Diagnosi di malattia IgG4-correlata in un paziente con versamento pleurico persistente: il ruolo della toracoscopia medica
Abstract
Un uomo caucasico di 78 anni, ex fumatore (50 pack-years) ed ex etilista (astemio da 30 anni), riferiva una possibile esposizione all’asbesto per coperture di alcuni edifici posizionati in prossimità del domicilio. Familiarità per cardiopatia ischemica non precoce. Affetto dalle seguenti comorbilità: broncopneumopatia cronica ostruttiva (BPCO) di grado moderato, infarto miocardico acuto tipo NSTEMI, avvenuto undici anni prima del presente ricovero, complicato da arresto cardiorespiratorio intraospedaliero e fibrillazione ventricolare risolta con cardioversione elettrica, trattato con PTCA; ipertensione arteriosa, condizione di sovrappeso, intolleranza glucidica e dislipidemia. Riferiva pleurite remota in età infantile in assenza di nota esposizione a casi indice per tubercolosi. In terapia cronica con: pantoprazolo, acido acetilsalicilico, rosuvastatina, ezetimibe, olmesartan, ranolazina, metformina, amlodipina.
Caso clinico
Un uomo caucasico di 78 anni, ex fumatore (50 pack-years) ed ex etilista (astemio da 30 anni), riferiva una possibile esposizione all’asbesto per coperture di alcuni edifici posizionati in prossimità del domicilio. Familiarità per cardiopatia ischemica non precoce. Affetto dalle seguenti comorbilità: broncopneumopatia cronica ostruttiva (BPCO) di grado moderato, infarto miocardico acuto tipo NSTEMI, avvenuto undici anni prima del presente ricovero, complicato da arresto cardiorespiratorio intraospedaliero e fibrillazione ventricolare risolta con cardioversione elettrica, trattato con PTCA; ipertensione arteriosa, condizione di sovrappeso, intolleranza glucidica e dislipidemia. Riferiva pleurite remota in età infantile in assenza di nota esposizione a casi indice per tubercolosi. In terapia cronica con: pantoprazolo, acido acetilsalicilico, rosuvastatina, ezetimibe, olmesartan, ranolazina, metformina, amlodipina.
Insorgenza di dispnea da sforzo da almeno 5 mesi prima del momento del ricovero qui descritto, con progressivo peggioramento della sintomatologia. Accedeva in Pronto Soccorso (PS) per la dispnea da sforzo stessa, con conseguente riscontro all’emogasanalisi di un quadro di lieve ipossiemia. Agli esami ematici effettuati in PS non si riscontrava movimento degli indici di flogosi e il BNP era pari a 1.059 ng/l. La radiografia del torace mostrava un versamento pleurico bilaterale. Alla luce del quadro clinico e radiografico, veniva ricoverato in un reparto di Medicina Interna con diagnosi di sospetto scompenso cardiaco acuto. Veniva inizialmente trattato con terapia diuretica endovenosa e successive toracentesi seriate bilaterali, eseguite inizialmente in cavo pleurico destro e successivamente anche nel sinistro. Alla valutazione chimico-fisica il liquido pleurico aveva carattere essudativo: color giallo oro, glucosio 148 mg/dl, proteine totali 34,4 g/L, rapporto liquido/siero proteine 0,53, albumina 25,3 g/L, gradiente dell’albumina 11,70 g/L, LDH 91 U/L, rapporto liquido/siero LDH 0,49, Amilasi 23 UI/L, Bilirubina totale 1,80 mg/dl, Trigliceridi 21 mg/dl, Conta Eritrociti 0,027 x 10^6/μL, Conta cellulare 0,550 x 10^3/μL, Formula Polinucleati neutrofili = 2%, Linfociti = 44%, Cellule mononucleate = 25%, Cellule di sfaldamento = 29%. L’esame microbiologico microscopico risultava negativo, la RT-PCR per Mycobacterium tuberculosis era negativa come il colturale per batteri e micobatteri. L’indagine citologica non dimostrava cellularità sospetta, ma identificava una popolazione compatibile con una flogosi cronica. Agli esami ematochimici non veniva rilevata alcuna componente autoimmunitaria significativa. Durante il ricovero la terapia diuretica veniva sospesa per insorgenza di insufficienza renale acuta attribuita a causa pre-renale.
