Severa polmonite verosimilmente iatrogena simulante una CAP in paziente affetto da carcinoma polmonare non a piccole cellule in stadio avanzato
Abstract
Descriviamo il caso di un paziente di 52 anni, ex fumatore (90 p-y) affetto da adenocarcinoma polmonare primitivo al IV stadio con espressione di Programmed Death-Ligand-1 (PDL1 = 3%) trattato con 4 cicli di carboplatino, pemetrexed e pembrolizumab (dal 08/2023 al 10/2023) e successivamente con 3 cicli di pembrolizumab e pemetrexed (dal 10/2023 al 12/2023). Dodici giorni dopo l’ultimo ciclo di terapia, per la comparsa di dispnea, tosse, emottisi, insufficienza respiratoria acuta parziale e opacità polmonari bilaterali alla TC torace, è stato ricoverato presso il nostro Policlinico. Il trattamento con glucocorticoidi per via sistemica e ossigenoterapia ha migliorato il quadro clinico-radiologico.
We describe a 52 year old man, former smoker (90 p-y) with stage IV primary lung adenocarcinoma (programmed death-ligand-1 expression=3%), treated with 4 cycles of carboplatin, pemetrexed and pembrolizumab (from 03/08/2023 to 05/10/2023), followed by 3 cycles of pembrolizumab and pemetrexed (the first on 26/10/2023 and the last on 07/12/2023). Twelve days after the last cycle of therapy, due to the onset of exertional dyspnea, cough, hemoptsysis, acute hypoxemic respiratory failure, and bilateral pulmonary opacities on chest CT, the patient was admitted to our hospital. Treatment with systemic glucocorticoids and oxygen therapy improved the clinical-radiological picture.
Caso clinico
Uomo di 52 anni di etnia caucasica, magazziniere, ex fumatore (90 p-y), anamnesi patologica remota negativa eccetto che per ipertensione arteriosa sistemica in terapia con amlodipina (5 mg/die per os), epatopatia steatosica, diverticolosi del colon, esiti di colecistectomia per via laparoscopica e ricovero nel maggio 2010 presso Ortopedia Ospedale Maggiore di Parma per frattura dell’estremità distale di radio e ulna. Il paziente non aveva mai eseguito in precedenza una spirometria o una visita pneumologica.
A giugno 2023 diagnosi di adenocarcinoma polmonare primitivo del lobo superiore di sinistra stadio IV (T4N3M1) con metastasi al surrene di sinistra, linfoadenopatia ilo perilare, linfoadenomegalie necrotiche in stazione 7 e linfoadenopatia necrotica a livello addominale. La diagnosi è stata effettuata per via endoscopica con fine needle aspiration biopsy (FNAB).
Le cellule neoplastiche mostravano una espressione di programmed death-ligand 1, ligando di morte cellulare programmata-1 (PDL1 = 3%), negative per anaplastic lymphome kinase – chinasi del linfoma anaplastico (ALK) e next generation sequencing (NGS) su DNA negativo. Trattato presso l'Oncologia del nostro ospedale con quattro cicli, ben tollerati, di carboplatino, pemetrexed e pembrolizumab dal 08/2023 al 10/2023 ottenendo una regressione parziale della neoplasia (Fig. 1). Secondo i criteri RECIST: diminuzione del 30% nella somma dei diametri delle lesioni target, rispetto alla valutazione basale.
Successivamente trattato con ulteriori tre cicli di pembrolizumab e pemetrexed dal 10/2023 al 12/2023.
Dodici giorni dopo l’ultimo ciclo, il paziente per la comparsa di dispnea, tosse ed emottisi, veniva trattato dal proprio medico curante con mucolitici e paracetamolo a domicilio. Tre giorni dopo, per febbre fino a 38,8 °C (responsiva al paracetamolo) iniziava anche amoxicillina-clavulanato (1 grammo 3 volte/die per os).
