Un’incredibile “palladiana”
Storia clinica
Uomo di 44 anni, fumatore (20 pacchi anno) senza esposizioni ambientali o lavorative. Ex eroinomane con epatite B. Diabete insulino-dipendente. Dispnea da sforzo da alcuni mesi con tosse produttiva. L’RX del torace evidenzia addensamenti parenchimali bilaterali, maggiori a sinistra, stabili al controllo RX dopo terapia medica (“non-resolving pneumonia”). Viene eseguita una HRCT.
Tips
- Il lobo inferiore sinistro appare lievemente ridotto di volume (confronta con il lobo controlaterale) da fibrosi interstiziale diffusa sotto forma di reticolazione irregolare con distorsione della normale architettura parenchimale, segni di interfaccia subpleurico, fenomeni di trazione sulla scissura che appare distorta. Coesistono piccole “cisti” a verosimile natura mista (enfisema, honeycombing e bronchiolectasie da trazione).
- Il crazy-paving è un segno presente in molte malattie. È possibile tuttavia restringere il ventaglio di ipotesi diagnostiche suddividendole in base al quadro clinico del paziente (acuto o cronico). Le forme croniche, come nel caso del nostro paziente, comprendono: proteinosi alveolare, polmonite lipoidea esogena, adenocarcinoma diffuso mucinoso, polmonite interstiziale non-specifica (NSIP), emorragie alveolari croniche, polmonite in organizzazione (OP), polmonite eosinofila cronica, inalazione di droghe, sarcoidosi ad aspetto atipico.
Diagnosi radiologica
La presenza di un “crazy-paving” cronico con associati segni di fibrosi parenchimale, deve far restringere l’ampio ventaglio di ipotesi diagnostiche ad una pneumopatia con componente fibrosante ed in particolare una polmonite lipoidea esogena o una NSIP.
Ulteriori indagini e decorso clinico
Test di funzionalità respiratoria (restrittivo) e emogasanalisi (lieve ipossiemia) aspecifici. Si eseguono quindi una broncoscopia ed una biopsia transbronchiale (vedi immagini sottostanti). Solo dopo una seconda insistente anamnesi, il paziente svela l’utilizzo protratto nel tempo di oli lubrificanti nasali, impiegati per attenuare i sintomi indotti dall’utilizzo di cocaina. Diagnosi finale: polmonite lipoidea esogena.
MEMORANDUM
- Il “Crazy paving” è così definito perché ricorda l’aspetto di un lastricato a mosaico o la palladiana. In HRCT si caratterizza per l’associazione di opacità a vetro smerigliato con sovrapposto ispessimento liscio dei setti inter e intralobulari.
- Patogenesi: materiale diverso (flogistico, proteinaceo, neoplastico ecc.) che riempie parzialmente gli alveoli giustifica la presenza del vetro smerigliato. L’aspetto reticolare sovrapposto è secondario ad ispessimento dei setti interlobulari, intralobulari o a deposizione lineare lungo le pareti esterne degli spazi aerei adiacenti ai setti interlobulari.
- La Polmonite lipoidea esogena è una patologia flogistica associata all’accumulo di grasso negli alveoli, spesso causata dall’inalazione o aspirazione di sostanze oleose animali, vegetali o minerali. I pazienti a rischio sono soprattutto quelli con disfunzione della deglutizione ed in particolare quelli che utilizzano ripetutamente tali sostanze per combattere la secchezza delle mucose (oli di lubrificazione delle cannule endotracheali e del sondino naso-gastrico, spray nasali in pazienti cocainomani); sono a rischio anche pazienti con stipsi cronica con utilizzo protratto di lassativi. In TC, la polmonite lipoidea esogena può presentarsi anche sotto forma di noduli/masse tumor-like broncocentrici, spesso in sede basale–posteriore, a densità in parte adiposa.
- La cocaina inalata, assunta cronicamente induce una atrofia mucosa e piccole ferite con formazione di croste. Per tali motivi i cocainomani utilizzano spray nasali lubrificanti contenenti oli di vaselina facilmente reperibili senza prescrizione medica. La cocaina, sempre più spesso, viene anche fumata (“crack”), potendo indurre alterazioni polmonari sia acute sia croniche per le quali si rimanda al bellissimo review article pubblicato da Restrepo su Radiographics.
Figure e tabelle
(A) Pneumopatia diffusa bilaterale con pattern alveolare sotto forma di vetro smerigliato (ground-glass) a chiazze; nel contesto di tali aree, coesistono multiple areole cistiche. La scissura sinistra è ad aspetto festonato. Nel lobo inferiore sinistro (B), si evidenziano diffusi aspetti tipo “crazy-paving” (vetro smerigliato con sovrapposto ispessimento reticolare) e minimi fenomeni addensativi nelle porzioni declivi del polmone.
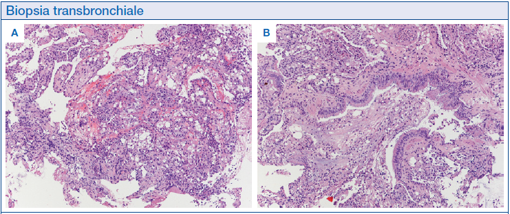
H&E, 100x e 200x (A) Parenchima polmonare con infiltrato interstiziale cronico comprendente macrofagi con citoplasma micro e macrovacuolato per la presenza di gocce lipidiche. I setti aleolari ne risulano ispessiti, con iperplasia dei pneumociti di II tipo. (B) Al centro, un bronchiolo contente essudato. Il parenchima circostante mostra le caratteristiche precedentemente descritte.Cortesia di: Alessandra Cancellieri - Rocco Trisolini – Marco Patelli, Bologna
Riferimenti bibliografici
- De Wever W. The crazy-paving pattern: a radiological-pathological correlation. Insights Imaging. 2011; 2:117.
- Maffessanti & Dalpiaz. Pneumopatie infiltrative diffuse. Clinica, anatomia patologica, HRCT. Springer; 2006.
- Laurent F. Exogenous lipoid pneumonia: HRCT, MR, and pathologic findings. Eur Radiol. 1999; 9:1190.
- Restrepo C. Pulmonary complications from cocaine and cocaine-based substances: Imaging manifestations. Radiographics. 2007; 27:941.
Affiliazioni
Licenza

Questo lavoro è fornito con la licenza Creative Commons Attribuzione - Non commerciale - Non opere derivate 4.0 Internazionale.
Copyright
© Associazione Italiana Pneumologi Ospedalieri – Italian Thoracic Society (AIPO – ITS) , 2014
Come citare
- Abstract visualizzazioni - 86 volte
- PDF downloaded - 3665 volte