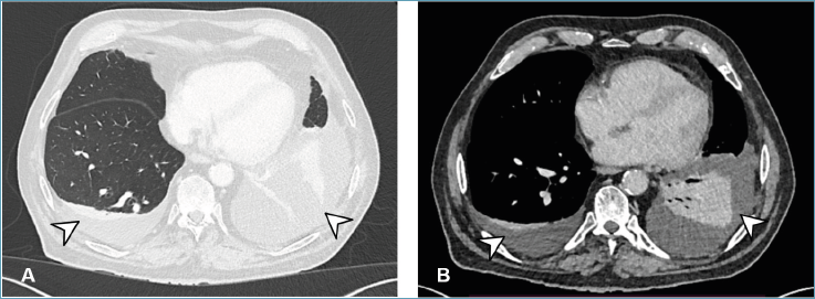
La tomografia computerizzata (TC) toraco-addominale, richiesta per approfondimento, evidenziava la presenza di un versamento pleurico bilaterale con spessore massimo di 28 mm a destra e di 148 mm a sinistra in assenza di franchi ispessimenti pleurici, ma con significativa impregnazione contrastografica della pleura diaframmatica sinistra (Fig. 1). Inoltre, veniva segnalata la presenza di linfoadenomegalie di diametro pari a 12 mm a livello della stazione 4R e di 11 mm a livello della 11R. Nelle scansioni per parenchima polmonare si osservava un’atelettasia del lobo inferiore sinistro e alterazioni disventilatorie della superficie posteriore del lobo polmonare inferiore destro e del lobo polmonare superiore sinistro.
Il paziente veniva trasferito presso il reparto di Pneumologia locale per il proseguimento degli accertamenti diagnostici, dove si programmava una toracoscopia medica in elezione, finalizzata all’esplorazione del cavo pleurico sinistro e all’esecuzione di biopsie pleuriche parietali mirate, con lo scopo di dirimere il sospetto diagnostico relativo al versamento pleurico di natura essudatizia. Gli autori ipotizzavano, quale principale sospetto diagnostico, una patologia flogistica cronica, anche in considerazione della bilateralità del versamento pleurico.
Alla luce della persistenza della sintomatologia dispnoica riferita dal paziente, lo stesso veniva previamente informato della possibilità di eseguire, al termine della toracoscopia, un talcaggio poudrage finalizzato ad alleviare la sintomatologia, in attesa dei risultati istologici del campionamento bioptico.
Si eseguiva la toracoscopia mediante strumentazione rigida, in sedazione profonda con propofol (100 mg), fentanil (0,1 mg) e midazolam (2 mg), associata ad anestesia locale del punto di ingresso in cavo pleurico con lidocaina 2% e mepivacaina. A livello macroscopico si evidenziava un polmone regolarmente espanso e normopigmentato. A livello della pleura parietale si visualizzavano la presenza di ipertrofia del tessuto adiposo paravertebrale, una singola formazione polipoide color porpora, quest’ultima compatibile con un coagulo in sede di pregressa toracentesi, e accumuli antracotici in prossimità del seno costo-frenico. Il diaframma risultava normoconformato con una singola piccola nodulazione (Fig. 2). Si eseguivano le biopsie rispettivamente a livello del tessuto adiposo, sulla formazione polipoide (coagulo) e a livello della nodulazione diaframmatica. Al termine della procedura si procedeva a praticare un talcaggio (STERITALC® 3g) con tecnica poudrage, con finalità di trattamento sintomatico e allo scopo di ridurre la probabilità di recidiva del versamento pleurico. La procedura si concludeva senza complicanze e con il posizionamento di un drenaggio toracico 24 fr. La radiografia post-procedura evidenziava una rapida e completa riespansione polmonare, in assenza di versamento pleurico residuale (Fig. 3A). La rimanente durata della degenza risultava regolare, il drenaggio veniva rimosso quattro giorni dopo la procedura, e il paziente veniva dimesso al domicilio sei giorni dopo la procedura stessa.
L’esame istologico delle biopsie pleuriche, comprensivo di indagini immunoistochimiche, risultava compatibile con pleurite cronica con depositi tissutali di plasmacellule positive per la ricerca di IgG4; con conta di 25 per campo ad alto ingrandimento (HPF) e rapporto tra IgG4 e IgG totali di circa 40% del totale (Fig. 4). Il dosaggio delle immunoglobuline sieriche dimostrava una concentrazione di IgG4 pari a 164 mg/dl.
La tomografia a emissione di positroni (PET) con fluorodesossiglucosio con correlazione TC evidenziava un’elevata captazione a livello intraparotideo bilaterale (SUV max = 15.7) e confermava la presenza di captazione a livello pleurico bilateralmente e delle linfoadenopatie mediastiniche già segnalate alla TC.