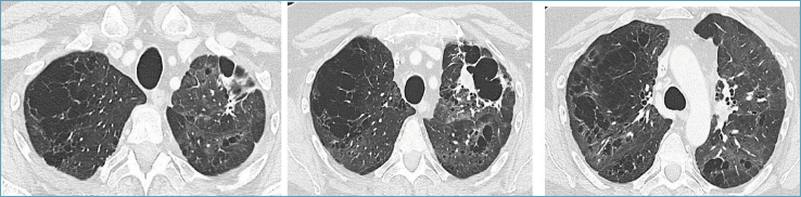
Cinque giorni dopo l’inizio dell’antibioticoterapia, per la persistenza dei sintomi, durante una visita ambulatoriale oncologica nel nostro ospedale il paziente presentava importante desaturazione a riposo (SpO2 86% in aria ambiente). Eseguiva esami ematochimici che mostravano lieve anemia (Hb 11,6 g/dL; vn 13,5-18 g/dl; eritrociti 4.020.000/mm3; vn 420.000.000-600.000.000/mm3), globuli bianchi (9.520/mm3; vn 4.000-10.000/mm3), piastrinosi (603.000/mm3; vn 150.000-400.000/mm3) aumento della concentrazione sierica di LDH (419 U/L vn < 248 U/L) con procalcitoninemia (PCT) nei limiti di norma (0,21 ng/mL vn 0,00-0,50 ng/ml). Veniva, pertanto, eseguita una TC torace urgente con contrasto che evidenziava la presenza di opacità parenchimali polmonari diffuse e bilaterali maggiori a sinistra (Fig. 1).
Dopo consulenza pneumologica, il paziente veniva inviato presso il pronto soccorso del nostro policlinico, dove per grave insufficienza respiratoria acuta ipossemica (in aria ambiente pH 7,46, PaCO2 38 mmHg, PaO2 44 mmHg, HCO3- 38 mmol/L, P/F 209) veniva iniziata ossigenoterapia con Ventimask FiO2 40% (SpO2 92%).
Il tampone rinofaringeo per la ricerca di antigeni di SARS-CoV-2 era negativo. Veniva iniziata terapia con metilprednisolone (40 milligrammi ogni 12 ore ev) e piperacillina/tazobactam (4,5 grammi ogni 8 ore ev).
Veniva ricoverato inizialmente presso il reparto di Clinica e Terapia Medica dove il supporto con Ventimask veniva aumentato con FiO2 al 50% e poche ore dopo, per peggioramento dell’insufficienza respiratoria [EGA in Ventimask 50%: pH 7,47, PaCO2 35,6 mmHg, PaO2 47,7 mmHg, SaO2 81% (SpO2 88%], veniva trasferito presso l’Unità di Terapia Semintensiva Respiratoria dove iniziava ossigenoterapia ad alti flussi con cannule nasali 45 L/min e FiO2 65% con progressivo miglioramento dell’ipossemia. Gli esami di laboratorio evidenziavano leucocitosi (leucociti totali 12.990/mm3 vn 4.000-10.000/mm3), neutrofilia (10.002/mm3 vn 1.800-8.000/mm3), piastrinosi (519.000/mm3 vn 150.000-400.000) e proteina C reattiva (PCR) sierica lievemente aumentata (31,5 mg/L vn 0,5-5,0 mg/L). Le indagini microbiologiche risultavano essere negative (ricerca degli antigeni urinari per pneumococco e legionella, tampone nasofaringeo per la ricerca di virus influenzali, tampone rettale per la ricerca di Klebsiella pneumoniae resistente ai carbapenemi e ricerca di galattomannano sierico). Nel sospetto di polmonite da inibitori dei check-point immunitari, veniva aumentato il dosaggio del metilprednisolone a 2 mg/Kg di peso corporeo (200 milligrammi ev/die, essendo il peso del paziente di 100 Kg) con associata prevenzione della polmonite da Pneumocystis Jirovecii con cotrimossazolo (dal 01/01/2024; 160/800 milligrammi 1 cp/die per os) e proseguita terapia con piperacillina/tazobactam (al dosaggio già in atto). Per la presenza di severa insufficienza respiratoria non è stato possibile eseguire una fibrobroncoscopia con lavaggio broncoalveolare (BAL) per ulteriori indagini citopatologiche e microbiologiche.
