La gestione delle tossicità polmonari indotte dalla terapia target e dalla immunoterapia nel carcinoma polmonare: ruolo dello pneumologo
Abstract
Il tumore del polmone rappresenta la principale causa di morte per neoplasia nel mondo. Negli ultimi anni, la miglior conoscenza dei driver molecolari alla base dello sviluppo del tumore del polmone non a piccole cellule (NSCLC) ha portato allo sviluppo di specifici farmaci a bersaglio molecolare. Per pazienti senza mutazioni target, gli inibitori dell’immunocheckpoint hanno radicalmente cambiato il trattamento del NSCLC in stadio avanzato, migliorandone la sopravvivenza e la qualità di vita. Nonostante i benefici clinici e la buona tolleranza, soprattutto per l’immunoterapia, questi nuovi farmaci sono associati ad effetti avversi, comprese le polmoniti. L’incidenza di tossicità polmonare è bassa ma può essere tale da portare alla sospensione del farmaco o addirittura al decesso (35% dei decessi da tossicità-immunorelata con anti PD1- PDL1). I meccanismi alla base della tossicità non sono del tutto noti. La clinica e i pattern radiologici di interstiziopatia non sono specifici, per cui spesso la diagnosi è di esclusione. Il trattamento è basato sulla gravità: secondo il grado di tossicità, è opportuno sospendere il farmaco e trattare i pazienti con steroide; nei casi gravi refrattari, si può considerare l’uso di immunosoppressori, benché off label. L’utilizzo sempre più diffuso di terapie target e immunoterapia ha portato ad un incremento dei casi di tossicità, per cui diagnosi precoce e corretta gestione diventano indispensabili. Il ruolo dello pneumologo è cruciale per diagnosi e monitoraggio dei pazienti, tramite l’esecuzione di prove di funzionalità respiratoria, emogasanalisi, test del cammino. Una riduzione della DLCO può riflettere un danno dell’interstizio polmonare, così come la riduzione di FEV1 e FVC: una preesistente compromissione funzionale respiratoria aumenta il rischio di tossicità (interstiziopatie polmonari, BPCO). Riteniamo che una gestione multidisciplinare delle tossicità, con il coinvolgimento degli specialisti, sia necessario per migliorare la prognosi dei pazienti in terapia per tumore del polmone.
Introduzione
Il tumore del polmone rappresenta la principale causa di morte per tumore in Italia e nel mondo 1. Nel corso degli ultimi anni i progressi in campo terapeutico hanno consentito di migliorare l’outcome e la qualità di vita dei pazienti, per lo stadio avanzato o localmente avanzato non suscettibile di chirurgia. Le terapie dipendono da: stadio del tumore, istologia (squamosa vs non squamosa), analisi molecolare (presenza di alterazioni molecolari driver, espressione di PDL1), fattori dipendenti dal paziente (età, performance status, comorbilità) 2. Accanto alla chemioterapia tradizionale e alla radioterapia, la migliore conoscenza dei driver oncogenici ha portato alla scoperta di farmaci target, che rappresentano l’opzione terapeutica di prima linea per il 15-20% dei pazienti 2,3. Per la malattia non oncogene addicted, lo scenario terapeutico è stato invece rivoluzionato dall’introduzione dell’immunoterapia, farmaci che agiscono come inibitori degli immunocheckpoint, coinvolti nell’equilibrio tra sistemi co-stimolatori ed inibitori sulla fisiologica risposta T-cell mediata 2,3. Ad oggi, per il tumore polmonare, sono approvati dagli organi regolatori: nivolumab e pembrolizumab (anti PD1- programmed cell death); atezolizumab e durvalumab (anti PDL1- PD1 ligand), con diverse indicazioni in base all’espressione di PDL1 e allo stadio di malattia, in prima o seconda linea, da soli o in associazione alla radio/chemioterapia convenzionale.
Sebbene i nuovi farmaci siano meglio tollerati rispetto a quelli tradizionali (soprattutto gli immunoterapici), il loro sempre più diffuso impiego nella pratica clinica ci ha messo di fronte a nuovi scenari di tossicità, talvolta fatali, che trovano come bersaglio anche il polmone stesso e vedono sempre più coinvolto lo specialista pneumologo. Benché ad oggi non siano del tutto noti i meccanismi patogenetici coinvolti 4-6, le linee guida internazionali forniscono indicazioni per diagnosi, trattamento e follow up di questi pazienti, sottolineando l’importanza dell’approccio multidisciplinare nella gestione della tossicità 7-10.