L’ecografia delle ghiandole salivari e della tiroide dimostrava reperti nei limiti di normalità con associate adenopatie di aspetto reattivo.
Il paziente veniva valutato collegialmente con il personale della Reumatologia, decidendo di non avviare una terapia steroidea o immunosoppressiva, ma solamente un percorso di follow-up clinico-strumentale alla luce della scarsa sintomatologia dimostrata dopo il ricovero.
Nel caso clinico qui descritto non sono state identificate complicanze associate al talcaggio pleurico effettuato (Fig. 3B). Non sono state identificate al momento della diagnosi e al follow-up finora avvenuto altre sedi di interessamento della patologia al di fuori di quelle evidenziate alla PET-TC (pleura, adenopatie mediastiniche, ghiandole salivari).
Commento
La malattia da IgG4 è una patologia fibro-infiammatoria immuno-mediata, che può coinvolgere diversi organi 1,2. Gli organi coinvolti presentano caratteristiche cliniche, patologie e quadri sierologici sovrapponibili.
Le manifestazioni più comuni includono: pancreatite autoimmune di tipo 1, colangite sclerosante, nefrite tubulo-interstiziale, tumefazione delle ghiandole lacrimali (dacrioadenite) e salivari maggiori (sialoadenite). Infine, vanno segnalati i quadri di fibrosi sistemica riscontrabili, tra cui la fibrosi retroperitoneale e l’interstiziopatia polmonare IgG4-correlata 3,4.
Nei casi sospetti, è opportuno il dosaggio delle IgG4 sieriche, ricordando tuttavia che valori elevati di IgG4 non sono diagnostici e valori normali non escludono la patologia. La diagnosi di malattia IgG4-correlata richiede, oltre a effettuare il dosaggio delle IgG4, l’evidenza clinica o radiologica di un incremento dimensionale localizzato o diffuso dell’organo interessato e la conferma istologica mediante biopsia dei reperti caratteristici della patologia. Gli elementi istopatologici della patologia includono: infiltrato linfoplasmacellulare con abbondanti plasmacellule IgG4 positive (in genere 40/HPF, ma variabile in relazione all’organo coinvolto), fibrosi storiforme e flebite obliterativa. La patologia è caratterizzata da un’elevata risposta alla terapia steroidea, tuttavia gli esiti fibrotici non risultano essere reversibili. Possono essere utilizzati anche immunosoppressori nelle forme recidivanti o resistenti 5.
Diagnosi
Versamento pleurico bilaterale secondario a pleurite cronica in sindrome IgG4-correlata.
Figure e tabelle
Figura 1.TAC torace, sezioni assiali. Versamento pleurico bilaterale con atelettasia lobare inferiore sinistra (freccia).
Figura 2.Immagini endoscopiche. A: ipertrofia del tessuto adiposo (freccia) a livello della pleura parietale. B: coagulo (freccia) confermato istologicamente in sede di pregresso accesso al cavo pleurico da parte di ago da toracentesi. C: nodulazione diaframmatica (freccia).
Figura 3.A: RX torace post-toracoscopia sinistra con drenaggio pleurico in sede (freccia). B: RX torace a distanza di 6 mesi dalla procedura.
Figura 4.Immagini istologiche di pleura parietale. A: colorazione con ematossilina eosina, ingrandimento 50x. B: Immunocolorazione per IgG4, ingrandimento 200x.
Riferimenti bibliografici
- Stone JH, Zen Y, Deshpande V. IgG4-related disease. N Engl J Med. 2012; 366:539-551. DOI
- Mei F, Mancini M, Maurizi G. Pleural involvement in IgG4-related disease: case report and review of the literature. Diagnostics (Basel). 2021; 11:2177. DOI
- Corcoran JP, Culver EL, Anstey RM. Thoracic involvement in IgG4-related disease in a UK-based patient cohort. Respir Med. 2017; 132:117-121. DOI
- Zen Y, Inoue D, Kitao A. IgG4-related lung and pleural disease: a clinicopathologic study of 21 cases. Am J Surg Pathol. 2009; 33:1886-1893. DOI
- Zhang W, Stone JH. Management of IgG4-related disease. Lancet Rheumatol. 2019; 1:e55-e65. DOI
Affiliazioni
Licenza

Questo lavoro è fornito con la licenza Creative Commons Attribuzione - Non commerciale - Non opere derivate 4.0 Internazionale.
Copyright
© Associazione Italiana Pneumologi Ospedalieri – Italian Thoracic Society (AIPO – ITS) , 2025
Come citare
- Abstract visualizzazioni - 605 volte
- PDF downloaded - 76 volte