Dopo la stabilizzazione clinica, il paziente veniva trasferito in step-down presso la nostra Clinica Pneumologica.
All’ingresso in reparto, la emogasanalisi arteriosa in Ventimask con FiO2 40% (12 L/min) confermava il miglioramento dell’insufficienza respiratoria (PaO2 86,4 mmHg, PaCO2 41,3 mmHg). Gli esami ematochimici mostravano lieve riduzione degli eritrociti totali (4.020.000/mm3), dell’emoglobina (11,5 g/dL) e dell’ematocrito (36,9% vn 37-52%); leucocitosi totale (11.460/mm3), neutrofilia (8.620 mm3), aumento del D dimero ematico (1.637 ng/mL vn 0-500 ng/mL), delle transaminasi ALT (168 U/L vn 0-40 U/L), della g-GT sierica (115 U/L vn 0-60 U/L) e dell’LDH sierico (401 U/L), PCT 0,05 ng/mL, PCR 2,2 mg/L.
Il protidogramma mostrava ipoalbuminemia (2,6 g /dL vn 3,1-3,63 g/dL), riduzione delle g globuline (0,38 vn 0,60-1,03 g/dL), aumento delle α1 globuline (0,37 g/dL vn 0,16-0,27%) e delle α2 globuline (1,20 g/dL vn 0,39-0,65 g/dL). Durante la degenza, l’ossigenoterapia e il dosaggio dei glucocorticoidi per via sistemica venivano gradualmente ridotti fino alla completa sospensione dell’ossigenoterapia il giorno prima della dimissione (pH 7,47, PaCO2 36 mmHg, PaO2 72,3 mmHg, HCO3- 27,2 mmol/L). I valori ematochimici alterati all’ingresso in reparto erano sovrapponibili anche alla dimissione.
Il paziente veniva dimesso con sostituzione di metilprednisolone parenterale con prednisone per via orale, al dosaggio di 125 milligrammi/die, con una graduale diminuzione del suo dosaggio (125 mg per sette giorni, 100 mg per sette giorni, 77,5 mg per sette giorni, 75 mg per sette giorni, 52,5 mg per sette giorni, 50 mg per sette giorni, 27,5 mg per sette giorni, 25 mg per sette giorni, 12,5 mg per sette giorni, 6,25 mg per ulteriori sette giorni e quindi sospensione).
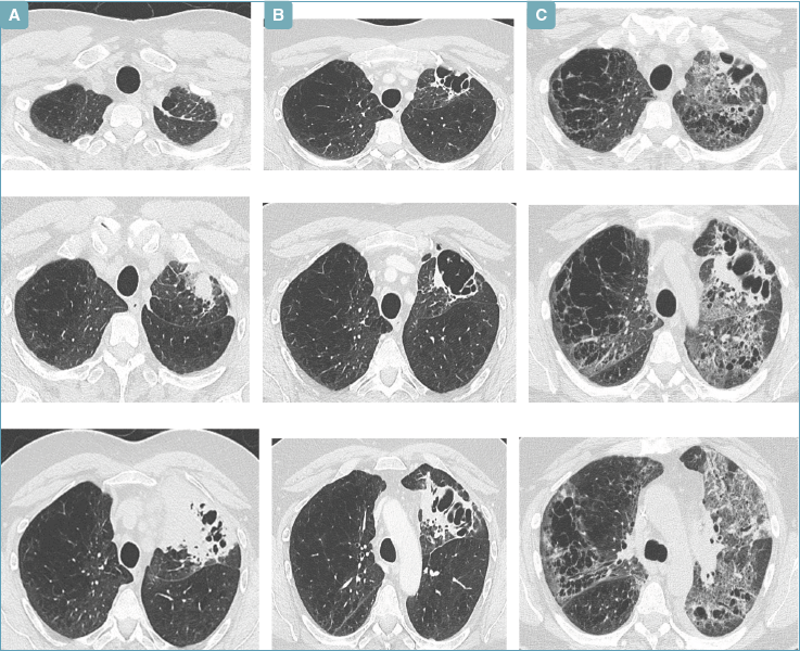
Poco più di un mese dopo la dimissione, la TC torace con contrasto (eseguita durante terapia domiciliare con prednisone) mostrava un quadro radiologico diffusamente migliorato (Fig. 2).
