Elastosi bronchiale e suo significato endoscopico
Abstract
L’elastosi bronchiale è di inusuale riscontro in broncoscopia. Il significato di tale fenomeno potrebbe assumere un diverso valore a seconda del contesto clinico in cui avviene.
Introduzione
L’elastosi tissutale è un fenomeno caratterizzato dall’eccesiva deposizione di fibre elastiche in un tessuto. Tale accumulo si verifica in seguito alla presenza di insulti, meccanici o di altra natura, a cui il tessuto stesso è soggetto.
Tutti gli organi e i tessuti possono essere interessati da questo fenomeno, la cui frequenza è tuttavia variabile. Se infatti è di comune riscontro l’elastosi cutanea, soprattutto in età senile, inusuale, se non raro, è il coinvolgimento dell’apparato respiratorio nonostante le fibre elastiche siano ubiquitarie a livello polmonare 1. In ambito patologico, l’interessamento dell’apparato respiratorio da parte di questo fenomeno è caratteristico della fibroelastosi pleuro parenchimale (PPFE). Questa patologia, che rientra nell’ambito delle interstiziopatie, si caratterizza per il coinvolgimento apicale dei polmoni e, dal punto di vista istopatologico, per lo sviluppo di elastosi settale e fibrosi intra-alveolare (IAFE) e di fibrosi della pleura viscerale 2. Diverso, e più raro, è il caso di elastosi nell’ambito delle sole vie aeree. Nonostante la sua scarsa frequenza, l’elastosi bronchiale è stata oggetto di studio, soprattutto nell’ambito delle patologie croniche delle vie aeree 3.
Caso clinico
Paziente maschio di 84 anni mai fumatore. Allergia a mezzo di contrasto iodato. Riferita esposizione a polveri in pregressa attività lavorativa come muratore e agricoltore. Da sottolineare l’assenza di esposizione a fibre di asbesto. In anamnesi patologica remota venivano riportati: ipertrofia prostatica benigna, ipercolesterolemia, fibrillazione atriale parossistica e pregresso intervento di ernio-plastica inguinale. In seguito al riscontro di intertistiziopatia e, nello specifico, di sospetta Fibroelastosi Pleuro Parenchimale (PPFE), il paziente veniva inviato presso la nostra unità di pneumologia interventistica per eseguire broncoscopia con lavaggio broncoalverolare.
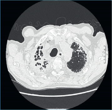
Il paziente arrivava pertanto alla nostra attenzione dopo avere già eseguito TC torace ad alta risoluzione (HRTC) e PET TC con 18 FDG. La TC torace mostrava la presenza di ispessimenti pleurici, associati a grossolane ed irregolari bronchiectasie in sede apicale bilaterale (Figg. 1 e 2). A latere, si riscontrava deviazione della trachea verso destra ed esofago toracico beante nel suo tratto intermedio. Dalle immagini radiologiche non risultava la presenza di versamento pleurico né pericardico. In associazione alla TC torace ad alta risoluzione, il paziente veniva sottoposto a PET TC con 18 FDG per lo studio metabolico delle placche pleuriche apicali; quest‘ultima, tuttavia, mostrava solo una debole captazione delle lesioni pleuriche apicali, non suggestiva di patologia oncologica.
Alla luce della HRTC e del successivo studio metabolico con PET TC, il paziente iniziava l’iter diagnostico nel sospetto di PPFE e, pertanto, veniva sottoposto ad ulteriori accertamenti diagnostici. Nello specifico, erano state richieste le prove di funzionalità respiratoria, che mostravano la presenza di deficit di tipo restrittivo di grado moderato [Capacità Polmonare Totale (TLC) 61%, Capacità Vitale Forzata (FVC) 66%, Forced Expiratory Volume in the 1st Second (FEV1) 50%, Volume Residuo (RV) 77%] e riduzione della capacità di diffusione del monossido di carbonio di grado moderato (54% del valore predetto). Il paziente, inoltre, veniva sottoposto a test del cammino, che portava a termine, senza supplemento di ossigenoterapia, percorrendo 390 metri con desaturazione di grado lieve. A completamento, venivano richiesti Quantiferon TB Test e pannello anticorporale che, tuttavia, avevano esito negativo.
Nel corso dell’iter diagnostico, come detto, il paziente veniva inviato presso l’Unità di Pneumologia Interventistica per essere sottoposto a broncoscopia con fibre ottiche e lavaggio Bronco Alveolare (BAL). La procedura, eseguita in sedazione moderata con midazolam e fentanil, mostrava la presenza di bronchi pervi ed esplorabili bilateralmente in assenza di lesioni con aspetto infiltrativo-vegetante o segni di sanguinamenti. Ciononostante, nel corso dell’ispezione bronchiale, si osservava la presenza di placche gialle di consistenza dura, presenti sulla mucosa bronchiale a livello di entrambi i lobi superiori (Figg. 3 e 4).
Le placche venivano sottoposte a biopsia per esame istologico e colturale microbiologico. A completamento, si eseguiva broncolavaggio per esame citologico e lavaggio broncoalveolare a livello del lobo superiore destro per tipizzazione linfocitaria ed esame microbiologico esteso. Nello specifico, si richiedeva colturale generico, esame diretto per BK e ricerca di: DNA per Aspergillo, Pneumocystis Jiroveci, Actinomices, Nocardia, CMV DNA.
