L’ecografia in UTIR
Abstract
Molte applicazioni dell’ecografia toracica in emergenza e terapia intensiva trovano spazio anche nell’Unità di Terapia Intensiva Respiratoria (UTIR). La migliore accuratezza diagnostica dell’ecografia toracica si realizza quando essa viene integrata nell’esame clinico del paziente e impiegata come supporto al ragionamento diagnostico dello pneumologo.
Articolo
L’ecografia è uno strumento diagnostico versatile per la valutazione dei parenchimi addominali, del cuore e per stime di flussi (ecografia Doppler). Nonostante ciò, le applicazioni polmonari sono poco conosciute dagli pneumologi.
L’ecografia del torace è invece molto informativa sullo stato del parenchima polmonare, con particolare riguardo al contenuto aereo dell’organo, potendo identificare e monitorare in tempo reale densità non consolidative (la cosiddetta sindrome interstiziale) e consolidative, singole o diffuse 1 2.
Le applicazioni dell’ecografia nell’Unità di Terapia Intensiva Respiratoria (UTIR)ricalcano quelle già note in emergenza e terapia intensiva 3 e si giovano della facilità con cui l’apparecchiatura raggiunge il paziente, della non invasività e del basso costo dell’esame.
La patologia pleurica
La diagnostica dei versamenti pleurici è agevole ed accurata. Il versamento è ben visibile (Figura 1), anche se in piccola quantità, e caratterizzabile (transonico, corpuscolare, fibrinoso, areolare). Anche i versamenti saccati sono diagnosticabili. L’ecografia è molto più accurata della radiografia standard per i versamenti. Infine il drenaggio di un versamento risulta più sicuro con l’impiego dell’ecografia 4 5.
La diagnosi ed il monitoraggio di uno pneumotorace sfruttano l’assenza del movimento pleurico (sliding) sopra la raccolta aerea ed il ripristino del fisiologico sliding ai margini di questa (lung point). L’accuratezza diagnostica è maggiore del 90%.
La patologia polmonare
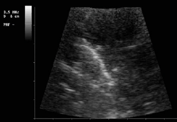
Il polmone normalmente aerato è acusticamente speculare (Figura 2) e mostra un tipico pattern ecografico artefattuale. La deflazione patologica del polmone (compressione, subatelettasia, interstiziopatia) modifica l’acustica superficiale dell’organo, per cui il normale pattern viene sostituito da un pattern artefattuale costituito dalle cosiddette Linee B (Figura 3).
La loro densità può aumentare con l’aggravarsi della densità polmonare. La sindrome interstiziale ecografica (Linee B e polmone bianco) segnala pertanto uno stato patologico di densità dell’organo da deflazione, una patologia dell’interstizio (edema, fibrosi) o un quadro combinato 1 2 4. Ciò è utile per la diagnosi ed il monitoraggio degli edemi cardiogenici e non del polmone, delle polmoniti interstiziali e per il reclutamento di regioni polmonari ipoventilate 6.
Il consolidamento polmonare ecografico (polmonite alveolare, atelettasia) (Figura 4) si produce quando il rapporto aria/tessuto raggiunge un livello critico, per cui l’organo assume un aspetto solido o quasi solido.
La sindrome interstiziale ecografica segnala uno stato patologico di densità dell’organo da deflazione, una patologia dell’interstizio (edema, fibrosi) o un quadro combinato.
Lo studio dei broncogrammi aerei (Figura 5) assume un ruolo per la differenziazione tra polmonite ed ostruzione bronchiale 4.
KEYPOINT MESSAGES ✓ L’esame ecografico in UTIR migliora l’accuratezza diagnostica dell’esame clinico del paziente. ✓ L’esame ecografico in UTIR in molti casi migliora l’accuratezza diagnostica della radiologia tradizionale. ✓ L’ecografia è un esame bedside che può (e deve) essere eseguita dallo pneumologo. ✓ La massima resa dell’ecografia è verso la patologia pleurica (versamenti, pneumotorace) e per la stima rapida delle densità preconsolidative e consolidative, focali e diffuse del polmone. ✓ La ripetibilità dell’esame esalta il suo ruolo come strumento bedside di monitoraggio (nello pneumotorace, negli edemi del polmone, nell’ARDS, nelle polmoniti). ✓ L’ecografia consente di eseguire in sicurezza molte procedure interventistiche (toracentesi, drenaggi toracici, reclutamenti alveolari nei pazienti ventilati) 7 8. ✓ L’ecografia permette la valutazione della funzione degli emidiaframmi 9 e sta assumendo un ruolo nel monitoraggio della ventilazione meccanica, nello svezzamento del paziente dal ventilatore e nella riabilitazione del malato respiratorio.
