Mesotelioma con cellule ad anello con castone
Caso
Paziente donna di 82 anni, non fumatrice, ex contadina, marito carabiniere deceduto nel 1996 per mesotelioma pleurico epitelioide senza chiara esposizione lavorativa all’amianto; all’anamnesi patologica remota distacco bilaterale della retina a 41 anni con successiva cecità; nel 1995 operata per neoplasia mammella sn. Dalla fine di agosto del 2014 comparsa di dispnea ingravescente e riscontro di versamento pleurico dx (Figura 1) per il quale il collega oncologo chiede il ricovero urgente in Pneumologia per la tipizzazione diagnostica e l’evacuazione terapeutica. L’EGA evidenzia ipossiemia (PaO2 60 mmHg); il BNP serico, l’ECG e i markers neoplastici sierici (CA 19-9, CEA, Ca 15-3, NSE) sono nella norma.
Previa ecografia e anestesia locale con xilocaina 1% 6 cc, viene posizionato un drenaggio endopleurico da 12 fr con ago di Verres a dx, e vengono drenati subito 1000 cc di liquido giallo-arancio (essudato con pH 7,33 ed esame citologico negativo per atipie); dopo introduzione di aria nel cavo pleurico sn, l’11 settembre si esegue TC torace con mdc che evidenzia (Figura 2) un idropnx a dx e noduli di varie dimensioni a carico della pleura parietale dx.
Il giorno successivo la TC, si esegue toracoscopia medica in sedazione profonda e assistenza anestesiologica. Il cavo pleurico è ben esplorabile e si reperta: 1) pleura parietale ispessita con noduli rotondi e oblunghi di varie dimensioni, rosei, morbidi alla presa bioptica (si eseguono biopsie multiple random); 2) placche biancastre dure a carico della pleura parietale in sede medio basale di tipo asbestosico; 3) pleura viscerale e diaframmatica indenni da lesioni nodulari.
Viene poi eseguita una PET-TC total body che mette in evidenza un’ipercaptazione a carico di tutta la pleura parietale destra con SUV max 6.5. Limitatamente al potere risolutivo della metodica (circa 5 mm), non si evidenziano ulteriori aree di significativa alterazione della distribuzione del tracciante nei restanti distretti anatomici esaminati.
Conclusioni: malattia ad elevata attività metabolica in sede pleurica destra verosimilmente primitiva.
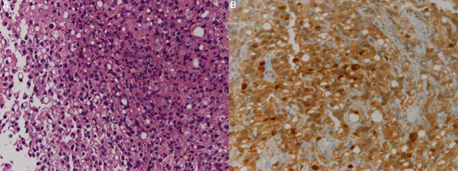
L’esame istologico (Figura 3) ha mostrato lembi bioptici pleurici con diffusa infiltrazione da neoplasia maligna epiteliomorfa, scarsamente differenziata con cellule con aspetti ad anello con castone e focolai di necrosi. Le tecniche istochimiche PAS e PAS-diastasi hanno mostrato in rare cellule neoplastiche secrezione di muco intracitoplasmatico diastasi resistente. Le indagini immunoistochimiche hanno documentato positività per calretinina, citocheratina 7, vimentina, EMA di membrana, citocheratina 5/6, mesotelina, debole positività per WT-1 e negatività per citocheratina 20, recettori estrogeni, CEA, TTF-1, CD15, CDX-2. Il quadro depone per mesotelioma maligno epitelioide con aspetti a cellule ad anello con castone e focali aspetti mucosecernenti.
Vista la presenza all’esame istologico di cellule ad anello con castone è stata posta indicazione all’esecuzione di esofagogastroscopia per escludere la partenza gastrica del processo neoplastico.
La diagnosi finale è stata di: mesotelioma pleurico maligno epitelioide destro con aspetti a cellule ad anello con castone in asbestosi pleurica.
Commenti
Il mesotelioma con aspetti a cellule ad anello con castone è una rarissima variante istologica della forma epitelioide ed è caratterizzato da una proliferazione di cellule epiteliomorfe vacuolate che accumulano muco intracitoplasmatico; è stato descritto per la prima volta in un caso peritoneale nel 2000 1.
