Un mosaico particolare
Abstract
L’attenuazione a mosaico è un pattern HRCT definito dal glossario della Fleischner Society come “un patchwork di regioni di differente attenuazione radiologica alla TC polmonare”. Essa è caratterizzata da eterogenea attenuazione polmonare con bordi ben definiti corrispondenti ai lobuli polmonari secondari. Le tre principali cause di pattern a mosaico sono di ordine vascolare, da patologia delle piccole vie aeree o primitive parenchimali. Queste entità possono essere distinte alla TC correlando le immagini acquisite in fase inspiratoria ed espiratoria e valutando la comparsa di air trapping espiratorio, che non è una caratteristica tipica delle forme vascolari. Nonostante la presenza di air trapping sia un criterio comune per la distinzione tra patologia delle piccole vie aeree da una parte e disordini parenchimali o vascolari dall’altra, raramente l’air trapping può essere presente nelle patologie vascolari complicate da coinvolgimento delle vie aeree. La flow chart proposta dall’American Roentgen Ray Society nel 2011 è uno strumento utile per orientarsi nel percorso diagnostico differenziale tra le diverse forme. In questo lavoro, suggeriamo l’opportunità di fare riferimento a questo algoritmo per la diagnosi delle cause di pattern a mosaico, considerando la possibilità che condizioni patologiche aventi in comune questo aspetto TC possano talora coesistere. Il nostro caso clinico riporta un esempio di pattern a mosaico in un paziente affetto da bronchiolite e concomitante ipertensione polmonare da iperafflusso secondaria a sbocco venoso anomalo, riscontrato occasionalmente. Entrambe le condizioni sono accomunate dal pattern di attenuazione a mosaico, e la corretta interpretazione dell’algoritmo diagnostico differenziale ha permesso di diagnosticare il difetto vascolare congenito fino ad allora misconosciuto.
Introduzione
L’aspetto “a mosaico” alla TC polmonare è stato definito dalla Fleischner Society come l’alternanza “a chiazze” (patchy) eterogenee di regioni di differente attenuazione radiologica dei polmoni, con bordi ben definiti corrispondenti ai lobuli polmonari secondari 1.
L’aspetto “a mosaico” alla TC polmonare è stato definito come l’alternanza “a chiazze” eterogenee di regioni di differente attenuazione radiologica, con bordi ben definiti corrispondenti ai lobuli polmonari secondari.
Le tre principali cause di pattern a mosaico sono di ordine vascolare, da patologia delle piccole vie aeree, o primitive parenchimali. Tra queste, le più frequenti sono quelle di natura bronchiolare o vascolare. Dal punto di vista patogenetico, l’aspetto a mosaico nelle bronchioliti è dovuto alle differenze regionali di densità polmonare tra le aeree di air trapping che risultano iperchiare per aumento del contenuto aereo interposte a polmone normoventilato; diversamente, nelle forme vascolari, il polmone ipoperfuso apparirà iperdiafano (a densità ridotta) per la riduzione della trama rispetto al polmone adiacente, normale o iperperfuso 1 2.
Le immagini HRCT acquisite in fase espiratoria, unitamente allo studio dei vasi con mezzo di contrasto consentono la differenziazione tra le diverse forme.
Le immagini HRCT acquisite in fase espiratoria, unitamente allo studio dei vasi con mezzo di contrasto consentono la differenziazione tra le diverse forme.
Caso clinico
Descriviamo il caso clinico di un uomo di 50 anni, non fumatore, tecnico di Radiologia, asintomatico salvo occasionale lieve dispnea da sforzo, che durante l’esecuzione di un esame spirometrico nell’ambito dei controlli per la Medicina del Lavoro, riscontrò una sindrome disventilatoria ostruttiva non reversibile di grado moderato con marcato incremento del Volume Residuo (VR) alla pletismografia (FVC = 3,70 L, 81% del teorico di riferimento; FEV1 = 2,34 L, 63% del teorico; FEV1/FVC = 63%; VR = 3,43 L, 158% del teorico; DLCO = 22,2 mL/mmHg/min, 73% del teorico, Volume Alveolare (VA) = 4,42 L, 62% del teorico; DLCO/VA= 5,28 mL/mmHg/min/L, 121% del teorico).
Egli negò in anamnesi esposizione a fumi tossici, assunzione di farmaci od altre sostanze voluttuarie, nonché altra patologia degna di nota (in particolare, sintomatologia articolare o storia di malattie infiammatorie croniche intestinali). L’obiettività toracica non fu dirimente, ad eccezione di sporadici sibili. Furono escluse infezioni virali o da mycoplasma, e l’autoimmunità risultò negativa.
