Insufficienza respiratoria acuta da “pizza di scarole”
Abstract
Le polmoniti post-ostruttive da aspirazione di corpo estraneo consistono in processi broncopneumonici secondari a stenosi bronchiale da materiale estraneo; possono essere silenti o manifestarsi con grave sintomatologia. Il nostro report presenta un caso di insufficienza respiratoria acuta su cronica globale secondaria a polmonite ostruttiva da corpo estraneo in un paziente affetto da broncopneumopatia cronica ostruttiva e sindrome delle apnee ostruttive del sonno in terapia domiciliare con ossigeno a lungo termine e ventilazione meccanica non invasiva. Il corpo estraneo, incuneatosi nel bronco lobare inferiore destro, ha determinato il peggioramento dell’ipossia e dell’ipercapnia, nonché la comparsa di addensamenti polmonari a valle: si trattava di un’oliva inalata inavvertitamente dal paziente!
Introduzione
Le aspirazioni di corpo estraneo in età adulta rappresentano una problematica spesso sottovalutata e non così infrequente nei pazienti anziani o con alterato stato mentale, disfagia secondaria a patologie neuromuscolari, disordini esofagei strutturali (ad esempio diverticolo di Zenker, tumori della testa e del collo, ecc.) o funzionali (esofagiti erosive, acalasia, malattie reumatologiche, ecc.), ma anche nei pazienti affetti da disordini respiratori cronici quali Broncopneumopatia Cronica Ostruttiva (BPCO) o Sindrome delle Apnee Ostruttive del Sonno (OSAS) di grado severo.
Spesso il disordine della deglutizione viene diagnosticato solo dopo l’insorgenza di condizioni cliniche correlate al manifestarsi di infezioni polmonari ricorrenti o polmoniti ostruttive.
Caso clinico e iter diagnostico
Giungeva alla nostra osservazione M.A., uomo di 66 anni, ex-fumatore (80 pack-years), affetto da insufficienza respiratoria cronica globale secondaria a Overlap Syndrome (BPCO-OSAS) e relaxatio diaframmatica trattata chirurgicamente, in terapia domiciliare con Ventilazione Meccanica non invasiva (NIV) e ossigenoterapia a lungo termine. L’anamnesi patologica remota evidenziava inoltre ipertensione arteriosa sistemica e ridotta tolleranza al glucosio (IGT) di recente riscontro.
Da circa un mese, in seguito ad un episodio di riacutizzazione infettiva di BPCO trattato a domicilio, il paziente era ormai dipendente dalla NIV che effettuava tramite circuito monotubo con maschera oronasale, distaccandosene esclusivamente durante il pasto e per pochi minuti. Tuttavia, la moglie riferiva dispnea ingravescente da alcuni giorni non responsiva ad un primo ciclo di terapia antibiotica e corticosteroidea di circa sette giorni prescritta al domicilio dal Medico di Medicina Generale (MMG) e, a differenza di quanto accadeva in precedenza quotidianamente, il paziente trovava scarso beneficio anche con l’applicazione della NIV. Si presentava pertanto alla nostra attenzione manifestando tachipnea, tachicardia e la pressione arteriosa era 180/100 mmHg; l’esame obiettivo toracico evidenziava ronchi diffusi bilateralmente e rantoli a piccole bolle in campo inferiore destro. L’Emogasanalisi Arteriosa (EGA) mostrava una condizione di Insufficienza Respiratoria Acuta su Cronica (IRA su IRC) globale associata ad acidosi respiratoria (PaO2 59 mmHg; PaCO2 87 mmHg; pH 7,24; HCO3-(c) 37,3 mmol/L). La radiografia del torace praticata a letto evidenziava un’ipodiafania basale destra compatibile con processo broncopneumonico, non presente all’ultima radiografia effettuata dal paziente circa un mese prima e portata in visione. In considerazione del quadro clinico, radiologico ed ematochimico (incremento degli indici di flogosi con proteina C reattiva pari a 10,4 mg/dL, e della conta leucocitaria rappresentata da 23,33.103 leucociti/uL, con il 78,1% di neutrofili), si iniziava terapia antibiotica endovena ad ampio spettro e corticosteroidea, e si poneva il paziente in NIV mediante utilizzo di circuito con doppio tubo, supplemento di ossigeno, e nutrizione parenterale. Nei giorni successivi gli esami ematochimici risultavano lievemente migliorati ed anche il quadro emogasanalitico mostrava un discreto miglioramento dell’ipossiemia e dell’ipercapnia, ma il paziente continuava ad essere notevolmente dispnoico e tachipnoico e si opponeva a qualsiasi tentativo di svezzamento dalla NIV nonché di mobilizzazione, al punto da ascrivere parte del suo comportamento all’insorgenza di una sindrome ansioso-depressiva.
