Dall’aperitivo... all’empiema!
Abstract
L’inalazione di corpo estraneo è molto spesso una condizione medica di emergenza che necessita di un pronto riconoscimento e di un intervento immediato. Il ritardo nella diagnosi e nel conseguente trattamento porta a serie e spesso fatali complicanze; tali complicanze tuttavia possono comunque presentarsi nonostante un rapido riconoscimento del quadro con tempestivo trattamento (rimozione del corpo estraneo appunto), come nel nostro caso.
Caso clinico
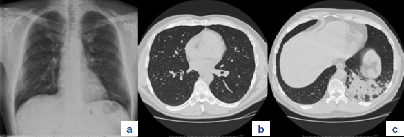
Un uomo di 49 anni, forte fumatore, bronchitico cronico, si presenta nei nostri ambulatori riferendo tosse secca; riferisce che tale sintomatologia si è presentata un mese prima quando, durante un aperitivo con amici, mentre stava ridendo, ha avuto la sensazione di avere inalato un seme di zucca. Il giorno seguente tale episodio descrive l’accaduto e la sintomatologia al suo medico curante, il quale consiglia l’esecuzione di un Rx torace: l’indagine mostra la presenza di uno sfumato addensamento basale sinistro (Figura 1a).
Giunge alla nostra attenzione una settimana dopo l’esecuzione dell’Rx torace. L’esame obiettivo rileva la presenza di rantoli crepitanti alla base sinistra e broncospasmo diffuso, maggiore a sinistra. Agli esami ematochimici lieve screzio degli indici di flogosi (PCR 3 mg/dl).
Consigliamo quindi l’esecuzione di TC torace con urgenza che mostra la presenza di ispessimento delle pareti del bronco lobare inferiore sinistro (Figura 1b) con addensamento parenchimale compatto nel lobo inferiore omolaterale (Figura 1c).
Eseguiamo quindi una broncoscopia che mostra la presenza, a livello del bronco lobare inferiore sinistro, di un verosimile corpo estraneo ricoperto da secrezioni purulente (Figura 2a). Con l’ausilio di pinze bioptiche riusciamo ad estrarre il corpo estraneo: dopo la rimozione dello stesso (Figura 2b) la piramide basale di tale bronco lobare si mostra parzialmente stenotica per l’importante edema della mucosa bronchiale (su base infiammatoria; Figura 2c) con tessuto di granulazione.
Al termine della broncoscopia (dopo poche ore) le condizioni cliniche del paziente migliorano con netta riduzione della tosse; viene quindi dimesso al domicilio con terapia antibiotica (levofloxacina 500 mg/die per 15 giorni) e con terapia steroidea sistemica (prednisone 25 mg/die fino al successivo controllo clinico); la scelta terapeutica da noi adottata potrebbe essere discutibile in quanto la levofloxacina non è l’antibiotico di prima scelta in quadri di questo tipo ove possono essere presenti batteri anaerobi (che sono coperti solo in parte da tale antibiotico); tuttavia il paziente riferiva una pregressa sospetta reazione allergica a penicilline e quindi abbiamo escluso l’opzione di somministrare penicillina protetta, che poteva essere più indicata e abbiamo optato per la levofloxacina anche su insistenza del paziente, che riteneva che con tale farmaco in passato non aveva manifestato alcun tipo di reazione avversa.
Anche la scelta di somministrare terapia steroidea sistemica può essere discutibile, ma il quadro endoscopico (edema e tessuto di granulazione), l’obiettività toracica (broncospasmo verosimilmente secondario a transitoria iperreattività bronchiale indotta dal corpo estraneo) e la storia di riferiti episodi bronchitici acuti ci hanno spinto ad adottare anche tale terapia.
