A 18-year-old male with acute respiratory failure. Carpe diem: a call to action
CLINICAL HISTORY
- 18 YEAR-OLD MALE;
- NO HISTORY OF CHRONIC TOBACCO USE;
- NO OCCUPATIONAL EXPOSURES OR RECREATIONAL DRUG USE;
- FAMILIAL CLINICAL HISTORY: not relevant;
- PAST MEDICAL HISTORY: respiratory syncytial virus (RSV) infection four months before the admission;
- PHARMACOLOGICAL THERAPY: none;
- CLINICAL ONSET: acute and rapidly progressive dyspnoea - chest pain.
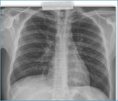
On arrival at the Emergency Department, the patient was febrile and tachycardic and presented with decreased oxygen saturation. Arterial blood gas analysis revealed hypoxemia without hypercapnia or acid-base imbalance (Tab. I). Laboratory investigations demonstrated neutrophilic leukocytosis associated with marked elevation of C - reactive protein (Tab. I). Autoantibody screening, including ANCA and antisynthetase syndrome panel, was negative. ECG and echocardiography were within normal limits. Chest X-ray showed alveolar consolidation in the right lower lung field with an associated right pleural effusion. Empirical antibiotic therapy with azithromycin and ceftriaxone was initiated on suspicion of bacterial pneumonia.
Due to worsening dyspnoea and desaturation (SpO2 < 87% on room air at rest) despite antibiotic regimen, he was soon after admitted to the Pulmonology Department and contrast - enhanced CT scan was performed.
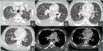
CT scan lung window demonstrated smooth interlobular septal thickening predominantly in the upper lobes, with associated focal patchy consolidations and mild ground-glass opacities in the middle lobe and lingual (Fig. 1). Moderate bilateral pleural effusions was also visible. On the mediastinal window, no pulmonary embolism or left atrial enlargement were detected.
BAL
Given the mild peripheral neutrophilia, elevated inflammatory markers, and CT findings suggestive of Acute Eosinophilic Pneumonia (AEP), a more detailed clinical history was obtained. The patient reported regular use of electronic cigarettes for several months, followed by a brief abstinence, and then resumed use three weeks prior to admission. In the four days preceding presentation, he had also started smoking conventional cigarettes.
Flexible bronchoscopy with bronchoalveolar lavage (BAL) was performed.
Rapid onsite cytological examination (Diff-Quik stain) of BAL fluid revealed a marked eosinophilia and clusters of reactive/hyperplastic type II pneumocytes (Fig. 2). The cell count and cytological profile of BAL fluid showed (Tab. II) increased cellularity and confirmed marked eosinophilia and mild increase in neutrophils count. Microbiological testing was positive for parainfluenza virus type 4.
Tests for SARS-CoV-2, other coronaviruses, enteroviruses, influenza viruses, adenovirus, rhinovirus, metapneumovirus, Mycoplasma pneumoniae, Legionella pneumophila, Bordetella pertussis, and Chlamydia pneumoniae were negative.
DIAGNOSIS
BAL analysis supported the clinico-radiological suspicion of:
Acute Eosinophilic Pneumonia (AEP)
The patient showed rapid clinical improvement, with resolution of fever and hypoxaemia. Laboratory tests one week after corticosteroid initiation demonstrated reduced inflammatory markers but new-onset peripheral eosinophilia (3,130 eos/μL). Radiographic abnormalities progressively resolved (Fig. 3).
He was discharged in good condition, with strict advice to abstain from both tobacco and e-cigarette use.
Early reports of AEP described a respiratory illness of unknown origin. Despite the name peripheral eosinophilia was rarely detected at onset.
DISCUSSION
Over the past four decades, however, numerous studies have demonstrated that most cases are triggered by new or recent inhalational exposures, including conventional cigarettes, vaping devices, and marijuana.
Vaping liquids contain propylene glycol, vegetable glycerine, flavouring agents, and, in THC-containing products, additives such as vitamin E acetate - all implicated in pulmonary inflammation, respiratory impairment, and chemical or eosinophilic pneumonia. Other reported triggers include dust from the World Trade Center collapse in New York City, military deployment in Iraq, cave exploration, gasoline tank cleaning, plant repotting, woodpile handling, and indoor renovations. AEP has also been linked to viral infections (H1N1, HIV, SARS-CoV-2) and to a wide range of licit and illicit drugs (). In rare cases, no trigger is identified, and the disease is classified as idiopathic.
The most widely applied diagnostic framework is the modified Philit criteria, which require:
- Acute onset (≤1 month)
- Pulmonary infiltrates on imaging
- ≥25% eosinophils on BAL or histological evidence of pulmonary eosinophilia (with or without diffuse alveolar damage)
- Exclusion of other known causes
BAL fluid may also show reactive/hyperplastic type II pneumocytes.