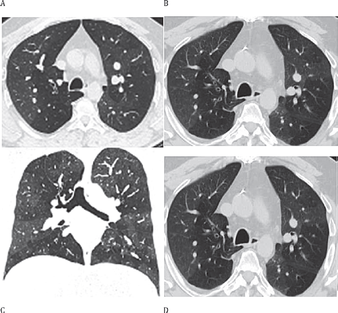
All’HRCT (High-resolution CT) si documentò un franco aspetto a mosaico con aree di iperdiafania distribuita a chiazze, con vasi ridotti in numero e calibro (oligoemia). Alle scansioni in massimo espirio, inoltre, il pattern a mosaico si accentuava, configurando ampie e caratteristiche aree di air trapping espiratorio.
L’esame videofibrobroncoscopico con BAL mise in luce una modesta alveolite neutrofila (NEU 11%). All’ecocardiografia fu evidenziato un impegno notevole a carico delle sezioni destre, con globale aumento delle dimensioni cavitarie: dilatazione del ventricolo destro (DTD 48 mm), dell’atrio destro e dell’arteria polmonare; ballooning del setto interatriale; pattern transmitralico da alterato rilasciamento; PAPs = 40 mmHg. L’angio TC confermò l’assenza di difetti di riempimento (escludendo l’ipotesi tromboembolica), l’aumento delle dimensioni del tronco polmonare (35 mm) e dei rami principali (dx 29 mm, sx 22 mm). Il paziente quindi fu sottoposto a cateterismo cardiaco destro. L’esame svelò un difetto congenito di anomalo ritorno venoso di entrambe le vene polmonari destre in atrio destro (reperto non evidenziato all’angio-TC eseguita precedentemente), cui conseguiva ipertensione polmonare da iperafflusso. Le resistenze polmonari erano normali e la coronarografia associata non documentò lesioni significative delle coronarie epicardiche. Fu programmato l’intervento cardiochirurgico, che permise la correzione con successo del difetto con ridirezione delle vene polmonari destre superiore ed inferiore nell’atrio sinistro. Il paziente fu successivamente monitorato in équipe presso la Cardiologia e la Pneumologia del nostro Ospedale, con controlli ecocardiografici seriati post-intervento, che evidenziarono una rapida normalizzazione della PAP sistolica ed una progressiva riduzione di volume del ventricolo e dell’atrio destro. Al contrario, gli esami di funzionalità respiratoria ad 1, 2, e 3 anni e le immagini HRCT non mostrarono alcuna restitutio delle alterazioni precedentemente osservate (Figura 1), nonostante il regime terapeutico instaurato con corticosteroidi inalatori e sistemici e broncodilatatori long-acting. Sulla scorta dell’anamnesi, dei dati funzionali e del reperto HRCT, fu posta diagnosi di bronchiolite costrittiva criptogenetica.
Discussione
Il caso clinico documenta un singolare riscontro di due condizioni patologiche associate, rispettivamente un disordine a carico delle piccole vie aeree e del distretto vascolare polmonare, apparentemente prive di interdipendenza tra di loro. L’originalità del caso deriva dall’osservazione del pattern a mosaico, che costituisce una caratteristica comune ad entrambe le manifestazioni (presenti nel nostro paziente) il cui comportamento dinamico durante le fasi respiratorie, unitamente agli altri elementi che compongono il quadro clinico, rappresenta la chiave per orientarsi nel percorso diagnostico differenziale.
Il riscontro di aree di attenuata densità polmonare dovrebbe essere interpretata alla luce del comportamento in espirio.
Difatti, secondo la Tabella I 1 il riscontro di aree di attenuata densità polmonare dovrebbe essere interpretata alla luce del comportamento in espirio: l’accentuazione della iperdiafania con comparsa di air trapping depone primariamente per un disordine dei bronchioli, mentre un comportamento sostanzialmente immodificato orienta per lo più verso una patologia vascolare o parenchimale. Nel nostro caso, il riscontro di sindrome ostruttiva con air trapping espiratorio indirizzava inizialmente la diagnosi verso una forma di bronchiolite. Successivamente, il riscontro occasionale di difetto vascolare di ritorno venoso anomalo ha lasciato ipotizzare che la presenza delle aree di attenuazione polmonare fosse dovuta, almeno in parte, alla sottostante ipertensione del piccolo circolo. Tuttavia, una volta corretto il difetto vascolare mediante intervento cardiochirugico, l’attenuazione TC è rimasta immodificata, malgrado la normalizzazione dei parametri circolatori. Tutto ciò ha condotto all’evidenza di una patologia di duplice origine, in cui la bronchiolite si associava ad un raro difetto congenito vascolare.
Appare indispensabile indagare il versante vascolare in presenza di un’attenuazione a mosaico alla TC, per escludere condizioni concomitanti.
