L’agobiopsia transtoracica ecografia-guidata (US-TTNB): l’esperienza di un reparto di Pneumologia
Abstract
Introduzione. L’agobiopsia transtoracica ecografia-guidata (Ultrasound-guided transthoracic needle biopsy, US-TTNB) è una tecnica diagnostica in continua evoluzione, usata sempre più di frequente anche in alternativa alla agobiopsia transtoracica tomografia computerizzata- guidata (TC-TTNB), essendosi dimostrata procedura sicura, veloce, a basso costo, e ad alta resa diagnostica. Praticata in passato prevalentemente dai radiologi interventisti, questa metodica si sta progressivamente affermando anche nei reparti di Pneumologia; per tale motivo abbiamo deciso di iniziare ad utilizzare questa tecnica presso la nostra unità riportando qui la nostra esperienza.
Materiali e metodi. Abbiamo condotto un’analisi retrospettiva delle US-TTNB praticate presso il reparto di Pneumologia dell’Ospedale Villa Scassi tra settembre 2022 e febbraio 2025. Tutte le biopsie sono state eseguite in reparto al letto del paziente o in regime di Day Hospital, in anestesia locale, sotto la guida dell’ecografo Esaote MyLab X6; abbiamo selezionato pazienti che avessero una lesione polmonare periferica con contatto pleurico evidente ad una TC del torace, PET o TC-PET.
Risultati. In totale sono state eseguite 35 biopsie. Ventisei pazienti erano di sesso maschile, nove di sesso femminile; l’età media dei pazienti era di 71,3 anni; la grandezza media della lesione era di 6,6 cm. Solamente una biopsia non è risultata diagnostica. Per quanto riguarda le complicanze si sono verificati: due casi di pneumotorace, che sono stati trattati con il posizionamento di un tubo di drenaggio pleurico, un caso di emottisi.
Discussione. La nostra esperienza mostra che la US-TTNB è una procedura realizzabile e sicura in ambito clinico, con buona resa diagnostica.
Conclusioni. Riteniamo che tale metodica debba essere implementata presso i reparti di Pneumologia e debba diventare parte della pratica clinica, in modo tale che lo pneumologo possa acquisire piena indipendenza nell’approccio diagnostico nei confronti del paziente.
Introduzione
L’uso clinico dell’ecografia, iniziato negli anni ’60, ha conosciuto un progressivo sviluppo nelle applicazioni diagnostiche e terapeutiche, tanto in ambito clinico quanto radiologico. In Pneumologia, l’ecografia toracica è ormai una tecnica consolidata, considerata complementare all’esame obiettivo tradizionale. Questa metodica è impiegata nello studio dei versamenti pleurici e nelle procedure a essi correlate (toracentesi, posizionamento di drenaggi, etc.), ma è negli ultimi anni che gli ultrasuoni sono stati adottati anche per l’analisi di masse pleuriche, polmonari e della parete toracica, in particolare per l’esecuzione delle biopsie. La possibilità di ottenere biopsie adeguate (con una sensibilità del 73% e una specificità del 100%) 1 consente una diagnosi più accurata, fornendo materiale sufficiente per le successive terapie oncologiche, superando così i limiti legati all’analisi del solo liquido pleurico e, talvolta, all’impossibilità di eseguire una toracoscopia a causa delle condizioni cliniche del paziente 2,3. Rispetto alle biopsie TC-guidate, quelle eco-guidate presentano alcuni vantaggi: sono infatti eseguibili al letto del paziente, offrono una visione in tempo reale della lesione da campionare in relazione al respiro del paziente e non comportano l’uso di radiazioni ionizzanti. Uno dei limiti consiste nel fatto che si tratta di una tecnica “operatore-dipendente” 4. Di seguito desideriamo condividere l’esperienza della nostra Unità di Pneumologia nella gestione delle lesioni tramite l’agobiopsia transtoracica eco-guidata (US-TTNB) eseguita direttamente dallo pneumologo (Fig. 1).