Nei giorni successivi il paziente (contattato telefonicamente, visitato dal curante) riferisce ulteriore miglioramento delle proprie condizioni cliniche. Dopo un mese, alla visita di controllo, la tosse è scomparsa completamente e all’esame obiettivo non si apprezzano più le crepitazioni alla base sinistra; regredito anche il broncospasmo. A questo punto decidiamo quindi di ridurre gradualmente il dosaggio della terapia steroidea sistemica che il paziente stava assumendo. Nel corso della stessa visita abbiamo ribadito al paziente la necessità di effettuare una broncoscopia di controllo a breve; il paziente, restio alla ripetizione di tale indagine (ma comunque da noi convinto), ci avrebbe contattato dopo pochi giorni qualora fosse stato disponibile. Dopo circa 20 giorni tuttavia, le condizioni cliniche del paziente tornano a peggiorare: ritorna alla nostra attenzione riferendo febbre, tosse e dispnea. Netto incremento degli indici di flogosi agli esami ematici (leucocitosi neutrofila e PCR 12 mg/dl).
L’Rx torace (Figura 3a) mostra la presenza di un ampio addensamento alla base sinistra con versamento pleurico; quadro confermato dalla successiva TC torace (Figura 3b). L’ecografia toracica conferma la presenza del versamento pleurico che si presenta inoltre pluriconcamerato: quadro dunque compatibile con empiema pleurico. Il paziente viene quindi sottoposto a toracoscopia video assistita (VATS) con decorticazione pleurica e posizionamento di drenaggio toracico, rimosso dopo pochi giorni, con risoluzione definitiva del quadro ai successivi controlli clinico/radiologici.
Anche in questo caso, la scelta di affidare in prima battuta il paziente al chirurgo toracico può essere discutibile, ma ciò è dettato da problemi organizzativi delle nostre UO: solo da poco tempo infatti abbiamo iniziato a cimentarci (come équipe) nella toracoscopia medica, che sarebbe stata sicuramente più indicata. In alternativa avremmo potuto anche tentare in primis il solo posizionamento di drenaggio toracico seguito da fibrinolisi, ma il collega chirurgo (con cui abbiamo discusso il caso) non ha ritenuto valida tale opzione.
Discussione
L’inalazione di corpo estraneo è una condizione abbastanza frequente che necessita di essere tempestivamente riconosciuta e trattata per ridurre il rischio di serie e a volte fatali conseguenze.
L’inalazione di corpo estraneo è una condizione frequente che necessita di essere tempestivamente riconosciuta e trattata per ridurre il rischio di serie e a volte fatali conseguenze.
Più di 2/3 di episodi di inalazione di corpo estraneo avvengono in bambini di età inferiore ai 3 anni, data la loro mancanza di dentizione adeguata e di una non ancora perfetta coordinazione della deglutizione. Negli adulti l’inalazione di corpo estraneo è soprattutto causata dal deficit dei meccanismi protettivi delle vie aeree come nei pazienti con abuso alcolico, in quelli con scarsa dentizione, in coloro che abusano di sedativi e/o sostanze stupefacenti, in pazienti con disturbi neurologici o nei traumatizzati con perdita di coscienza 1.
I materiali organici possono determinare una severa reazione lipoidea e sviluppo di tessuto di granulazione che può portare a febbre e infezioni respiratorie.
I corpi estranei inalati possono essere classificati in due categorie: organici (noci, semi, ossa di animali, cibi in generale) e inorganici (monete, piccoli giocattoli, tappi di penne...). I materiali organici, una volta giunti nelle vie aeree, possono determinare una severa reazione lipoidea con maggiore infiammazione della mucosa (rispetto ai corpi inorganici) e sviluppo di tessuto di granulazione che può portare il paziente a presentare febbre e infezioni respiratorie. Fra i materiali inorganici, quelli che presentano bordi acuti sono più pericolosi (cioè determinano ostruzione più completa delle vie aeree) rispetto a quelli che presentano superfici lisce.
La rimozione dei corpi estranei necessita di tecniche broncoscopiche. Il broncoscopio rigido è considerato più sicuro e il suo utilizzo risulta mandatorio nei bambini. Negli adulti, nel caso le dimensioni del corpo estraneo lo consentano, per la rimozione si può tentare di utilizzare anche il broncoscopio flessibile, fermo restando che anche in questo caso il broncoscopio rigido risulta maggiormente sicuro 2 3.
Indipendentemente dalla natura del corpo estraneo, le complicanze maggiori possono verificarsi quando lo stesso corpo estraneo rimane nelle vie aeree per molto tempo.
