Valsalva prolungato. Un caso di pneumomediastino spontaneo (Hamman’s syndrome)
Abstract
Uomo di 23 anni giunto in Pronto Soccorso (PS) con vomito, faringodinia e febbre. Eseguita in PS radiografia standard (Rx) e successivamente tomografia computerizzata (TC) del torace, con riscontro di aria libera mediastinica. La somministrazione di mezzo di contrasto iodato per via orale durante TC del torace ha permesso di escludere perforazione esofagea; la fibrobroncoscopia successivamente eseguita ha escluso la presenza di soluzioni di continuità delle pareti di trachea e grossi bronchi. Infine, avendo escluso le cause più frequenti di aria libera in sede mediastinica, è stato possibile porre diagnosi di pneumomediastino spontaneo. Dopo trattamento conservativo il controllo radiologico ha documentato progressiva e completa risoluzione del quadro.
Introduzione
Lo pneumomediastino spontaneo, anche conosciuto come sindrome di Hamman-Macklin, è una rara condizione clinica caratterizzata dalla presenza di aria libera nel mediastino non correlata a traumi o a procedure invasive (chirurgiche e non chirurgiche) 1. Tale sindrome è estremamente rara con un’incidenza di circa un caso ogni 30-40.000 pazienti che si rivolgono a un dipartimento di emergenza 2.
Lo pneumomediastino spontaneo è estremamente raro (un caso ogni 30-40.000 pazienti che si rivolgono a un dipartimento di emergenza).
Riportiamo qui un caso di pneumomediastino spontaneo comparso in seguito a ripetuti episodi di vomito in corso di enterite in un giovane paziente tossicodipendente.
Caso clinico
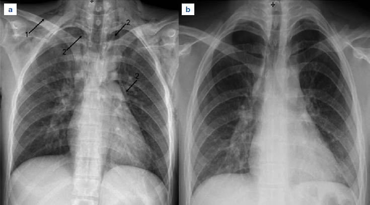
Uomo caucasico di 23 anni, fumatore da 10 anni di circa 20 sigarette al giorno, tossicodipendente dall’età di 16 anni (ultima assunzione di eroina 48 ore prima) e in terapia con metadone, si presentò presso il Pronto Soccorso (PS) del nostro ospedale per la comparsa di vomito alimentare ripetuto, associato a faringodinia, astenia e febbre, in assenza di dolore toracico e tosse. Da segnalare in passato, trauma cranio-facciale 4 anni prima e un non meglio identificato intervento chirurgico nell’infanzia per possibile stenosi pilorica. All’esame fisico il paziente risultò emodinamicamente stabile con parametri vitali nella norma, nulla a carico dell’apparato respiratorio. Gli esami ematochimici evidenziarono leucocitosi neutrofila (14,74 x 103/ml, valori normali 2,00-7,50) e incremento della proteina C reattiva (1,3 mg/dl, valori normali < 0,50 mg/dl). La radiografia standard (Rx) del torace, riscontrò enfisema sottocutaneo a livello dei tessuti molli cervico-toracici e aria libera in sede mediastinica (Figura 1a). A quel punto, dopo valutazione del chirurgo generale e dello pneumologo, si concordò con il medico del PS approfondimento diagnostico: a) la tomografia computerizzata (TC) del torace con mezzo di contrasto idrosolubile per via orale, eseguita immediatamente, ha confermato lo pneumomediastino ed esclusa una perforazione esofagea (Figura 2); b) la fibrobroncoscopia (FBS), eseguita in seconda giornata dopo il ricovero in degenza ordinaria in pneumologia, ha escluso lesioni tracheobronchiali.
Il paziente fu posto in riposo assoluto e trattato con levofloxacina (500 mg 1 compressa al giorno), probiotici e inibitori della pompa protonica (pantoprazolo 40 mg, 1 compressa al giorno); la FBS documentò un quadro endoscopico nella norma e consentì il prelievo di campioni di lavaggio bronchiale per citologia e per esami colturali di germi comuni, miceti e micobatteri, risultati poi tutti nella norma. In terza giornata, l’rx torace evidenziò la riduzione sia dell’enfisema sottocutaneo sia dello pneumomediastino; il paziente fu dimesso in pieno benessere in quinta giornata. L’ultimo controllo radiografico, effettuato dopo undici giorni dall’esordio (Figura 1b), mostrò completa risoluzione di enfisema e pneumomediastino.