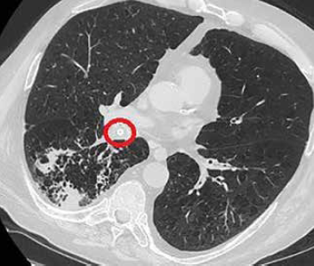
Si sottoponeva intanto ad una TC del torace senza mdc che mostrava enfisema polmonare diffuso bilateralmente, confermava la presenza di multiple consolidazioni polmonari a carico del LID ed evidenziava stenosi del bronco lobare inferiore di destra da parte di materiale iperdenso (Figura 1).
Si procedeva pertanto a valutazione endoscopica per eventuale broncoscopia ispettiva/disostruttiva, ma il paziente ed i familiari, seppur resi edotti circa l’importanza di tale esame, rifiutavano la procedura.
Il giorno seguente, durante alcuni tentativi di mobilizzazione allo scopo di evitare piaghe da decubito, il paziente veniva posizionato in decubito laterale sinistro e, a seguito di accessi tussigeni parossistici, espelleva un’oliva (Figura 2) che era evidentemente coincidente con l’immagine iperdensa presente alla TC a livello endobronchiale.
Al controllo radiologico tramite TC del torace senza mdc eseguito dopo alcuni giorni, si rilevava la ricanalizzazione bronchiale oltre al miglioramento del processo broncopneumonico (Figura 3).
Il paziente era meno dispnoico e l’EGA risultava notevolmente migliorato anche con ventilazione mediante circuito monotubo con perdite intenzionali (Figura 4). Avendo compreso quanto accaduto, il paziente ci riferiva di aver mangiato nei giorni precedenti il Natale una pizza di scarole condita con olive non denocciolate ed era andato incontro ad un verosimile episodio di inalazione di corpo estraneo.
Nei giorni successivi, con l’aiuto dei fisioterapisti, veniva posto in decubito semi-ortopnoico e accettava un primo svezzamento dalla NIV continuativa tramite l’applicazione di una Mouthpiece Ventilation (MPV) (Figura 5) che gli ha permesso di ricominciare gradualmente ad alimentarsi.
Discussione
Le aspirazioni di corpo estraneo sono maggiormente frequenti in età pediatrica. Negli adulti si osservano più spesso in pazienti con alterato stato mentale, disfagia generalmente secondaria a patologie neurologiche e neuromuscolari, disordini esofagei strutturali o funzionali, patologie gastrointestinali 1 2.
Adnet e Baud hanno dimostrato che il rischio di aspirazione aumenta proporzionalmente al grado di incoscienza misurato con la Glasgow coma scale 3.
Il meccanismo della deglutizione dipende anche dall’anatomia del torace. Si osserva frequentemente disfagia in pazienti con torace iperinflato da BPCO. Mokhlesi et al. hanno dimostrato che i pazienti affetti da BPCO possono presentare, rispetto ai controlli, dei difetti nell’elevazione del laringe durante la deglutizione 4.