Tutti gli esami microbiologici su BAL richiesti hanno avuto esito negativo, così come l’esame citologico su bronco aspirato e l’esame colturale su presa bioptica delle placche visualizzate in corso di broncoscopia.
La tipizzazione delle popolazioni linfocitarie su lavaggio bronchioloalveolare mostrava: cellularità totale 108 cellule/microlitro, neutrofili 4% (v.n. 0-3), eosinofili 0% (v.n. 0-3), linfociti 10% (v.n. 0-10), macrofagi 82% (v.n. 90-95%), cellule epiteliali 3% (v.n. 0-3), mastcellule 1%, rapporto CD4/CD8 3,47.
L’analisi istologica dei campioni bioptici delle placche osservate in corso di broncoscopia aveva invece dato come esito: “lembi superficiali di mucosa bronchiale con aspetti di elastosi subepiteliale”.
Discussione
Le lesioni endobronchiali possono essere suddivise in benigne e maligne. Dal punto di vista epidemiologico le lesioni maligne epiteliali solo le più comuni tuttavia, nonostante la loro rarità, anche le lesioni endobronchiali benigne possono riscontrarsi durante un esame broncoscopico. L’elastosi bronchiale è una lesione “parafisiologica” benigna caratterizzata dall’eccessivo accumulo di fibre elastiche nella mucosa bronchiale. Il caso clinico riportato mostra l’aspetto endoscopico dell’elastosi bronchiale, il cui riscontro, come detto, è infrequente 4. Poco è noto riguardo ai meccanismi eziopatogenetici di questo fenomeno. In letteratura è riportato che lo sviluppo di mutazioni con perdita di funzione dei geni responsabili della produzione di elastina tissutale possano portare all’aumento della sua produzione e al suo accumulo a livello dei tessuti 4. Le cause che portano allo sviluppo di queste modificazioni a livello bronchiale non sono note. È possibile fare due ipotesi. La prima, l‘elastosi bronchiale potrebbe essere legata all’“invecchiamento“ dei tessuti, analogamente a quanto accade a livello dermico. Nello specifico, a livello cutaneo durante l’invecchiamento si sviluppa una complessa riorganizzazione della composizione della matrice extracellulare dermica, la cui causa è legata a fattori esogeni (raggi UV, fumo di sigaretta, inquinamento ambientale, etc.) e fattori endogeni legati all’ospite 5. Analogamente, lo sviluppo di elastosi bronchiale potrebbe essere l’esito di un complessa interazione tra fattori esogeni, ad esempio fumo di sigaretta, e fattori endogeni genetici. Nel caso proposto, il paziente non aveva in anamnesi storia di abitudine tabagica tuttavia l’anamnesi lavorativa è compatibile con una possibile esposizione ad inquinanti. La seconda ipotesi è legata alla patologia in fase di studio. Il paziente era affetto da un quadro polmonare suggestivo per fibroelastosi pleuro parenchimale. Come già detto, il reperto patologico caratteristico della PPFE è il riscontro di elastosi settale e fibrosi intra-alveolare (IAFE). In letteratura è riportato come esista una predisposizione genetica allo sviluppo della PPFE 6. Pertanto, volendo fornire una possibile spiegazione al riscontro endoscopico del caso in studio, potrebbe dirsi che lo sviluppo di elastosi bronchiale potrebbe trovare un substrato genetico favorente nei pazienti con PPFE e pertanto potrebbe esserci un continuum istopatologico tra pleura, interstizio e vie aeree.
Figure e tabelle
Figura 1.HRTC torace: scansione assiale a livello dei lobi superiori.
Figura 2.HRTC torace: scansione coronale a livello della carena tracheale.
Figura 3.Immagine endoscopica: bronco segmentario RB2 del lobo superiore destro.
Figura 4.Immagine endoscopica: bronco sub-segmentario di LB1+2 del lobo superiore sinistro.
Riferimenti bibliografici
- Starcher BC. Elastin and the lung. Thorax. 1986; 41:577-585. DOI
- Chua F, Desai SR, Nicholson AG. Pleuroparenchymal fibroelastosis. A review of clinical, radiological, and pathological characteristics. Ann Am Thorac Soc. 2019; 16:1351-1359. DOI
- Wilson SJ, Ward JA, Pickett HM, U-BIOPRED consortium. Airway elastin is increased in severe asthma and relates to proximal wall area: histological and computed tomography findings from the U-BIOPRED severe asthma study. Clin Exp Allergy. 2021; 51:296-304. DOI
- Gupta R, Patail H, Al-Ajam MR. A rare case of bronchial elastosis: an unusual presentation of an unexpandable lung. Lung India. 2018; 35:50-53. DOI
- Shin JW, Kwon SH, Choi JY. Molecular mechanism of dermal aging and antiaging approaches. Int J Mol Sci. 2019; 20:2126. DOI
- Reddy TL, Tominaga M, Hansell DM. Pleuroparenchymal fibroelastosis: a spectrum of histopathological and imaging phenotypes. Eur Respir J. 2012; 40:377-385. DOI
Affiliazioni
Licenza

Questo lavoro è fornito con la licenza Creative Commons Attribuzione - Non commerciale - Non opere derivate 4.0 Internazionale.
Copyright
© Associazione Italiana Pneumologi Ospedalieri – Italian Thoracic Society (AIPO – ITS) , 2021
Come citare
- Abstract visualizzazioni - 826 volte
- PDF downloaded - 221 volte