Discussione
Lo pneumomediastino spontaneo si manifesta solitamente in giovani uomini, con anamnesi positiva per asma, fumo, recente inalazione di meta-anfetamine, marijuana, cocaina. Può essere associato con azioni che determinano una manovra di Valsalva, quali tosse, starnuti, defecazione, parto, vomito o uso di uno strumento a fiato. Altre cause di pneumomediastino possono comprendere il barotrauma in paziente asmatico o con broncopneumopatia cronica ostruttiva (BPCO), lesioni iatrogene secondarie a procedure endoscopiche o chirurgiche, infezioni polmonari da organismi anaerobi 3. Il primo caso di pneumomediastino spontaneo è stato documentato nel 1939 da Hamman e in seguito è stato indicato come sindrome di Hamman 1. Il processo fisiopatologico, invece, è stato descritto per la prima volta da Maklin nel 1944: alla base vi è una rottura degli alveoli conseguente a un incremento della pressione intra-alveolare secondaria alle diverse cause scatenanti. In seguito a tale rottura, l’aria penetra nell’interstizio determinando dapprima enfisema interstiziale e successivamente, infiltrandosi tra le guaine perivasali e i piani peribronchiali, giunge fino all’ilo polmonare determinando pneumomediastino; dall’ilo l’aria può poi infiltrasi: a) nella pleura parietale mediastinica provocando pneumotorace (con percorso inverso rispetto all’usuale); b) verso l’alto determinando enfisema sottocutaneo nella zona sopraclavicolare, ascellare e cervicale; c) verso il basso determinando retropneumoperitoneo 4.
La base fisiopatologica è una rottura degli alveoli da incremento della pressione intra-alveolare con enfisema interstiziale che può evolvere fino allo pneumomediastino.
Nel caso qui riportato, lo pneumomediastino si è sviluppato, presumibilmente, in seguito ai ripetuti episodi di vomito che hanno determinato una prolungata manovra di Valsalva e ciò, unitamente all’importante storia di fumo e di assunzione di sostanze illecite, ha causato l’instaurarsi della sindrome.
Il quadro clinico è solitamente caratterizzato da dolore toracico e/o al collo, che può essere associato a dispnea, disfagia, disfonia, odinofagia, tosse ed enfisema sottocutaneo 5, in genere secondari alla dissecazione dei tessuti peribronchiali e del collo per infiltrazione di aria. I parametri vitali sono in genere nella norma, come nel caso descritto.
La TC del torace è il gold standard per la diagnosi di pneumomediastino.
La radiografia del torace è di norma la prima indagine effettuata nel sospetto di una patologia respiratoria; tuttavia, nel caso di pneumomediastino, la sua sensibilità dipende dall’estensione del quadro ed è solitamente utilizzata per il “follow up”. La TC del torace, invece, è considerata il gold standard per la diagnosi di pneumomediastino 6. La gastroscopia, la gastrografia e la broncoscopia sono in genere raccomandate in seconda istanza, per indagare le cause di pneumomediastino 7. La diagnosi differenziale va fatta con tutte quelle condizioni che possono determinare dolore toracico, dispnea e tosse. Una volta identificato lo pneumomediastino come causa della sintomatologia, è opportuno, comunque, escludere prima le cause che pongono in immediato pericolo di vita il paziente, quali le lesioni traumatiche dell’albero tracheobronchiale o le rotture dell’esofago (sindrome di Boerhaave) 4. Nel caso presentato la perforazione esofagea è stata esclusa somministrando un mezzo di contrasto iodato per os in corso di TC del torace, mentre eventuali lacerazioni tracheobronchiali eseguendo una FBS.
Il trattamento del pneumomedistino spontaneo è controverso, la maggior parte dei casi segnalati, si è risolto con approccio conservativo con analgesia, riposo assoluto e ossigenoterapia.
Il trattamento del pneumomedistino spontaneo è controverso, ma la maggior parte dei casi segnalati si è risolta con approccio conservativo con analgesia, riposo assoluto e ossigenoterapia (specie nelle fasi iniziali) 7.