Figure e tabelle
Figura 1.Versamenti pleurici. In alto: versamento pleurico transonico (scompenso cardiaco). In basso: versamento pleurico complesso settato (empiema).
Figura 2.Ecografia di un piano pleurico normale. Il piano pleurico è regolare e viene riprodotto ad intervalli regolari in profondità a causa della specularità acustica della linea pleurica. Questi riverberi vengono denominati genericamente Linee A.
Figura 3.Sindrome interstiziale ecografica (edemi polmonari cardiogenici). L’immagine sottopleurica viene sostituita da artefatti verticali (Linee B) (a, b); interstiziopatia pneumogena con evidenti irregolarità del piano pleurico ed assenza di Linee A (fibrosi polmonare) (c); polmone bianco in un caso di ARDS (d). Si noti che in caso di interstiziopatia pneumogena la linea pleurica è irregolare e le Linee A sostituite spesso da polmone bianco, che ha il significato di forte decremento di porosità del polmone che prelude al consolidamento.
Figura 4.Consolidamenti polmonari. In alto: a sinistra, polmonite lobare inferiore sinistra completamente priva di aria. A destra: dopo terapia, iniziale reazione del lobo consolidato (frecce piccole). In basso: polmonite con focus colliquativo (freccia grande) e versamento pleurico fibrinoso (freccia piccola).
Figura 5.Immagini di broncogrammi aerei all’interno di consolidamento polmonitico lobare.
Riferimenti bibliografici
- Smargiassi A, Inchingolo R, Soldati G. The role of chest ultrasonography in the management of respiratory diseases: document II. Multidiscip Respir Med. 2013; 8:55.
- Zanforlin A, Giannuzzi R, Nardini S. The role of chest ultrasonography in the management of respiratory diseases: document I. Multidiscip Respir Med. 2013; 8:54.
- Volpicelli G, Elbarbary M, Blaivas M, International Liaison Committee on Lung Ultrasound (ILC-LUS) for the International Consensus Conference on Lung Ultrasound (ICC-LUS). International evidence-based recommendations for point-of-care lung ultrasound. Intensive Care Med. 2012; 38:577-91.
- Koegelenberg CF, von Groote-Bidlingmaier F, Bolliger CT. Transthoracic ultrasonography for the respiratory physician. Respiration. 2012; 84:337-50.
- Mayo PH, Doelken P. Pleural ultrasonography. Clin Chest Med. 2006; 27:215-27.
- Bouhemad B, Brisson H, Le-Guen M. Bedside ultrasound assessment of positive end espiratory pressure induced lung recruitment. Am J Respir Crit Care Med. 2010; 183:341-7.
- Stigt JA, Groen HJ. Percutaneous ultrasonography as imaging modality and sampling guide for pulmonologists. Respiration. 2014; 87:441-51.
- Musani A, Gasparini S. Advances and future directions in the interventional pulmonology. Clin Chest Med. 2013; 34:605-10.
- Matamis D, Soilemezi E, Tsagourias M. Sonographic evaluation of the diaphragm in critically ill patients. Technique and clinical applications. Intensive Care Med. 2013; 39:801-10.
Affiliazioni
Licenza

Questo lavoro è fornito con la licenza Creative Commons Attribuzione - Non commerciale - Non opere derivate 4.0 Internazionale.
Copyright
© Associazione Italiana Pneumologi Ospedalieri – Italian Thoracic Society (AIPO – ITS) , 2016
Come citare
- Abstract visualizzazioni - 362 volte
- PDF downloaded - 388 volte
