Simili a “bolle”
Storia clinica
Donna di 80 anni, diabetica e con pregressa tubercolosi (TB) polmonare. La paziente da circa due mesi presenta astenia, dispnea da sforzo, artralgie e febbricola. Al radiogramma del torace vengono segnalati a sinistra esiti pleurici e bilateralmente addensamenti escavati. Quadro invariato dopo terapia antibiotica. Lieve rialzo degli indici di flogosi. Nasce quindi il sospetto di riattivazione TB post-primaria. Esegue una HRCT.
- Un ispessimento pleurico di spessore sottile (< 1 cm), liscio senza coinvolgimento della pleura mediastinica e con placche calcifiche è indicativo di natura benigna (post-infettiva o asbestosica). Un ispessimento > 1 cm, liscio ma in particolare se lobulato/nodulare con coinvolgimento anche della pleura mediastinica (concentrico) è suggestivo per una natura maligna (primitiva o metastatica).
- L’esistenza di iperdiafanie nel contesto di un addensamento parenchimale e/o di un nodulo subsolido non deve essere considerato sinonimo di “escavazione/necrosi”. Se infatti le iperdiafanie sono piccole/minute, rotondeggianti/ovalari simili a bolle (bubble-like lucencies), talune all’estremità di bronchioli ectasici, sono espressione di “pseudo-escavazion”.
Diagnosi radiologica
L’associazione di addensamenti cronici (“non-resolving pneumonia”) con un nodulo subsolido, tutti con pseudo-escavazioni (bubble-like lucencies) e halo sign, deve far sospettare un adenocarcinoma, più spesso la forma non infiltrativa (AdenoCA in situ, ex bronchioloalveolare - BAC). Meno probabile l’origine infettiva (in particolare una riattivazione TB) o più raramente di altra natura (infarti con necrosi settica, linfomi BALT, polmonite in organizzazione).
Ulteriori indagini e decorso clinico
La paziente viene sottoposta a broncoscopia che risulta negativa. Il lavaggio broncoalveolare (BAL) evidenzia un lieve aumento della quota linfocitaria e neutrofila. Negativa la ricerca di cellule tumorali maligne. Negativo anche l’esame batterioscopico e colturale per BK. Viene eseguita una biopsia transbronchiale che pone la diagnosi di adenocarcinoma mucinoso.
Nonostante tre cicli di chemioterapia si realizza un lento peggioramento clinico e radiologico. L’HRCT eseguita dopo 5 mesi evidenzia infatti una progressione di malattia sotto forma di un aumento volumetrico di tutte le lesioni e la comparsa di nuove. La paziente è deceduta dopo circa un anno per insufficienza respiratoria.
MEMORANDUM
- Il bubble-like sign o pseudo-cavitazioni è un segno così definito ed enfatizzato nel suo aspetto e significato da alcuni Autori grazie alla correlazione con preparati istologici in pazienti portatori di adenocarcinoma, in particolare nelle forme non infiltrative (ex-BAC). Le pseudo-cavitazioni sono spesso presenti sia negli addensamenti parenchimali sia nei noduli. Coesistono bronchioli pervi ed ectasici. Le pseudo-cavitazioni possono formarsi per: meccanismo a valvola da ostruzione bronchiolare, lobuli areati non coinvolti, trazione bronchiolare desmoplastica, enfisema paracicatriziale.
- La crescita “lepidica” è così definita quando le cellule tumorali proliferano rispettando la struttura microscopica polmonare tappezzando gli alveoli come farfalle (lepidotteri) su di uno steccato.
- Il tipo mucinoso rappresenta circa il 30% dei carcinomi bronchiolo-alveolari. Tale forma si manifesta spesso in forma diffusa con addensamenti parenchimali simil-broncopneumonici a chiazze con possibili noduli subsolidi. Essa presenta una prognosi peggiore rispetto alla forma non-mucinosa (sopravvivenza di circa il 30% a 5 anni versus 70%) con tendenza alla diffusione nel polmone.
- La progressione intrapolmonare del carcinoma mucinoso si manifesta per via aerogena sia con la comparsa a distanza di nuove lesioni sia con il progressivo aumento di densità e volume delle lesioni già esistenti, con frequente formazione o allargamento dell’halo-sign da crescita lepidica. Le pseudo-cavitazioni tendono ad aumentare di volume e a coalescere divendando simili alle vere e proprie cavitazioni.
Figure e tabelle
Nell’immagine con finestra per mediastino (A), si evidenzia una lieve retrazione secondaria a diffuso ispessimento pleurico, in parte calcifico. La finestra per parenchima (B e C), dimostra una pneumopatia diffusa bilaterale con pattern alveolare sotto forma di addensamenti periferici e macronodulo subsolido, tutti con multiple iperdiafanie nel contesto e alone perilesionale. Nel lobo inferiore destro, coesistono due areole tipo vetro smerigliato.
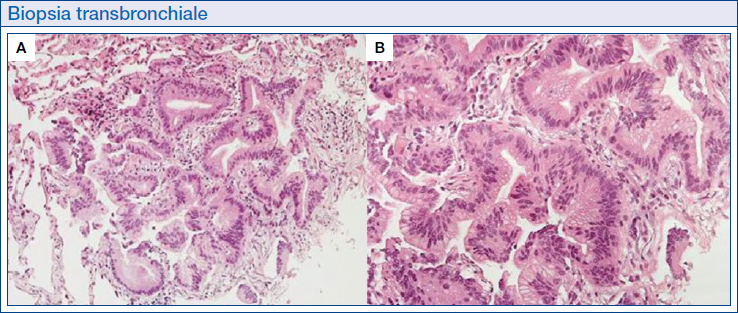
H&E, 100x e 200x (A) Microfocolaio di adenocarcinoma. Le cellule neoplastiche crescono lungo i setti alveolari (crescita “lepidica”). (B) Le cellule cilindriche disposte a palizzata, presentano muco nel citoplasma. Cortesia di: Alessandra Cancellieri e Rocco Trisolini, Bologna
Riferimenti bibliografici
- Ayres J. Imaging of the pleura. Semin Respir Crit Care Med. 2010; 31:674.
- Gaeta M. Radiolucencies in bronchioloalveolar carcinoma: CT-pathologic correlation. Eur Radiol. 1999; 9:55-9.
- Strollo D. Reclassification of cystic bronchioloalveolar carcinomas to adenocarcinomas based on the revised World Health Organization Classification of Lung and Pleural Tumours. J Thorac Imaging. 2003; 18:59.
- Weisbrod G. Pictorial review of the many faces of bronchioloalveolar cell carcinoma. Br J Radiol. 2007; 80:1015.
Affiliazioni
Licenza

Questo lavoro è fornito con la licenza Creative Commons Attribuzione - Non commerciale - Non opere derivate 4.0 Internazionale.
Copyright
© Associazione Italiana Pneumologi Ospedalieri – Italian Thoracic Society (AIPO – ITS) , 2014
Come citare
- Abstract visualizzazioni - 419 volte
- PDF downloaded - 5996 volte