Materiali e metodi
Abbiamo realizzato uno studio retrospettivo sulle US-TTNB eseguite nel reparto di Pneumologia dell’Ospedale Villa Scassi tra settembre 2022 e febbraio 2025. Per ciascun paziente, sono state raccolte le informazioni demografiche, e i dati relativi a: sede della lesione, dimensione della lesione (misurata come diametro massimo alla TC/PET), resa diagnostica, istologia e complicanze. Sono stati selezionati pazienti con lesioni polmonari periferiche e contatto pleurico, lesioni di parete, lesioni pleuriche, lesioni mediastiniche, evidenti alla TC del torace, PET, o esame TC-PET. Tutte le biopsie sono state eseguite sotto guida ecografica utilizzando l’ecografo Esaote MyLab X6, in reparto al letto del paziente o in regime di Day Hospital. A seconda della posizione della lesione, il paziente è stato posizionato in decubito prono, supino o laterale. Sono state inoltre acquisite immagini mediante Doppler arterioso e venoso per escludere aree della parete toracica interessate da grossi vasi. Dopo aver disinfettato accuratamente la cute e, in alcuni casi selezionati, dopo lieve sedazione endovenosa con midazolam (5 mg), è stata eseguita un’anestesia locale con lidocaina nei tessuti sottocutanei, monitorando ecograficamente l’ago. Durante tutta la procedura il paziente è stato monitorato in termini di pressione, frequenza cardiaca, saturazione arteriosa. La biopsia è stata quindi effettuata sotto guida ecografica, con sonda Convex in modalità “in plane” durante l’intera fase di campionamento. È stato utilizzato un ago da 18 gauge, con la possibilità di far fuoriuscire il tranciante per 1 o 2 cm, a seconda delle dimensioni della lesione. I campioni prelevati sono stati esaminati macroscopicamente per valutarne l’adeguatezza. Al termine della procedura, è stata eseguita un’ecografia polmonare per escludere complicanze come sanguinamento o pneumotorace. In caso di segni ecografici sospetti per pneumotorace o sintomatologia sospetta, è stato effettuato un RX torace di controllo al letto del paziente. In assenza di complicanze, il paziente è stato dimesso il giorno successivo. Tutti i campioni bioptici sono stati conservati in formalina e inviati al reparto di Anatomia Patologica dell’Ospedale per l’esame istologico e le analisi immunoistochimiche.
Risultati
In totale sono state effettuate 35 biopsie. Le caratteristiche demografiche e cliniche sono riportate nella Tabella I. Ventisei pazienti (74,29%) erano di sesso maschile e nove (25,71%) di sesso femminile, con un’età media di 71,3 anni. La dimensione media della lesione era di 6,6 cm. Sul totale, 27 biopsie (77,14%) sono state eseguite a livello polmonare, 4 (11,43%) nella parete toracica, 2 (5,71%) in sede pleurica e 2 (5,71%) nel mediastino anteriore. Solamente una biopsia non è risultata diagnostica. Su 34 biopsie diagnostiche (97,14%), in 15 casi (44,12%) l’esame istologico è risultato compatibile con adenocarcinoma polmonare, in 4 (11,76%) con tumore squamocellulare, in 3 (8,82%) con tumore di origine mesenchimale, in 2 (5,88%) con sarcoma, in 2 (5,88%) con microcitoma, in 2 (5,88%) con tessuto infiammatorio, in 1 (2,94%) con mesotelioma sarcomatoide, in 1 (2,94%) con carcinoma scarsamente differenziato, in 1 (2,94%) con timoma, in 1 (2,94%) con metastasi da carcinoma renale, in 1 (2,94%) con tumore fibroso solitario della pleura, e in 1 (2,94%) con tessuto fibrosclerotico. Per quanto riguarda le complicanze, sul totale si sono verificati: 2 casi (5,71%) di pneumotorace che sono stati trattati con il posizionamento di un tubo di drenaggio pleurico, 1 caso (2,86%) di emottisi. In 1 caso in cui il prelievo è risultato compatibile con tessuto infiammatorio, tenuto conto delle immagini radiologiche sospette per patologia neoplastica, il paziente è stato sottoposto, dopo discussione in DMT, a biopsia chirurgica con istologico compatibile con linfoma di Hodgkin.