Epidemiologia delle tossicità
Qualsiasi organo o apparato può essere colpito da tossicità in corso di terapie target o immunoterapia, con meccanismi d’azione, pattern e severità diversi che dipendono dal bersaglio interessato.
All’interno dei farmaci target (TKI), gli inibitori di EGFR (recettore del fattore di crescita epidermico) sono quelli che trovano maggior utilizzo e le tossicità colpiscono cute (mucose e annessi cutanei), colon, fegato, polmone, raramente il cuore, a causa dell’espressione del target sia da parte delle cellule tumorali che del tessuto sano, con rilascio di citochine infiammatorie 11. Anche gli immunoterapici, che agiscono promuovendo l’attività dei linfociti T, presentano un peculiare spettro di tossicità immuno-relate (irAEs); l’incidenza riportata per ogni grado di tossicità varia dal 15 al 90% 12 all’interno di studi e trial clinici: tossicità cutanea (30%), gastrointestinale (25%), neurologica (< 1%); endocrinopatie (20%), epatiti (< 10%), polmoniti (3-5%) e altri fenomeni infiammatori rari come le miocarditi (< 1%).
Le incidenze principali delle polmoniti da tossicità legate a terapie target (tutti i gradi di severità) sono: 0,7-2,5% (EGFR inibitori), fino al 4% per osimertinib 5; 1,2-2,6% (oncogeni ALK- ROS1, inibitori) 13, fino al 7% in corso di terapia con brigatinib 14, ma rappresentano la principale causa di morte legata al trattamento (quasi il 50% per EGFR TKIs) 5.
Nei trial clinici e nelle metanalisi, l’incidenza delle ICI-ILD (interstitial lung diseases) è circa 3-5%, ma negli studi di fase I e nella real life arriva al 7-13% 15. In una metanalisi 16, Nishino et al. hanno descritto un’incidenza del 2,7% per tutti i gradi di tossicità delle polmoniti e dello 0,8% per quelle di grado ≥ 3, nel gruppo di pazienti in monoterapia con anti PD1. L’incidenza era significativamente maggiore per le terapie di combinazione (nivolumab + ipilimumab), 6,6% per tutti i gradi, 1,5% per i gradi ≥ 3, senza differenze tra nivolumab e pembrolizumab. Un’analisi successiva 17 ha mostrato che le irAEs sono più frequenti con gli inibitori PD1 vs PDL1, soprattutto le polmoniti. L’incidenza delle polmoniti, inoltre, è significativamente maggiore nel NSCLC rispetto al melanoma 16. Benché l’incidenza delle ICI-ILD possa risultare non significativa rispetto alla tossicità su altri organi, esse risultano la principale causa di mortalità in corso di trattamento con anti PD1/antiPDL1 (35%) 18.
Drug-induced interstitial lung disease (DILD)
Le interstiziopatie polmonari indotte da farmaci rappresentano circa il 2,5-5% di tutte le interstiziopatie polmonari; i farmaci antitumorali sono i principali responsabili (es. bleomicina), seguiti da metotrexato, ciclofosfamide, amiodarone, nitrofurantoina 6. L’incidenza aumenta in caso di associazione tra più classi di farmaci a rischio tossicità. Per quanto riguarda il trattamento del tumore del polmone, alle note tossicità da gemcitabina, derivati del platino, taxani, si sono aggiunte quelle dei nuovi farmaci target e in particolare dell’immunoterapia 19.
L’eziologia non è del tutto nota, ma sembra coinvolgere lo stress chimico ossidativo, il danno cellulare diretto, quello immunomediato 6,19,20. Nelle ICI-ILD sono descritti un’aumentata attività dei linfociti T contro autoantigeni, alti livelli di citochine infiammatorie, autoanticorpi, infiammazione complemento mediata 4. Anche tra i farmaci target i meccanismi sono vari: EGFR ad esempio è espresso sugli pneumociti di tipo II ed è coinvolto nella riparazione della parete alveolare. Gli EGFR-TKIs, interrompendo questo meccanismo di riparazione, possono verosimilmente potenziare l’effetto del danno polmonare dovuto ad altre cause, come infezioni, pregressa radioterapia, farmaci 5,9.