Nel caso descritto, nell’ipotesi di mediastinite infettiva in fase precoce, è stata iniziata terapia antibiotica a largo spettro di azione; infatti tra le rare cause di pneumomediastino vi è la mediastinite necrotizzante che presenta caratteristiche tomografiche peculiari e che merita trattamento chirurgico in fase precoce anche con video toracoscopia (VATS) 8.
Lo pneumomediastino spontaneo ha in genere un decorso benigno, autolimitante e raramente recidiva; talora però si può presentare con gravi e severe complicanze quali ipertensione arteriosa, pneumotorace bilaterale, quadro di tamponamento cardiaco; in tali situazioni è necessario eseguire una toracoscopia in fase precoce per decomprimere il polmone, posizionare un drenaggio pleurico ed eventualmente effettuare pleurodesi chimica.
Lo pneumomediastino spontaneo ha in genere un decorso benigno, autolimitante e raramente recidiva.
Queste manovre invasive possono essere eseguite anche in elezione quando non si ottiene con la terapia conservativa risoluzione del quadro 9.
Nel caso presentato, il paziente non aveva sintomi caratteristici della sindrome e pertanto, in accordo con i dati riportati in letteratura, si è osservata l’evoluzione del quadro con Rx del torace seriate 7.
In conclusione, lo pneumomediastino spontaneo è una possibilità da considerare nei soggetti giovani con dolore toracico retrosternale e/o al collo non altrimenti spiegabile, specie quando viene riferito associato ad una qualche azione che possa aver determinato una intensa e/o prolungata manovra di Valsalva; infine va segnalato che la malattia mostra una certa prevalenza nel genere maschile ed una crescente incidenza nei tossicodipendenti 10.
Figure e tabelle
Figura 1.a) Radiografia del torace eseguita in Pronto Soccorso dove si evidenzia la presenza di aria libera in sede mediastinica (freccia 2) e presenza di enfisema sottocutaneo (freccia 1). b) Radiografia del torace in XI giornata che evidenzia completa risoluzione del quadro.
Figura 2.Tomografia computerizzata del torace che evidenzia in proiezione coronale e sagittale la presenza di aria in sede mediastinica (freccia 1).
Riferimenti bibliografici
- Iyer VN, Joshi AY, Ryu JH. Spontaneous pneumomediastinum: analysis of 62 consecutive adult patients. Mayo Clin Proc. 2009; 84:417-21.
- Newcomb AE, Clarke CP. Spontaneous pneumomediastinum: a benign curiosity or a significant problem?. Chest. 2005; 128:3298-302.
- Badaoui R, El Kettani C, Fikri M. Spontaneous cervical and mediastinal air emphysema after ecstasy abuse. Anesth Analg. 2002; 95:1123.
- Hamman L. Spontaneus pneumomediastinal enphysema. Bull Johns Hopkins Hospital. 1939; 64:1-21.
- Macklin M, Macklin CL. Malignat interstizial emphysema of the lungs and mediastinum as an important occult complication in many respiratory disease and other conditions. Medicine. 1944; 23:281.
- Ho AS, Ahmed A, Huang JS. Multidetector computed tomography of spontaneous versus secondary pneumomediastinum in 89 patients: can multidetector computed tomography be used to reliably distinguish between the 2 entities?. J Thorac Imaging. 2012; 27:85-92.
- Kelly S, Hughes H, Nixon S. Spontaneous pneumomediastinum (Hamman’s Syndrome). The Surgeon. 2010; 8:63-6.
- Alves GR, De Andrade Silva RV, Correa JR. Spontaneus pneumomediastinum (Hamman’s Syndrome). J Bras Pneumol. 2012; 38:404-7.
- Tytherleigh MG, Connolly AA, Handa JL. Spontaneus pneumomediastinum. J Accid Emerg Med. 1997; 14:333-4.
- Flatman S, Morrison E, Elahi M. Spontaneous Pneumomediastinum Associated with Sex. Radiology Case. 2010; 4:25-9.
Affiliazioni
Licenza

Questo lavoro è fornito con la licenza Creative Commons Attribuzione - Non commerciale - Non opere derivate 4.0 Internazionale.
Copyright
© Associazione Italiana Pneumologi Ospedalieri – Italian Thoracic Society (AIPO – ITS) , 2014
Come citare
- Abstract visualizzazioni - 1192 volte
- PDF downloaded - 3027 volte