Dopo circa due mesi dalla dimissione eseguiva ambulatorialmente una spirometria globale che documentava una sindrome disventilatoria di tipo restrittivo [pre-broncodilatatore: volume espiratorio massimale in 1 secondo (VEMS) 2,83 litri (L) (pari al 72% del valore teorico), capacità vitale forzata (CVF) 3,92 L (pari all'80% del valore teorico) e rapporto VEMS/CVF pari al 72%, capacità polmonare totale (CPT) 5,19 L (68% del valore teorico), capacità vitale (CV) 3,87 L (76% del valore teorico), volume residuo (VR) 1,33 L (57% del valore teorico), diffusione alveolo-capillare del monossido di carbonio (DLCO) 37% del valore teorico e DLCO/VA (KCO) 68% del valore teorico (Fig. 3)]. L’emogasanalisi arteriosa in aria ambiente documentava lieve ipossiemia e lieve ipocapnia (PaO2 71,2 mmHg, PaCO2 34,2 mmHg, pH 7,45).
Il paziente è deceduto a distanza di circa cinque mesi dalla dimissione per la progressione della patologia oncologica di base.
Commento
Riportiamo un caso di grave polmonite, verosimilmente iatrogena, dovuta all’uso di pembrolizumab simulante una CAP infettiva acuta manifestatosi 12 giorni dopo l’ultimo ciclo di immunoterapia in combinazione (pemetrexed-pembrolizumab).
In accordo con le linee guida ESMO, la presenza di importante dispnea ha richiesto indagini appropriate per escludere embolia polmonare acuta, progressione del tumore, eventi cardiaci e carcinomatosi pleurica 1.
In particolare, per escludere una polmonite infettiva, sono stati eseguiti esami microbiologici quali ricerca di antigeni urinari di pneumococco e legionella, tampone nasofaringeo per la ricerca di SARS-CoV-2 e virus influenzali, tampone rettale per la ricerca di Klebsiella pneumoniae resistente ai carbapenemi e ricerca di galattomannano sierico, risultati tutti negativi. Inoltre, il dosaggio della PCT e della PCR all’ingresso in reparto erano nei limiti di norma.
La polmonite da inibitori dei check-point immunitari, nei primi studi clinici controllati, era ritenuta rara (< 5% dei pazienti) 2. Successivamente, nelle coorti in real-life sembra essere molto più frequente e rappresenta una causa significativa di morte 3. La polmonite da inibitori dei check-point immunitari predilige il sesso maschile 4.
La sua patogenesi rimane ignota, ma si suppone che in soggetti predisposti, l’aumentata attivazione dei linfociti T possa scatenare una risposta autoimmune verso gli organi dell’ospite con rilascio di citochine pro-infiammatorie. Poiché i cloni autoreattivi delle cellule T presumibilmente persistono a lungo dopo la cessazione del trattamento, è possibile che anche dopo l’interruzione della terapia compaia una polmonite 4.
Tra i fattori di rischio per la polmonite da inibitori dei check-point immunitari descritti in letteratura risultano l’abitudine tabagica, preesistenti patologie polmonari (ad esempio broncopneumopatia cronica ostruttiva, interstiziopatie polmonari) e pregressa radioterapia toracica 5,6.