Tra i fattori di rischio per DILD conosciuti in letteratura risultano infatti l’esposizione tabagica, patologie polmonari preesistenti (broncopneumopatia cronica ostruttiva - BPCO, interstiziopatia polmonare, infezioni), pregressa radioterapia 5,19,20, ovvero condizioni in grado di innescare il processo infiammatorio. Questo, secondo alcuni autori, spiegherebbe la maggiore incidenza di ICI-ILD in caso di immunoterapia nel NSCLC (rispetto ad esempio al melanoma) 16. Alcuni studi hanno analizzato le sottopopolazioni cellulari nel parenchima polmonare di pazienti con BPCO, trovando caratteristiche che potrebbero influenzare non solo la risposta all’immunoterapia ma anche il rischio di tossicità 21, per cui si rende necessario uno stretto monitoraggio. Anche il ruolo del thoracic tumour burden è stato analizzato come un fattore di rischio 16: le cellule immunitarie attivate, in alta concentrazione nel torace, possono potenziare il rischio di immunotossicità piuttosto delle metastasi extratoraciche.
Pazienti invece con patologie autoimmuni preesistenti, incluse le ILD, sono spesso esclusi dai trial clinici; dati recenti però, hanno sollevato la possibilità di un trattamento anche in questi gruppi di pazienti, previo stretto follow up 22,23.
Altri possibili fattori coinvolti, legati al paziente, restano da indagare, come fattori genetici, età, sesso, performance status 6: per quanto riguarda l’istologia, quella non squamosa, secondo alcuni autori, presenterebbe minor rischio di ICI-ILD 24.
Oltre alle monoterapie, dobbiamo far riferimento alle terapie di associazione, non solo alle varie linee terapeutiche sequenziali che un paziente può ricevere nella sua storia oncologica ma anche alle numerose combinazioni, in corso di studio o già approvate, che saranno sempre più diffuse in futuro. L’associazione tra immunoterapici (anti PD1-CTLA4), come già citato, sembra mostrare un aumento del rischio di polmonite rispetto alle monoterapie 16,25. Anche l’associazione tra pembrolizumab e chemioterapia 26 ha rilevato un rischio di ICI-ILD del 4,4% per tutti i gradi di tossicità, così come le terapie sequenziali EGFR TKIs e ICI o il loro utilizzo di combinazione, i cui trial clinici sono stati in parte interrotti proprio per l’alta incidenza di tossicità polmonare 27.
Infine, anche la stessa radioterapia, che da sola è in grado di determinare polmonite 28, mostra un rischio maggiore di tossicità se associata anche in modo sequenziale ad altri trattamenti. In pazienti pretrattati, in stadio III non resecabile, la terapia con durvalumab ha infatti mostrato un’incidenza di polmoniti o radiation pneumonitis di ogni grado del 33,9% e 24,8%, rispetto al placebo, quelle di grado 3-4 sono state 4,4% e il 3,8% 29.
L’evoluzione terapeutica degli ultimi anni ha reso essenziale per i clinici, in particolare per gli pneumologi, un maggior livello di attenzione e uno stretto monitoraggio dei pazienti in corso di terapia per tumore del polmone, al fine di diagnosticare e trattare tempestivamente le tossicità 23.
Diagnosi
La diagnosi di tossicità polmonare è resa difficile dalla mancanza di segni e/o sintomi specifici. I sintomi più comuni sono dispnea ingravescente, tosse secca, raramente febbre e dolore toracico: 1/3 dei pazienti sono comunque asintomatici e spesso la polmonite può manifestarsi insieme al coinvolgimento di altri organi, diagnosticata accidentalmente agli esami radiologici di follow up 5,30. L’esame obiettivo toracico può essere silente o possono essere presenti crepitii all’auscultazione. Il tempo medio di insorgenza è in genere breve, entro i 60 giorni per le terapie target (4-8 settimane) 6,31; per le ICI-ILD è di 2,8 mesi in letteratura, ma con un range molto ampio (alcuni giorni-19 mesi) 32. Alcuni autori hanno riportato un tempo di insorgenza precoce nel NSCLC rispetto ad altri tipi di neoplasia 33.
È dunque necessario uno stretto monitoraggio clinico dei pazienti, in modo da porre un’adeguata diagnosi differenziale in caso di insorgenza di nuovi sintomi: infezioni polmonari (compresi M. Tubercolosis, P. carinii), radiation pneumonitis, linfangite carcinomatosa, emorragia alveolare diffusa (in caso di trombocitopenia associata), tossicità cardiaca (miocarditi fulminanti possono presentarsi con ipossiemia severa e infiltrati polmonari) 9,11,30. In caso di terapia di seconda linea (es. nivolumab), dovrebbe essere presa in considerazione anche una tossicità da chemioterapia.