A nostro avviso, pertanto, appare indispensabile sempre indagare il versante vascolare in presenza di un’attenuazione a mosaico alla TC, seppur in presenza di un quadro tipico ed altamente suggestivo per un disordine delle vie aeree, per escludere condizioni concomitanti e potenzialmente pericolose che altrimenti verrebbero ignorate, e in ogni caso per un miglior inquadramento complessivo di un quadro radiologico di complessa natura. Nel nostro caso, infatti, nonostante il quadro clinico iniziale orientasse tipicamente verso una bronchiolite, l’esecuzione di un semplice esame ecocardiografico ha consentito di svelare un’anomalia cardiovascolare congenita sino ad allora misconosciuta. La persistenza dell’aspetto a mosaico nonostante il successo dell’intervento cardiochirurgico con normalizzazione dei parametri emodinamici polmonari rende conto della sottostante bronchiolite, di cui è noto il povero risultato in termini di risposta alla terapia broncodilatatrice 3. Dal punto di vista funzionale riportiamo due osservazioni. La prima è la scarsa presenza di sintomi a fronte della moderata ostruzione: questa divergenza si può spiegare con un meccanismo di adattamento che si è probabilmente instaurato nel tempo. D’altra parte, la DLCO corretta per il VA è leggermente aumentata rendendo conto del sottostante iperafflusso polmonare.
Ricordiamo inoltre che l’air trapping (elemento differenziale tra forme vascolari e bronchiolari, presente caratteristicamente in queste ultime) può associarsi anche a patologia del circolo complicata da coinvolgimento delle vie aeree, costituendo una ulteriore insidia nella diagnostica differenziale 1.
Un altro aspetto interessante che emerge dalla descrizione del nostro caso è l’apparente mancanza di nesso tra le due patologie osservate. Per quanto è noto dalla letteratura esaminata sull’argomento, non è fino ad ora stata descritta una analoga associazione. Rimane pertanto controverso stabilire o perlomeno ipotizzare un meccanismo di causa-effetto tra l’ipertensione polmonare secondaria a ritorno venoso anomalo e una patologia a carico delle pareti delle piccole vie aeree, che appaiono pertanto due osservazioni indipendenti tra loro, casualmente riscontrate nello stesso soggetto.
Una volta risolto il problema cardiochirurgico, il paziente è stato studiato giungendo alla diagnosi di bronchiolite costrittiva criptogenetica. Storicamente, i disordini bronchiolari condividevano il nome di “bronchiolite obliterante”, malgrado differenti modalità di presentazione clinica, patologica, e radiologica 3 5. Attualmente, la suddivisione delle diverse forme tiene conto dei peculiari aspetti istopatologici, oltre che dei diversi aspetti funzionali, clinici, e dei quadri TC distintivi.
Tra queste forme, la bronchiolite costrittiva è caratterizzata da infiammazione e fibrosi subepiteliale e peribronchiale e conduce ad ostruzione cronica delle piccole vie aeree con risultante pattern radiologico di attenuazione a mosaico ed air trapping 3.
La bronchiolite obliterante con polmonite organizzativa, recentemente denominata polmonite organizzativa criptogenetica (Cryptogenic Organizing Pneumonia, COP), è caratterizzata invece da tessuto di granulazione intraluminale accompagnata da consolidazioni parenchimali e non è associata comunemente ad aspetto a mosaico 4.
Accanto a ciò, la sindrome da bronchiolite obliterante (Bronchiolitis Obliterans Syndrome, BOS) identifica una ulteriore e distinta condizione caratterizzata da deficit ventilatorio ostruttivo, che si instaura a seguito di trapianto, in particolare di polmone o di midollo osseo 3. In ultimo, entità a se stanti sono rappresentate dalle forme di bronchiolite follicolare, di bronchiolite respiratoria associata a malattia interstiziale polmonare (Respiratory Bronchiolitis-associated Interstitial Lung Disease, RB-ILD), dalla polmonite da ipersensibilità (Hypersensitivity Pneumonitis, HP), e dalla panbronchiolite, frequente nel continente asiatico. In tutte queste forme convergono specifici elementi caratterizzanti a fianco del coinvolgimento bronchiolare 4 5.
Per quanto attiene alle forme di bronchiolite costrittiva è noto che i fattori causali coinvolti sono eterogenei, spaziando da agenti infettivi, sostanze inalatorie, polveri minerali, farmaci, patologie del connettivo e malattie infiammatorie croniche intestinali. In alcuni casi, come nel nostro, non è possibile identificare l’agente scatenante, configurando così una forma di bronchiolite costrittiva criptogenetica. Inoltre, si conosce ancora poco circa gli effettivi meccanismi cellulari e molecolari che sottendono allo sviluppo dell’infiammazione, fibroproliferazione tissutale e riparazione inefficace, tipiche di queste forme di bronchiolite. Le caratteristiche istopatologiche comuni alle varie forme, tuttavia, suggeriscono che, qualsiasi sia l’insulto iniziale, esista un pathway comune di risposta ad esso, che attraverso meccanismi di flogosi e riparazione aberrante, conduce allo sviluppo di forme di bronchiolite che condividono medesimi quadri clinici, fisiopatologici e radiologici 3.