Indipendentemente dalla natura del corpo estraneo, le complicanze maggiori possono verificarsi quando lo stesso corpo estraneo rimane nelle vie aeree per molto tempo: polmoniti a lenta risoluzione, ascessi polmonari, emottisi ricorrenti, fibrosi polmonare localizzata, enfisema post-ostruttivo e bronchiectasie. La rimozione del corpo estraneo in genere previene tali quadri 3 4.
Oltre al fatto che l’inalazione si è verificata in un paziente non portatore di condizioni a rischio per inalazione di corpo estraneo, riteniamo che il caso riportato possa essere interessante in quanto il riconoscimento del quadro e la rimozione tempestiva del corpo estraneo non sono state risolutive; in un breve lasso di tempo la sostanza oleosa che ricopre il seme di zucca ha determinato infatti una fortissima infiammazione della mucosa (secondaria alla reazione lipoidea) con conseguente polmonite e risentimento pleurico esitato in empiema che ha reso necessaria l’esecuzione di toracoscopia.
In un breve lasso di tempo la sostanza oleosa che ricopre il seme di zucca ha determinato una fortissima infiammazione della mucosa con conseguente polmonite e risentimento pleurico esitato in empiema.
Concludendo, i punti discutibili, come specificato nel testo, potrebbero essere la necessità di un più stretto follow-up endoscopico (per verificare il sospetto residuo di una parte di corpo estraneo nel bronco lobare inferiore sinistro, che ha poi determinato l’evoluzione sfavorevole) e la scelta terapeutica sia della terapia antibiotica che di quella steroidea sistemica (seppur per un breve lasso di tempo): facendo altre scelte avremmo potuto evitare al paziente tale evoluzione?
Figure e tabelle
Figura 1.a. Rx torace iniziale che mostra la presenza di sfumato addensamento parenchimale basale sinistro. La successiva TC torace mostra la presenza di ispessimento delle pareti del bronco lobare inferiore sinistro (b) e di adddensamento parenchimale compatto del relativo lobo (c).
Figura 2.a. Immagine acquisita in broncoscopia che mostra la presenza, a livello del bronco lobare inferiore sinistro, di verosimile corpo estraneo ricoperto da secrezioni purulente. b. Immagine che mostra il corpo estraneo di colore marrone e di 1 cm di diametro rimosso con pinze bioptiche. c. Immagine acquisita in broncoscopia che mostra l’aspetto (edema della mucosa bronchiale che ha determinato stenosi delle vie aeree) della piramide basale del bronco lobare inferiore dopo la rimozione del corpo estraneo.
Figura 3.a. Rx torace eseguito circa un mese dopo la broncoscopia (a questo punto il paziente mostrava condizioni cliniche peggiorate): presenza di ampio e disomogeneo addensamento alla base polmonare sinistra. b. Immagine TC torace eseguita dopo l’Rx torace che conferma la presenza dell’addensamento polmonare sinistro con versamento pleurico saccato (come confermato alla successiva ecografia toracica).
Riferimenti bibliografici
- Dikensoy O, Usalan C, Filiz A. Foreign body aspiration: clinical utility of flexible bronchoscopy. Postgrad Med J. 2002; 78:399-403.
- Chen CH, Lai CL, Tsai TT. Foreign body aspiration into the lower airway in Chinese adults. Chest. 1997; 112:129-33.
- Mehta A, Gupta A, Ks A, Venkitakrishnan R. Endobronchial Foreign Body (FB): a rare case of empyema. J Clin Diagn Res. 2015; 9:OJ02-3.
- Asadi Gharabaghi M, Asadi Gharabaghi M, Firoozbakhsh S. Empyema caused by foreign body aspiration. BMJ Case reports. 2012. DOI
Affiliazioni
Licenza

Questo lavoro è fornito con la licenza Creative Commons Attribuzione - Non commerciale - Non opere derivate 4.0 Internazionale.
Copyright
© Associazione Italiana Pneumologi Ospedalieri – Italian Thoracic Society (AIPO – ITS) , 2016
Come citare
- Abstract visualizzazioni - 277 volte
- PDF downloaded - 371 volte