Per la conferma del sospetto clinico è raccomandata l’esecuzione di una TC torace ad alta definizione, utile nel valutare reperti di nuova insorgenza, la loro progressione e risoluzione 9.
Pattern radiologici
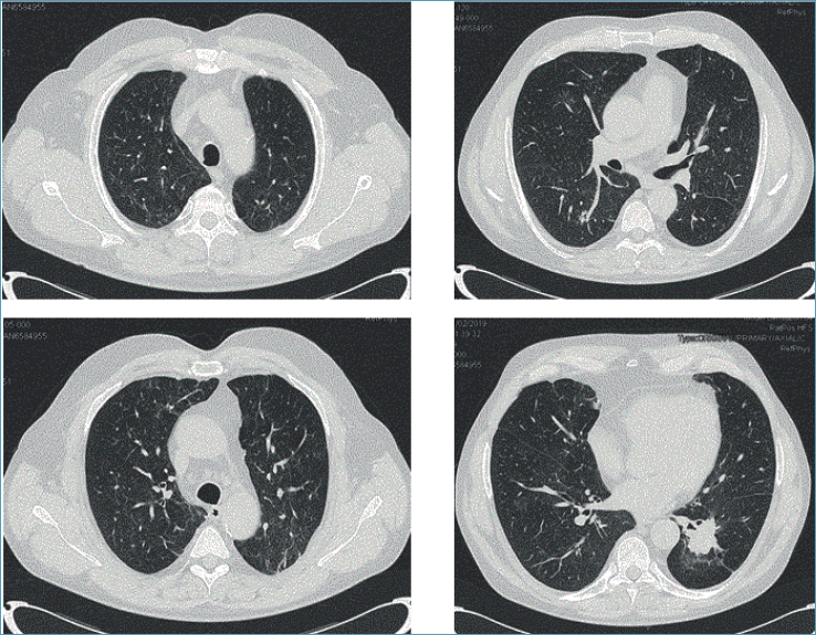
I primi report di polmoniti da immunoterapia (ICI-ILD) hanno descritto lo spettro delle possibili manifestazioni radiologiche e i differenti pattern di polmoniti interstiziali 15,32,34, in accordo con la classificazione proposta dalle linee guida ATS/ERS 35, utilizzata per tutti i tipi di polmoniti da farmaci 19,31. Di recente, a causa della grande diffusione dei nuovi farmaci oncologici e quindi, del crescente rischio di tossicità polmonare, la Fleischner Society 9 ha creato nuove linee guida che indirizzano il clinico nella diagnosi precoce e nella gestione dei paziente in terapia oncologica. In accordo con la letteratura, il pattern di ILD più comune è quello della polmonite organizzativa (OP), caratterizzato da opacità consolidative e ground glass, spesso migranti, tipico di tutti i tipi di tumore e caratteristico per più farmaci (Figg. 1 e 2).
Seguono il pattern NSIP (nonspecific interstitial pneumonia), la polmonite da ipersensibilità (HP), spesso associati a tossicità di minor grado 6,15. Lo sviluppo di un pattern fibrotico è meno comune nelle polmoniti da tossicità perché in genere i pazienti vengono trattati tempestivamente in fase acuta; tuttavia, benché meno frequenti, anche quadri di danno alveolare diffuso (acute interstitial pneumonia – AIP/ARDS) vengono descritti, in genere con polmoniti di grado ≥ 3 e con severo decorso clinico 9,31.
Sono riportati anche pattern più insoliti, come il fenomeno del transient asymptomatic pulmonary opacities, descritto nel 20% dei pazienti con NSCLC in terapia con osimertinib ed associato a miglior outcome, caratterizzato da un pattern eosinofilico (consolidazioni subsegmentali, opacità ground glass, uni o bilaterali, transitorie e migranti) 36.
Recentemente, infine, in pazienti in terapia con ICI, è stato descritto un sarcoid- like pattern (linfoadenopatie ilari o mediastiniche, spesso captanti alla PET, talvolta associate ad ispessimento nodulare pribroncovascolare o dei setti interlobulari). Altri organi possono essere coinvolti, spesso in forma asintomatica: essenziale è la diagnosi differenziale, soprattutto verso una progressione di malattia, per cui è indicata l’esecuzione di una biopsia 37,38.
Johkoh et al. 9, al fine di una corretta diagnosi di tossicità, propongono i seguenti criteri: a) opacità parenchimali di nuova insorgenza alla TC o RX torace, in genere bilaterali e non-segmentali; b) associazione temporale con l’inizio della terapia sistemica; c) esclusione di altre cause.