Inoltre, diversi studi hanno evidenziato l’esistenza di un’associazione tra OSAS e disturbi della deglutizione: l’OSAS severo può compromettere la transizione dalla fase inspiratoria a quella espiratoria durante la deglutizione con conseguente predisposizione alle aspirazioni. Il meccanismo sottostante può parzialmente essere correlato anche alle alterazioni indotte dai disturbi respiratori del sonno a livello recettoriale e/o delle fibre afferenti al centro del respiro e della deglutizione 5.
Le alterazioni della sensibilità delle alte vie aeree nei pazienti affetti da OSAS possono determinare il collasso delle vie aeree durante il sonno e influenzare la sensibilità faringea compromettendo il riflesso della deglutizione 6.
I corpi estranei possono essere suddivisi in endogeni (pezzi di tessuto non rimosso dopo intervento chirurgico o asportazione endoscopica, denti, ecc.) o esogeni, a loro volta distinti in organici, se hanno origine animale/vegetale, e inorganici.
Le manifestazioni cliniche di aspirazione di corpo estraneo possono variare dall’assenza completa di sintomi sino ad un severo distress respiratorio con insorgenza acuta di asfissia. Generalmente i sintomi più frequenti nell’adulto sono tosse (81% dei casi), emottisi, wheezing e dispnea 1 2; talvolta può accadere di attribuire i sintomi correlati all’aspirazione ad altre patologie come l’asma bronchiale 7. Si calcola che circa l’80% dei corpi estranei aspirati non risulti visibile alla radiografia del torace; in questi casi la TC del torace può essere dirimente con il riscontro di immagini endobronchiali ad alta densità associate ad atelettasie, consolidazioni lobari e/o versamento pleurico 8. Il bronco lobare inferiore destro è il sito maggiormente interessato dalle aspirazioni di corpo estraneo verosimilmente per l’anatomia del bronco principale destro che risulta essere più rettilineo ed avere fisiologicamente diametro maggiore rispetto al controlaterale.
In seguito all’episodio di aspirazione, se il paziente presenta sintomi di infiammazione in atto come febbre, tachicardia, tachipnea, leucocitosi o sintomi/segni respiratori come tosse, espettorato, ipossiemia, associati alla presenza di opacità polmonari alla radiografia del torace, è possibile porre con elevata probabilità la diagnosi di “polmonite post-ostruttiva da aspirazione di corpo estraneo”; in assenza di adeguati elementi anamnestici può invece risultare difficile differenziarla da una polmonite batterica 9. Il quadro polmonare di questi pazienti può talvolta evolvere verso una Sindrome da Distress Respiratorio Acuto (ARDS) che è refrattaria all’ossigenoterapia e necessita di ventilazione assistita. Ad ogni modo, se il quadro ostruttivo non si risolve rapidamente, l’ostruzione a carico delle vie aeree determina un incremento del carico resistivo imposto ai muscoli inspiratori che diventano incapaci di continuare a generare una pressione pleurica adeguata nonostante un appropriato drive respiratorio e una parete toracica intatta. L’incremento del work of breathing è responsabile dello sviluppo di ipoventilazione alveolare e conseguentemente dell’ipercapnia 10.
Per la conferma diagnostica nonché l’estrazione del corpo estraneo si utilizza la broncoscopia flessibile o rigida tramite l’utilizzo di apposite pinze 7: in età pediatrica è fortemente raccomandato l’utilizzo della strumentazione rigida; nell’adulto non esistono indicazioni precise, ma in molti casi, e soprattutto dinanzi ad un team di endoscopisti ed anestesisti esperti, il primo approccio è rappresentato dalla broncoscopia flessibile 11; la broncoscopia rigida rimane la metodica di elezione nel caso di complicanze quali l’asfissia o di instabilità del paziente, in quanto offre un maggiore controllo sulle vie aeree e rende più semplici le manovre di aspirazione e rimozione, consentendo inoltre di fronteggiare eventuali complicanze emorragiche 7. Ad ogni modo, in caso di necessità, bisognerebbe sempre avere la possibilità di convertire la broncoscopia da flessibile a rigida.