Discussione
Come evidenziato da diversi anni e recentemente ribadito dalla metanalisi di Mei et al. 4, il ruolo delle biopsie eco-guidate sta assumendo un’importanza crescente e fondamentale nell’esperienza dello pneumologo. Il nostro studio retrospettivo evidenzia che la biopsia eco-guidata delle lesioni polmonari, pleuriche e della parete toracica eseguita dagli pneumologi è una procedura sicura ed efficace, con un elevato rendimento diagnostico e un basso rischio di complicanze. Rispetto alla biopsia TC-guidata, tecnica principalmente utilizzata dai radiologi interventisti, risulta anche meno costosa, priva di radiazioni e con tempi procedurali più rapidi 5,6. Altri studi recenti hanno confermato che gli pneumologi sono in grado di eseguire in modo sicuro ed efficace l’agoaspirato e la biopsia delle lesioni toraciche periferiche sotto guida ecografica, dopo adeguata formazione 7-9. Per quanto riguarda la resa diagnostica, i nostri risultati sono coerenti con quelli riportati nel 2022 da Gershman et al., che indicano un rendimento diagnostico del 91,1% 9. Sebbene i risultati ottenuti siano promettenti, il nostro studio presenta alcune limitazioni: si tratta di uno studio retrospettivo con un campione di dati limitato, la metodica utilizzata non è stata confrontata con altre modalità di imaging per la biopsia polmonare. Inoltre, non è stata effettuata un’analisi statistica. Questa metodica può fornire risultati variabili a causa di diversi fattori, tra cui il tipo di patologia sottostante, le dimensioni, la localizzazione della lesione, il numero di campioni prelevati e, forse, limite principale, il fatto che si tratti di una procedura “operatore-dipendente”.
Conclusioni
In conclusione, possiamo affermare che la biopsia eco-guidata delle lesioni toraciche eseguita dallo pneumologo è una procedura diagnostica altamente valida e sicura e rappresenta una tecnica efficace che dovrebbe essere sempre presa in considerazione, anche come alternativa alla biopsia TC-guidata per la diagnosi delle lesioni toraciche periferiche. Riteniamo pertanto che l’US-TTNB dovrebbe essere potenziata nei reparti di Pneumologia, affinché lo pneumologo possa acquisire piena indipendenza nell’approccio diagnostico nei confronti del paziente.
Key messages
- Allo stato attuale, un esiguo numero di pneumologi utilizzano l’ecografia toracica in associazione alla biopsia.
- Sull’ argomento infatti ci sono ancora pochi studi che documentano questa esperienza nei reparti di Pneumologia.
- Il nostro studio retrospettivo evidenzia che la US-TTNB è una procedura realizzabile da parte del clinico, avendo dimostrato di essere una metodica sicura ed efficace.
History
Ricevuto/Received: 03/05/205
Accettato/Accepted: 23/09/2025
Figure e tabelle
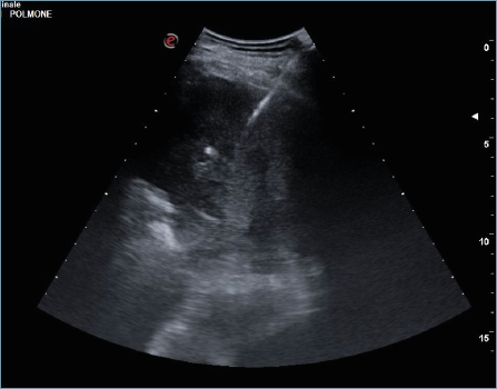
Figura 1.Visione ecografica di lesione polmonare adesa alla pleura compatibile con adenocarcinoma polmonare con ago da biopsia al suo interno.