Un’alta incidenza di BPCO nei pazienti con NSCLC è ampiamente descritta in letteratura, suggerendo un’incidenza significativa di entrambe le comorbilità negli stessi pazienti. Infatti, nei pazienti con NSCLC avanzato, alcuni autori hanno descritto una prevalenza di BPCO compresa tra il 39% e il 50% ponendo particolare attenzione a questa coorte 7. Nei pazienti affetti da BPCO, l’infiammazione cronica polmonare produce citochine immunosoppressive come IL-10 che contribuiscono a favorire la genesi e la crescita tumorale 8.
Tuttavia, l’abitudine al fumo potrebbe prevedere una risposta più favorevole nei pazienti con NSCLC trattati con farmaci anti-PD-1 probabilmente a causa dell’aumento del carico mutazionale tumorale indotto da agenti cancerogeni rilasciati dalla combustione delle sigarette. Questi suggerisce che uno stato infiammatorio mantenuto dal fumo di sigarette migliorerebbe la risposta all’immunoterapia al costo di un aumento della tossicità autoimmune. In un sottogruppo di pazienti con BPCO, la presenza di IFN-gamma che attiva una risposta Th-1 ha dimostrato di predire positivamente la risposta ai trattamenti anti-PD-1 portando a un aumento crescente di CD4+ e CD8+ in questi pazienti. Inoltre, l’aumento dei Th17 è stato associato ad alti livelli di espressione PD-1 nel tessuto polmonare di pazienti con BPCO che avevano una sopravvivenza libera da progressione più lunga se trattati con inibitori del check-point immunitario 8.
Tutti gli studi mostrano un aumento del rischio da 2 a 4 volte nei pazienti trattati con regimi combinati rispetto alla monoterapia 4. Inoltre, la presenza prima del trattamento con gli inibitori dei check-point immunitari di consolidazioni polmonari, interessamento interstiziale, bronchiectasie, riduzione della CVF e della CPT, la presenza di ipoalbuminemia e riduzione di linfociti ed eosinofili sembrano essere associati a forme più gravi di polmonite 9.
La polmonite da inibitori dei check-point immunitari è classificata come severa, come nel caso in oggetto, in presenza di sintomi gravi e/o della necessità di ricovero ospedaliero e/o del coinvolgimento di tutti i lobi o più del 50% del parenchima polmonare, e/o con limitazione delle attività quotidiane e necessità di ossigenoterapia.
Secondo le attuali linee guida, in questi casi è indicato interrompere in maniera permanente il farmaco e iniziare terapia con metil-prednisolone (al dosaggio di 1-2 mg/Kg/die ev) 10. Uno studio ha dimostrato come una dose iniziale di glucocorticoide per via sistemica < 1 mg/Kg/die si associ a un aumento del rischio di risoluzione parziale della polmonite, necessità di aumentare la dose del glucocorticoide per via sistemica o necessità di un secondo ciclo di glucocorticoide per via sistemica 9.
I glucocorticoidi per via sistemica dovrebbero essere usati alla dose minima necessaria e per la durata minima per controllare la polmonite, ma non ci sono raccomandazioni specifiche su come ridurre gradualmente la loro dose. Potrebbero essere utili al riguardo le raccomandazioni sulla diminuzione graduale della dose di glucocorticoidi per via sistemica dopo il loro uso a lungo termine in altre patologie 4.
Uno studio ha riportato un tempo medio di 93 giorni per la risoluzione della polmonite 11.
In tutti i pazienti trattati con dosi di prednisone ≥20 mg/die per > 4 settimane va considerata la profilassi con cotrimossazolo per la polmonite da Pneumocystis Jirovecii 4.
Nel caso clinico descritto, l’uso di glucocorticoidi per via sistemica ha portato a un miglioramento clinico-radiologico e funzionale, con scomparsa dell’insufficienza respiratoria acuta prima della dimissione.