In questi pazienti, come nel caso riportato, la tosse potrebbe determinare una rimozione spontanea del corpo estraneo; tuttavia la dislocazione è un evento molto frequente e, in caso di interessamento di grosse vie aeree, la migrazione del corpo estraneo può determinare asfissia, rappresentando pertanto un evento potenzialmente fatale se non prontamente gestito.
Conclusioni
Abbiamo presentato questo caso di polmonite post-ostruttiva da aspirazione di corpo estraneo perché rappresenta l’esempio di una condizione spesso sottovalutata ed erroneamente confusa con una polmonite infettiva, che può evolvere in ARDS e risultare fatale per il paziente.
Pertanto, dinanzi all’insorgenza di insufficienza respiratoria acuta, incremento degli indici di flogosi, tosse e dispnea anche in paziente apparentemente senza fattori di rischio di disfunzioni della deglutizione, occorre prendere in considerazione, nell’ambito della diagnosi differenziale, anche la possibilità di un’aspirazione di corpo estraneo.
Figures and tables
Figura 1.La TC del torace senza mdc mostrava multiple consolidazioni polmonari a carico del LID ed evidenziava stenosi del bronco lobare inferiore di destra da parte di materiale iperdenso.
Figura 2.Oliva espulsa dal paziente a seguito di accessi tussigeni parossistici, che era evidentemente coincidente con l’immagine iperdensa presente alla TC a livello endobronchiale.
Figura 3.Al controllo TC si rilevava la ricanalizzazione bronchiale oltre al miglioramento del processo broncopneumonico.
Figura 4.Il paziente risultava notevolmente migliorato anche con ventilazione meccanica non invasiva mediante circuito monotubo con perdite intenzionali.
Figura 5.Il paziente accettava primo svezzamento dalla NIV continuativa tramite l’applicazione di una Mouthpiece Ventilation (MPV) che gli ha permesso di ricominciare gradualmente ad alimentarsi.
Riferimenti bibliografici
- Limper AH, Prakash UB. Tracheobronchial foreign bodies in adults. Ann Intern Med. 1990; 112:604-9.
- Chen CH, Lai CL, Tsai TT. Foreign body aspiration into the lower airway in Chinese adults. Chest. 1997; 112:129-33.
- Adnet F, Baud F. Relation between Glasgow coma scale and aspiration pneumonia. Lancet. 1996; 348:123-4.
- Mokhlesi B, Logemann JA, Rademaker AW. Oropharyngeal deglutition in stable COPD. Chest. 2002; 121:361-9.
- Teramoto S, Sudo E, Matsuse T. Impaired swallowing reflex in patients with obstructive sleep apnea syndrome. Chest. 1999; 116:17-21.
- Schindler A, Mozzanica F, Sonzini G. Oropharyngeal dysphagia in patients with obstructive sleep apnea syndrome. Dysphagia. 2014; 29:44-51.
- Rafanan AL, Mehta AC. Adult airway foreign body removal. What’s new?. Clin Chest Med. 2001; 22:319.
- Zissin R, Shapir-Feinber M, Rozenman J. CT findings of the chest in adults with aspirated foreign bodies. Eur Radiol. 2001; 11:606-11.
- Mandell LA, Niederman MS. Aspiration pneumonia. N Engl J Med. 2019; 380:651-63.
- Roussos C, Koutsoukou A. Respiratory failure. Eur Respir J Suppl. 2003; 22:3s-14s.
- Sehgal IS, Dhooria S, Ram B. Foreign body inhalation in the adult population: experience of 25.998 bronchoscopies and systematic review of the literature. Respir Care. 2015; 60:1438-48.
Affiliazioni
Licenza

Questo lavoro è fornito con la licenza Creative Commons Attribuzione - Non commerciale - Non opere derivate 4.0 Internazionale.
Copyright
© Associazione Italiana Pneumologi Ospedalieri – Italian Thoracic Society (AIPO – ITS) , 2019
Come citare
- Abstract visualizzazioni - 548 volte
- PDF downloaded - 337 volte