| Età (media) | 71,3 |
| Sesso (M/F) | 26/9 |
| Dimensione - diametro massimo alla TC/PET (media in cm) | 6,6 |
| Sede | |
| Polmone n (%) | 27 (77,14%) |
| Parete toracica n (%) | 4 (11,43%) |
| Pleura n (%) | 2 (5,71%) |
| Mediastino anteriore n (%) | 2 (5,71%) |
| Istologia | |
| Adenocarcinoma polmonare n (%) | 15 (44,12%) |
| Tumore squamocellulare n (%) | 4 (11,76%) |
| Tumore di origine mesenchimale n (%) | 3 (8,82%) |
| Sarcoma n (%) | 2 (5,88%) |
| Microcitoma n (%) | 2 (5,88%) |
| Tessuto infiammatorio n (%) | 2 (5,88%) |
| Mesotelioma sarcomatoide n (%) | 1 (2,94%) |
| Carcinoma scarsamente differenziato n (%) | 1 (2,94%) |
| Timoma n (%) | 1 (2,94%) |
| Metastasi da carcinoma renale n (%) | 1 (2,94%) |
| Tessuto fibrosclerotico n (%) | 1 (2,94%) |
| Tumore fibroso solitario della pleura n (%) | 1 (2,94%) |
| Complicanze | |
| Pneumotorace n (%) | 2 (5,71%) |
| Emottisi n (%) | 1 (2,86%) |
Riferimenti bibliografici
- Lemieux S, Kim T, Pothier-Piccinin O. Ultrasound-guided transthoracic needle biopsy of the lung: sensitivity and safety variables. Eur Radiol. 2021; 31:8272-8281. DOI
- Yuan A, Yang PC, Chang DB. Ultrasound-guided aspiration biopsy of small peripheral pulmonary nodules. Chest. 1992; 101:926-930. DOI
- Targhetta R, Bourgeois JM, Marty-Double C. Peripheral pulmonary lesions: ultrasonic features and ultrasonically guided fine needle aspiration biopsy. J Ultrasound Med. 1993; 12:369-374. DOI
- Mei F, Bonifazi M, Rota M. Diagnostic yield and safety of image-guided pleural biopsy: a systematic review and meta-analysis. Respiration. 2021; 100:77-87. DOI
- Lee MH, Lubner MG, Hinshaw JL. Ultrasound guidance versus CT guidance for peripheral lung biopsy: performance according to lesion size and pleural contact. Am J Roentgenol. 2018; 210:W110-117. DOI
- Yi D, Feng M, Wen-Ping W. Contrast-enhanced US-guided percutaneous biopsy of anterior mediastinal lesions. Diagnostic Interven Radiol. 2017; 23:43-48. DOI
- Diacon AH, Schuurmans MM, Theron J. Safety and yield of ultrasound-assisted transthoracic biopsy performed by pulmonologists. Respiration. 2004; 71:519-522. DOI
- Laursen C, Naur T, Bodtger U. Ultrasound-guided lung biopsy in the hands of respiratory physicians: diagnostic yield and complications in 215 consecutive patients in 3 centers. J Bronchology Interv Pulmonol. 2016; 23:220-228. DOI
- Gershman E, Vaynshteyn I, Freidkin L. Marked safety and high diagnostic yield of freehand ultrasound-guided core-needle biopsies performed by pulmonologists. Thorac Cancer. 2022; 13:1577-1582. DOI
Licenza

Questo lavoro è fornito con la licenza Creative Commons Attribuzione - Non commerciale - Non opere derivate 4.0 Internazionale.
Copyright
© Associazione Italiana Pneumologi Ospedalieri – Italian Thoracic Society (AIPO – ITS) , 2025
Come citare
- Abstract visualizzazioni - 662 volte
- PDF downloaded - 97 volte
