Donna di 50 anni con dispnea da sforzo
Inquadramento clinico
Donna di 50 anni, ex fumatrice (17 P/Y), coordinatrice presso una struttura psichiatrica.
Familiarità per artrite psoriasica. Nessuna esposizione significativa.
Nessuna comorbilità. Nessuna terapia farmacologica cronica.
Esordio clinico subacuto, preceduto da infezione da SARS-CoV-2 e caratterizzato da dispnea da sforzo ingravescente, tosse, astenia ed episodi di xeroftalmia.
Esame obiettivo: crepitazioni inspiratorie alla base polmonare di destra; obiettività cardiologica normale; assenza di segni di flogosi articolare.
Esami di laboratorio: lieve anemia ipocromica microcitica e lieve monocitosi; rialzo di VES e PCR; negativa l’autoimmunità.
Vengono eseguite le prove di funzionalità respiratoria (Tab. I), che dimostrano
Prove di funzionalità respirattoria
volumi polmonari nei limiti della norma e severa riduzione della diffusione del CO,
Il test del cammino in sei minuti viene interrotto per desaturazione clinicamente significativa dopo 150 m e conferma un quadro di
insufficienza respiratoria latente solo parzialmente corretta dalla somministrazione di ossigenoterapia durante lo sforzo fisico
HRCT del torace
La HRCT del torace (Fig. 1) mostra una diffusa attenuazione parenchimale derivante dalla presenza di numerosi noduli ground glass con distribuzione random, confluenti tra loro.
Le scissure appaiono lievemente ispessite e gli ili mostrano un lieve aspetto policiclico come da linfoadenomegalie. Sono evidenti inoltre un lieve ispessimento liscio dei setti interlobulari ad entrambi i lobi superiori ed inferiori e un modesto ispessimento della pleura al terzo inferiore degli emitoraci, che configurano un pattern perilinfatico.
A destra sono evidenti alcune cisti, possibile espressione di una componente bronchiolitica concomitante. La finestra per mediastino mostra un’adenopatia in R4.
BAL
Dalla discussione multidisciplinare emerge l’indicazione ad approfondimenti endoscopici.
Vengono eseguiti lavaggio broncoalveolare (BAL) a livello del bronco lobare medio e criobiopsie polmonari transbronchiali (TLCB) a livello dei segmentari anteriore e laterale del bronco lobare inferiore di destra.
TLCB - Criobiopsia polmonare transbronchiale
Il BAL (Tab. II) presenta una cellularità aumentata, con prevalenza di linfociti.
La citofluorimetria evidenzia una prevalenza di linfociti T CD4+, con rapporto CD4+/CD8+ pari a 3,75.
Negativa la ricerca di batteri, virus e miceti.
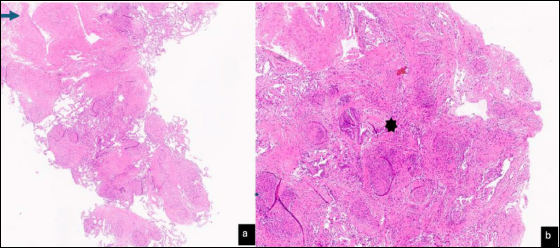
L’analisi morfologica delle criobiopsie polmonari (Fig. 2 a-b) dimostra la presenza di granulomi non necrotizzanti su un background di fibrosi jalina, più evidente in sede sub pleurica. Si evidenzia inoltre obliterazione bronchiolare determinata dagli stessi granulomi e in parte da un quadro di bronchiolite cicatriziale.
Dall’integrazione dei dati clinici, radiologici e anatomopatologici, il team multidisciplinare conclude per la diagnosi di sarcoidosi a prevalente localizzazione polmonare.
Alla paziente viene prescritta una terapia immunosoppressiva con prednisone 20 mg/die e metotrexato 12,5 mg/settimana.
Diagnosi
La sarcoidosi è un patologia multisistemica, che seppure coinvolga molto di frequente polmoni e linfonodi intratoracici, si caratterizza per un’ampia variabilità clinica. In virtù di questa variabilità, la sarcoidosi può mimare svariate patologie tra cui infezioni, vasculiti, reazioni a farmaci e neoplasie. La diagnosi si basa su tre criteri maggiori: un quadro clinico e radiologico compatibile con sarcoidosi; il riscontro di granulomi non necrotizzanti con distribuzione perilifatica (nel parenchima polmonare), su uno o più campioni bioptici; l’esclusione di altre possibili cause di flogosi granulomatosa. La diagnosi anatomopatologica viene ottenuta per lo più attraverso biopsia linfonodale endobronchiale eco-guidata (EBUS-TBNA) e criobiopsia mediastinica endoscopica ecoguidata (EBUS-cryo), tuttavia la TLCB può essere un valido supporto nei casi con interessamento linfonodale meno significativo. Il gold standard terapeutico della sarcoidosi è rappresentato dai corticosteroidi, cui può essere associato un immunosoppressore (generalmente il metotrexato) al fine di minimizzare gli effetti collaterali legati alla terapia steroidea cronica. Farmaci anti-tumor necrosis factor alfa quali l’infliximab e l’adalimumab possono essere indicati nei casi con grave compromissione funzionale o quando siano coinvolti la cute, il sistema nervoso centrale ed il cuore.