La HRCT è necessaria nel percorso diagnostico delle bronchioliti, sia per il riconoscimento dei segni diretti che indiretti, ma non consente di dirimere tra le diverse etiologie.
La HRCT è necessaria nel percorso diagnostico delle bronchioliti, sia per il riconoscimento dei segni diretti (noduli centrolobulari, aspetto “tree-in-bud”) che indiretti (attenuazione a mosaico ed air trapping), ma non consente di dirimere tra le diverse etiologie.
L’integrazione del dato radiografico con la storia clinica del paziente appare pertanto indispensabile per giungere ad un corretto inquadramento diagnostico, consentendo così in molti casi di evitare il ricorso alla biopsia polmonare 6.
Conclusione
L’aspetto a mosaico alla TC è un quadro complesso che riconosce molteplici eziologie. La presenza di air trapping espiratorio (unitamente ad altri segni diretti) orienta per una bronchiolite, ma riteniamo utile completare l’iter diagnostico con un esame ecocardiografico nell’ottica di una migliore comprensione di un pattern radiologico non sempre di agevole interpretazione.
Figure e tabelle
Figura 1.HRCT pre- e post- intervento. A) TC inspiratoria pre-intervento. B) TC espiratoria pre-intervento. C) Ricostruzione multiplanare piano coronale pre-intervento. D) TC espiratoria post-intervento.
| Pattern a mosaico | ||
|---|---|---|
| Air trapping | Localizzazione della patologia | Diagnosi |
| Presente | Patologia delle piccole vie aeree | Bronchioliti costrittive (air trapping e dilatazione bronchiale) |
| Polmonite Organizzativa Criptogenica (consolidazione periferica o peribronchiale) | ||
| Bronchiolite cellulare (noduli centro-lobulari e con aspetto ad albero in fiore) | ||
| Asma (ispessimento delle pareti bronchiali, bronchiettasie) | ||
| Polmonite da Ipersensibilità (caratteristiche sia di malattie delle piccole vie aeree che di malattie parenchimali: noduli centro-lobulari, fibrosi ai lobi superiori o inferiori, in stadio cronico, air trapping accentuato) | ||
| Assente | Patologia del parenchima | Polmonite da Pneumocystis Jiroveci (associazione di un pattern a mosaico e di uno a vetro smerigliato, in cui sono apprezzabili cisti) |
| Polmonite interstiziale desquamativa (opacità a vetro smerigliato in chiazze, spazi cistici, versamento pleurico) | ||
| Patologia vascolare polmonare | Ipertensione Polmonare Primitiva (pattern a vetro smerigliato peri-vascolare, vasi polmonari periferici serpiginosi) | |
| Embolismo polmonare cronico (difetti di riempimento delle arterie polmonari, vasi serpiginosi, arterie bronchiali ipertrofiche) | ||
| Malattia venocclusiva polmonare (opacità a vetro smerigliato centro-lobulari, ispessimento settale) | ||
Riferimenti bibliografici
- Ridge CA, Bankier A, Eisenberg RL. Mosaic attenuation. Am J Roentgenol. 2011; 197:W970-7.
- Abbott GF, Rosado-de-Christenson ML, Rossi SE, Suster S. Imaging of small airways disease. J Thorac Imaging. 2009; 24:285-98.
- Barker AF, Bergeron A, Rom WN, Hertz MI. Obliterative bronchiolitis. N Engl J Med. 2014; 370:1820-8.
- Ryu JH, Myers JL, Swensen SJ. Bronchiolar disorders. Am J Respir Crit Care Med. 2003; 168:1277-92.
- Burgel PR, Bergeron A, de Blic J. Small airway diseases, excluding asthma and COPD: an overview. Eur Resp Rev. 2013; 222:131-47.
- Pipavath SJ, Lynch DA, Cool C. Radiologic and pathologic features of bronchiolitis. Am J Roentgenol. 2005; 185:354-63.
Affiliazioni
Licenza

Questo lavoro è fornito con la licenza Creative Commons Attribuzione - Non commerciale - Non opere derivate 4.0 Internazionale.
Copyright
© Associazione Italiana Pneumologi Ospedalieri – Italian Thoracic Society (AIPO – ITS) , 2016
Come citare
- Abstract visualizzazioni - 9329 volte
- PDF downloaded - 7293 volte