In letteratura sono riportati 21 casi pleurici 2 3 e 5 peritoneali 1 2 4, di cui 22 maschi; l’età è fra 43 e 74 anni e l’esposizione all’amianto è presente in poco meno della metà dei casi. Nel caso qui presentato abbiamo una verosimile esposizione ambientale non lavorativa, correlata al decesso del marito per mesotelioma e ai chiari segni toracoscopici di asbestosi. Un caso in letteratura è stato correlato a radioterapia per linfoma 3; la prognosi è infausta senza differenze di sopravvivenza media rispetto i mesoteliomi epitelioidei: 15 mesi 2. La diagnosi differenziale anatomo-patologica è prevalentemente di tipo immunoistochimico (positività per la calretinina, per il wt-1 e per la mesotelina; negatività per marcatori di neoplasie con caratteri istologici di differenziazione in senso mucinoso e con elementi ad anello con castone, in particolare quelle a carico del polmone e del tratto gastro-entero-bilio-pancreatico), e deve essere associata all’esclusione clinica di carcinoma in altra sede 2.
L’aspetto macroscopico toracoscopico di questo caso è di tipo nodulare 5-7 ed è il primo descritto in letteratura sul mesotelioma “signet-ring cell”.
Data la mancanza di altri report con foto toracoscopiche di mesotelioma epitelioide con aspetti a cellule ad anello con castone riteniamo possa essere interessante la pubblicazione di queste immagini.
Figure e tabelle
Figura 1.Rx torace: versamento pleurico dx senza spostamento del mediastino
Figura 2.TC torace: pnx iatrogeno e modesto versamento pleurico dx; nodulazioni a carico della pleura parietale dx.
Figura 3.Esame istologico: A) infiltrazione della pleura da elementi epiteliali marcatamente atipici, ad elevato rapporto nucleo-citoplasmatico, alcuni con voluminoso vacuolo endocitoplasmatico che comprime il nucleo (anello con castone), a pattern di crescita in nidi (EE, 100 X) e B) immunoreattività citoplasmatica e nucleare per calretinina (200 X).
Toracoscopia dx:A e B pleura parietale ispessita con noduli rotondi e oblunghi di varie dimensioni; perdita del normale disegno; C placche biancastre asbestosiche.
Riferimenti bibliografici
- Cook DS, Attanoos RL, Jalloh SS. “Mucinpositive” epithelial mesothelioma of the peritoneum: an unusual diagnostic pitfall. Histopathology. 2000; 37:33-6.
- Ordonez NG. Mesothelioma with signet-ring cell features: report of 23 cases. Modern Pathology. 2013; 26:370-84.
- Chirieac LR, Barletta JA, Yeap BY. Clinicopathologic characteristics of malignant mesotheliomas arising in patients with a history of radiation for Hodgkin and non-Hodgkin lymphoma. J Clin Oncol. 2013; 31:4544-9.
- Rekhi B, Pathuthara S, Ajit D. “Signet-ring” cells - a caveat in the diagnosis of a diffuse peritoneal mesothelioma occurring in a lady presenting with recurrent ascites: an unusual case report. Diagn Cytopathol. 2010; 38:435-9.
- Boutin C, Rey F. Thoracoscopy in pleural malignant mesothelioma: a prospective study of 188 consecutive patients. Part 1: Diagnosis. Cancer. 1993; 72:389-93.
- Pinelli V, Marchetti GP, Pierucci P, Tassi GF. La toracoscopia medica nel mesotelioma maligno della pleura. Rass Patol App Respir. 2009; 24:23-31.
- Canessa PA, Sivori M, Bancalari L. Mesotelioma epitelioide. Rass Patol App Respir. 2010; 25:379-80.
Affiliazioni
Licenza

Questo lavoro è fornito con la licenza Creative Commons Attribuzione - Non commerciale - Non opere derivate 4.0 Internazionale.
Copyright
© Associazione Italiana Pneumologi Ospedalieri – Italian Thoracic Society (AIPO – ITS) , 2015
Come citare
- Abstract visualizzazioni - 1165 volte
- PDF downloaded - 411 volte