Sarcoidosi: malattia camaleontica.
La sarcoidosi oltre alla sua forma “tipica” (micronoduli perilinfatici avidi di pleura prevalenti nei lobi superiori), può presentarsi con aspetti/segni “atipici” (micronoduli subsolidi, macronoduli, consolidazioni, galaxy sign, nodular cluster sign, reversed halo sign, crazy paving).
La causa più frequente di micronoduli diffusi ground-glass simili a fiocchi di neve è l’HP e, in questi pazienti, è spesso presente una storia di esposizione.
L’RB-ILD dovrebbe essere presa in considerazione in presenza di fumo di sigaretta.
Tips
| Sarcoidosiconmicronoduli ground glassHP | Tips per la diagnosi differenziale nella sarcoidosi con micronoduli ground-glass: Cerca un eventuale ispessimento delle scissure, delle marginocostali e dei setti interlobulari. Se presente, orienta per una malattia a distribuzione perilinfatica e quindi per sarcoidosi. L’associazione di linfoadenomegalie ilari e mediastiniche è suggestiva per sarcoidosi ma non per HP né per RB-ILD. |
Giorgia Dalpiaz
Figure e tabelle
Figura 1.HRCT del torace: (a-e ) ispessimento liscio dei setti interlobulari; (b-c) lieve ispessimento delle scissure e aspetto lievemente policiclico degli ili; (c) noduli ground glass a distribuzione random confluenti tra loro; (c-d) lesioni cistiche; (e) ispessimento pleurico; (f) adenopatia in R4.
Figura 2.Criobiopsia polmonare transbronchiale: (a) granulomi non necrotizzanti in background di fibrosi jalina con evidente ispessimento subpleurico (➙) - Ematossilina Eosina x 2; (b) granulomi non necrotizzanti che determinano la parziale obliterazione del lume di un bronchiolo. È presente anche fibrosi subepiteliale (bronchiolite costrittiva) (✱) - Ematossilina Eosina x10.
| Meas. | Pred. | Z-score | % PRED | |
|---|---|---|---|---|
| FEV1 | 1,96 | 2,604 | -1,846 | 75 |
| FVC | 2,16 | 3,238 | -2,55 | 67 |
| FEV1/FVC | 0,907 | 0,808 | 1,746 | 112 |
| FEF25-75 | 2,56 | 2,623 | -0,08 | 98 |
| DLCO | 6,75 | 19,695 | -6,453 | 34 |
| TLC | 4,3 | 4,882 | -1,825 | 87 |
| RV | 1,2 | 1,407 | -0,534 | 85 |
| RV/TLC | 30,769 | 28,539 | 0,343 | 108 |
| ERV | 0,85 | 0,954 | -0,26 | 89 |
| IC | 2,4 | 2,413 | -0,027 | 99 |
| VC | 3,35 | 3,497 | -0,335 | 96 |
| BAL-Tipizzazione | Citofluorimetria | ||
|---|---|---|---|
| Cellule totali | 182 x106 | Linfociti TCD3+ | 94% |
| Neutrofili | 4% | Linfociti TCD3+ CD4+ | 75% |
| Eosinofili | 4% | Linfociti TCD3+ CD8+ | 20% |
| Linfociti | 55% | Linfociti B CD19+ | 0 |
| Macrofagi | 37% | Linfociti NK CD3-CD16+/CD56+ | 5% |
Riferimenti bibliografici
- Bailey GL, Wells AU, Desai SR. Imaging of pulmonary sarcoidosis-A review. J Clin Med. 2024; 13:822. DOI
- Baughman RP, Valeyre D, Korsten P. ERS clinical practice guidelines on treatment of sarcoidosis. Eur Respir J. 2021; 58:2004079. DOI
- Crouser ED, Maier LA, Wilson KC. Diagnosis and detection of sarcoidosis. An official American Thoracic Society clinical practice guideline. Am J Respir Crit Care Med. 2020; 201:e26-e51. DOI
- Häntschel M, Eberhardt R, Petermann C. Diagnostic yield of transbronchial lung cryobiopsy compared to transbronchial forceps biopsy in patients with sarcoidosis in a prospective, randomized, multicentre cross-over trial. J Clin Med. 2021; 10:5686. DOI
- Poletti V, Petrarulo S, Piciucchi S. EBUS-guided cryobiopsy in the diagnosis of thoracic disorders. Pulmonology. 2024;S2531-0437(23)0023-4. DOI
- Rosen Y. Pathology of granulomatous pulmonary diseases. Arch Pathol Lab Med. 2022; 146:233-51. DOI
- Wang S, Dai H. Crazy-paving pattern in pulmonary sarcoidosis. N Engl J Med. 2024; 390:e21. DOI
Affiliazioni
Licenza

Questo lavoro è fornito con la licenza Creative Commons Attribuzione - Non commerciale - Non opere derivate 4.0 Internazionale.
Copyright
© Associazione Italiana Pneumologi Ospedalieri – Italian Thoracic Society (AIPO – ITS) , 2024
Come citare
- Abstract visualizzazioni - 424 volte
- PDF downloaded - 91 volte
