline 4,6 mg/L. L’HIV era negativo. Per il progressivo peggioramento degli scambi respiratori la paziente è stata trasferita alla nostra osservazione in Pneumologia per ulteriori accertamenti e cure. Impostata terapia antibiotica empirica ad ampio spettro con levofloxacina, meropenem e teicoplanina, le emocolture sono risultate negative. Sottoposta a broncoscopia con lavaggio broncoalveolare (BAL), il reperto citologico rivelava macrofagi di media e grande taglia, taluni multinucleati, discreto numero di linfociti, alcuni polimorfonucleati, evidenza di inclusi nucleari suggestivi per lesione virale da CMV 7.
Il reperto citologico del BAL rivelava macrofagi di media e grande taglia, taluni multinucleati, discreto numero di linfociti, alcuni polimorfonucleati, evidenza di inclusi nucleari suggestivi per lesione virale da CMV.
Non evidenza di CTM, strutture fungine e corpuscoli dell’asbesto.
Formula del BAL: macrofagi 59%, linfociti 31%, neutrofili 6%, eosinofili 4%; CD4 24 (vn 36-62), CD8 76 (vn 15-45) CD4/CD8 0,3 (vn 1,5-2). La ricerca CMV-DNA su BAL è risultata positiva per CMV ad alta carica (CMV-DNA quantitativo 64.740 numero copie/mL). Per il persistere della piressia ed il peggioramento degli scambi respiratori (EGA in aria PaO2 51 mmHg, PaCO2 31 mmHg, pH 7,45, satO2 88%; FR 32/min, FC 120/min; EGA in FiO2 50%, PaO2 71 mmHg, PaCO2 30 mmHg, pH 7,40, PaO2/FiO2 o P/F 142), la paziente è stata trattata con casco CPAP con miglioramento dell’ossigenazione in acuto (P/F in CPAP 275 PEEP 10 cmH20). Alla luce del referto BAL è stata iniziata terapia con ganciclovir (5 mg/kg/bid) per due settimane con graduale, netto miglioramento clinico e radiologico. Dopo 14 giorni passata terapia per via orale in regime domiciliare con valganciclovir per ulteriori 10 giorni. Alla dimissione la paziente era eupnoica e apirettica con esami ematochimici in miglioramento: LDH 1343 U/L --> 622 U/L, AST 62 U/L, ALT 48 U/L, PCR 8,3 mg/dL --> 0,4 mg/dL; all’ecocolordoppler cardiaco risoluzione del versamento pericardico. Alla TC torace e addome con mdc di follow-up risoluzione degli addensamenti polmonari e dei reperti addominali; normalizzazione del quadro alla valutazione clinica.
Discussione
La salienza del caso clinico descritto è determinata dal fatto che l’infezione da CMV si è manifestata in un soggetto giovane, immunocompetente (test per HIV negativo, immunoglobuline nella norma, nessuna terapia immunosoppressiva in atto, nessuna evidenza di patologia neoplastica e/o autoimmune), senza precedenti clinici di rilievo. Normalmente l’infezione da CMV si manifesta con uno scarso interessamento del sistema respiratorio (rari casi di polmonite interstiziale) 5 6.
La paziente ha avuto un interessamento multisistemico, ma è prevalsa nettamente la compromissione dell’apparato respiratorio, con sviluppo di grave polmonite interstiziale bilaterale e modesto versamento pleurico bilaterale.
La nostra paziente ha avuto un interessamento multisistemico (versamento pericardico, epatomegalia, diffuso ispessimento del colon ascendente sino al colon trasverso e discreto versamento nello scavo pelvico, piastrinopenia), ma è prevalsa nettamente la compromissione dell’apparato respiratorio, con sviluppo di grave polmonite interstiziale bilaterale (quadro radiologico e funzionale suggestivo per ARDS lieve) e modesto versamento pleurico bilaterale. Il quadro respiratorio ha determinato una insufficienza respiratoria acuta ipossiemica grave (P/F 142 in FiO2 50%) che ha reso necessario trattamento in acuto con casco CPAP (P/F 275 con PEEP 10 cmH20) e trasferimento della paziente in terapia semi-intensiva respiratoria. Dal passaggio della paziente dalla divisione di Medicina Generale a quella di Pneumologia si sono avuti due fondamentali vantaggi: la diagnosi eziologica è stata effettuata dopo fibrobroncoscopia con BAL, che è stata eseguita tempestivamente, subito all’ingresso in reparto di Pneumologia, prima che la paziente sviluppasse una severa ipossiemia; visto il quadro radiologico e funzionale di ARDS lieve (P/F 275 in casco CPAP con PEEP 10 cmH20), è stato fondamentale il trasferimento in terapia semi-intensiva respiratoria ed il concomitante trattamento con casco CPAP, che ha permesso un rapido miglioramento dell’ipossiemia. Il costante monitoraggio ha garantito la possibilità di una eventuale rapida intubazione in caso di improvviso peggioramento, in una situazione clinico-radiologica a prognosi severa-mortalità del 27%, secondo le Berlin Definition 8 per quadro di ARDS lieve.
Il costante monitoraggio ha garantito la possibilità di una eventuale rapida intubazione in caso di improvviso peggioramento, in una situazione clinico-radiologica a prognosi severa-mortalità del 27%, secondo le Berlin Definition per quadro di ARDS lieve.
L’inizio della terapia con ganciclovir ha comportato un progressivo e rapido miglioramento del quadro di insufficienza respiratoria che ha permesso di interrompere il trattamento del casco CPAP dopo circa 48 ore.
Figure e tabelle
Figura 1.TC torace: interessamento a vetro smeriglio polmonare prevalente a dx.
Figura 2.TC torace: versamento pleurico bilaterale.
Figura 3.TC addome: ingrossamento del lobo sn epatico.
Riferimenti bibliografici
- Osawa R, Singh N. Cytomegalovirus infection in critically ill patients: a systematic review. Crit Care. 2009; 13:R68.
- Ziemann M, Sedemund-Adib B, Reiland P. Increased mortality in long-term intensive care patients with active cytomegalovirus infection. Crit Care Med. 2008; 36:3145-50.
- Wreglitt TG, Teare EL, Sule R. Cytomegalovirus infection in immunocompetent patient. Clin Infect Dis. 2003; 37:1603-6.
- Colomba C, Lalicata F, Siracusa L. Malattia da Citomegalovirus nell’ospite immunocompetente. Considerazioni clinico immunologiche. Le Infezioni in Medicina. 2012; 1:12-5.
- Rafailidis PI, Mourtzoukou EG, Varbobitis IC, Falagas ME. Severe cytomegalovirus infection in apparently immunocompetent patients: a systematic review. Virol J. 2008; 5:47.
- Cunha BA. Cytomegalovirus pneumonia: community-acquired pneumonia in immunocompetent hosts. Infect dis Clin North Am. 2010; 24:147-58.
- Riise GC, Andersson R, Bergström T. Quantification of cytomegalovirus DNA in BAL fluid: a longitudinal study in lung transplant recipients. Chest. 2000; 118:1653-60.
- ARDS Definition Task Force, Ranieri VM, Rubenfeld GD. Acute respiratory distress syndrome: the Berlin Definition. JAMA. 2012; 307:2526-33.
Affiliazioni
Licenza

Questo lavoro è fornito con la licenza Creative Commons Attribuzione - Non commerciale - Non opere derivate 4.0 Internazionale.
Copyright
© Associazione Italiana Pneumologi Ospedalieri – Italian Thoracic Society (AIPO – ITS) , 2016
Come citare
- Abstract visualizzazioni - 706 volte
- PDF downloaded - 1326 volte