Il caso clinico da noi descritto conferma la necessità di monitoraggio clinico anche a distanza di tempo dalla terapia con pembrolizumab. Tutti i pazienti devono essere informati dei possibili effetti polmonari legati all’uso di questi farmaci e sull’importanza di riferire tempestivamente la comparsa dei primi sintomi respiratori al proprio medico curante.
History
Ricevuto/Received: 12/10/2024
Accettato/Accepted: 11/06/2025
Figure e tabelle
Figura 1.Pannelli di TC torace: a) al momento della diagnosi dell’adenocarcinoma polmonare primitivo; b) dopo i 7 cicli di chemio-immunoterapia; c) dopo la visita in day hospital oncologico subito prima del ricovero.
Figura 2.TC torace con contrasto a distanza di 9 giorni dalla dimissione.
Figura 3.Pannello a) curva flusso-volume; pannello b) diffusione alveolo-capillare del monossido di carbonio; pannello c) spirogramma.
Riferimenti bibliografici
- ESMO Clinical Practice Guideline for diagnosis, treatment and follow-up. Ann Oncol. 2022; 33:1217-1238. DOI
- Lin M-X, Zang D, Liu C-G, Han X. Immune checkpoint inhibitor-related pneumonitis: research advances in prediction and management. Front Immunol. 2024; 15:1266850. DOI
- Shankar B, Zhang J, Naqash AR. Multisystem immune-related adverse events associated with immune checkpoint inhibitors for treatment of non-small cell lung cancer. JAMA Oncol. 2020; 6:1952-1956. DOI
- Ramos-Casals M, Sisó-Almirall A. Immune-related adverse events of immune checkpoint inhibitors. Ann Intern Med. 2024; 177:ITC17-ITC32. DOI
- Bonti V, Ferrari K. Management of pulmonary toxicities associated with target therapy and immunotherapy in lung cancer: the role of pulmonologist. Rassegna di Patologia dell’Apparato Respiratorio. 2021; 36:215-223. DOI
- Wong A, Riley M, Zhao S. Association between pretreatment chest imaging and immune checkpoint inhibitor pneumonitis among patients with lung cancer. J Natl Compr Can Netw. 2023; 21:1164-1171.e5. DOI
- Yi YS, Ban W, Sohng KY. Effect of COPD on symptoms, quality of life and prognosis in patients with advanced non-small cell lung cancer. BMC Cancer. 2018; 18:1053. DOI
- Riondino S, Rosenfeld R, Formica V. Effectiveness of immunotherapy in non-small cell lung cancer patients with a diagnosis of COPD: is this a hidden prognosticator for survival and a risk factor for immune-related adverse events?. Cancers (Basel). 2024; 16:1251. DOI
- Moodabagil M, Easterling R, Peng J. Investigating risk factors and treatment options for severe, partially steroid responsive, and steroid-refractory checkpoint inhibitor pneumonitis. Oncologist. 2024;oyae147. DOI
- Brahmer JR, Lacchetti C, Thompson JA. Management of immune-related adverse events in patients treated with immune checkpoint inhibitor therapy: American Society of Clinical Oncology clinical practice guideline summary. J Oncol Pract. 2018; 14:247-249. DOI
- Ghisoni E, Wicky A, Bouchaab H. Late onset and long-lasting immune-related adverse events from immune checkpoint-inhibitors: an overlooked aspect in immunotherapy. Eur J Cancer. 2021; 149:153-164. DOI
Affiliazioni
Licenza

Questo lavoro è fornito con la licenza Creative Commons Attribuzione - Non commerciale - Non opere derivate 4.0 Internazionale.
Copyright
© Associazione Italiana Pneumologi Ospedalieri – Italian Thoracic Society (AIPO – ITS) , 2025
Come citare
- Abstract visualizzazioni - 731 volte
- PDF downloaded - 96 volte