Systemic corticosteroids usually result in rapid and complete recovery. In many reports, clinical improvement occurs within 24–48 hours, and corticosteroid tapering regimens typically last only a few weeks.The pathogenesis of AEP is not yet fully defined. One hypothesis is that epithelial injury triggers activation of both innate and adaptive immune responses, leading to the release of type II cytokines and chemotactic factors that drive pulmonary eosinophilia. Because AEP is rare but often induced by common exposures (e.g., cigarette smoke), additional triggering events and individual predisposition likely play a role. In this case, parainfluenza virus type 4, detected in BAL fluid, may have acted as a cofactor.
If untreated, AEP often progresses rapidly to respiratory failure requiring invasive mechanical ventilation. Timely recognition and accurate diagnosis are therefore crucial. The most characteristic feature is the combination of acute respiratory failure, an inflammatory laboratory profile, and a CT pattern resembling acute heart failure. BAL with rapid onsite cytology can confirm the diagnosis.
This case highlights that early diagnosis and management of AEP reiterates the importance of seizing the critical and opportune moment to act – echoing the timeless concept expressed by Horace in his Odes: carpe diem, quam minimum credula postero (“seize the day, and put little trust in tomorrow”).
Figure e tabelle
Figure 1.(a-d) Interlobular septal thickening - lung window. (e-f) No evidence of pulmonary embolism or left atrial enlargement -mediastinal window.
Figure 2.BAL: Eosinophils are the predominant cells in the field. Scattered foamy macrophages (and without intracytoplasmic inclusion typically observed in smokers) and lymphocytes are present as well (Diff-Quick, x 40).A cluster of hyperplastic/reactive type II pneumocytes (inlet; Diff Quick, x 40).
Figure 3.Chest X-ray. Minimal opacities in the lower third of the right hemithorax, with otherwise normal findings.
| LABORATORY TESTS | |
| White blood cells | 16,580/mmc (n.v. 4,000-11,000) |
| Neutrophils | 14,360/mmc (n.v. 2,000-5,000) |
| Lymphocytes | 1,760/mmc (n.v. 1,000-4,000) |
| Eosinophils | 460/mmc (n.v. 0-600) |
| Haemoglobin | 17.2 g/dl (n.v. 13-17.5) |
| CRP | 148.7 mg/L (n.v. 0-5) |
| Troponin | 6.0 ng/L (n.v. < 14) |
| ARTERIAL BLOOD GAS ANALYSIS | |
| pH: 7.44 pO2: 60 mmHg pCO2: 38.6 mmHg HCO3: 26.7mmol/l | |
| Total cells count | 1005 x 106/l | ||
|---|---|---|---|
| Macrophages | Lymphocytes | Neutrophils | Eosinophils |
| 42% | 10% | 8% | 40% |
Riferimenti bibliografici
- Allen JN, Pacht ER, Gadek JE, Davis WB. Acute eosinophilic pneumonia as a reversible cause of noninfectious respiratory failure. N Engl J Med. 1989; 321:569-574.
- Blagev DP, Harris D, Dunn AC. Clinical presentation, treatment, and short-term outcomes of lung injury associated with e-cigarette use. Lancet. 2019; 394:2073-2083. DOI
- Kalininskiy A, Bach CT, Nacca NE. E-cigarette, or vaping, product use associated lung injury (EVALI): case series and diagnostic approach. Lancet Respir Med. 2019;1017-1026. DOI
- Orazio Odi. Mondadori: Milan; 2024.
- Philit F, Etienne-Mastroianni B, Parrot A. Idiopathic acute eosinophilic pneumonia: a study of 22 patients. Am J Respir Crit Care Med. 2002; 166:1235-1239. DOI
- Ryerson CJ, Adegunsoye A, Piciucchi S. Update of the international multidisciplinary classification of the insterstitial pneumonias: an ERS/ATS statement. Eur Respir J. 2025;2500158. DOI
- Shorr AF, Scoville SL, Cersovsky SB. Acute eosinophilic pneumonia among US military personnel deployed in or near Iraq. JAMA. 2004; 292:2997-3005. DOI
- Trisolini R, Cancellieri A, Bonaccorsi A, Poletti V. Bronchoalveolar lavage suggesting diffuse alveolar damage in a patient with acute eosinophilic pneumonia. Sarcoidosis Vasc Diff Lung Dis. 2001; 18:311-312.
Affiliazioni
Licenza

Questo lavoro è fornito con la licenza Creative Commons Attribuzione - Non commerciale - Non opere derivate 4.0 Internazionale.
Copyright
© Associazione Italiana Pneumologi Ospedalieri – Italian Thoracic Society (AIPO – ITS) , 2025
Come citare
- Abstract visualizzazioni - 524 volte
- PDF downloaded - 86 volte