A tal proposito, è bene ricordare che in caso di terapia con ICI si possono riscontrare pattern radiologici peculiari (di risposta, oltre che di tossicità), non necessariamente patologici e dovuti al loro meccanismo d’azione, che il radiologo deve saper interpretare in modo da guidare il clinico nell’iter terapeutico 38,39. Si può avere infatti una risposta oggettiva dopo un iniziale sospetto di progressione, la cosiddetta pseudoprogressione, dovuta all’infiltrato di cellule immunitarie, transitorio, che può simulare l’aumento dimensionale della massa tumorale, a causa della reazione flogistica circostante 39. Benché questo evento sia raro, se non riconosciuto può portare alla prematura, ingiustificata sospensione della terapia. Gli stessi criteri radiologici di risposta alla terapia con ICI sono diversi da quelli della chemioterapia tradizionale, gli i RECIST.
Terapia
Ad oggi non esistono linee guida univoche di gestione delle DILD, soprattutto per pazienti oncologici, mentre diverse società scientifiche hanno dettato le linee di comportamento in caso di tossicità immuno-relata 7,8,10,40.
La severità di una reazione avversa viene in genere espressa secondo una scala di gravità in accordo con i Common terminology criteria for adverse events (CTCAE), che prendono in esame sintomi e supporto respiratorio 41; le linee guida AIOM 8 (Tab. I), in merito alle tossicità da immunoterapia, hanno fatto endorsement delle linee guida ASCO successivamente aggiornate 7, per una migliore caratterizzazione dei quadri radiologici (Tab. I).
Secondo la letteratura, in caso di sospetta DILD, la diagnosi prevede: RX torace, TC torace, valutazione clinica con saturazione/emogasanalisi 6,8,20,40.
Per le polmoniti di grado ≥ 2, è raccomandata l’esecuzione di esami per escludere una componente infettiva: esami ematici completi e microbiologici; lavaggio broncoalveolare (BAL), talvolta con biopsia transbronchiale, per la diagnosi di esclusione (infezione, progressione di malattia). È oggetto di studio il ruolo del BAL per lo studio delle popolazione cellulari coinvolte nella tossicità 34,42. Per le tossicità di grado 2, è indicata la sospensione del farmaco fino a risoluzione del quadro o fino al grado 1. Il trattamento prevede l’utilizzo di steroide, prednisone 1-2 mg/kg/die, riducendo di 5-10 mg/settimana in 4-6 settimane. Una terapia antibiotica empirica può essere presa in considerazione. Necessario è il monitoraggio stretto, clinico radiologico (almeno con RX torace). In caso di scarso miglioramento dopo 48-72 ore i pazienti dovrebbero essere trattati come grado 3.
È raccomandata la sospensione definitiva in caso di tossicità di grado 3-4, con ospedalizzazione dei pazienti e terapia steroidea ad alto dosaggio. In casi selezionati, in pazienti refrattari, anche l’utilizzo di immunosoppressori, benché off label, può essere valutato (infliximab, micofenolato, ciclofosfamide) 8.
Una TC torace dovrebbe essere ripetuta dopo circa 15 giorni, salvo peggioramento clinico.
Molto dibattuta è la possibilità di ripresa della terapia dopo l’evento di tossicità, dato il rischio di nuovo evento avverso (anche in altri organi/apparati), magari di grado maggiore. In particolare, in merito al re-challenge dell’immunoterapico, gli autori suggeriscono di prendere in considerazione il rapporto rischio-beneficio derivante dalla ripresa della terapia, previa valutazione multidisciplinare del caso 43.
Ruolo dello pneumologo
L’utilizzo delle terapie target e dell’immunoterapia nel trattamento del tumore del polmone sarà sempre più diffuso in futuro, per cui è necessario uno stretto monitoraggio clinico e funzionale dei pazienti al fine di diagnosticare precocemente una possibile tossicità 12.
Lo pneumologo ha un ruolo essenziale in: diagnosi iniziale: valutazione della severità di tossicità, mediante la clinica (frequenza respiratoria, grado di dispnea con scale standardizzate come la mMRC), spirometria completa con DLCO, EGA, 6mWT; esclusione di altre cause (infezione, progressione di malattia) mediante approccio più o meno invasivo, con BAL e/o biospia transbronchiale; monitoraggio clinico e funzionale respiratorio; follow up a distanza dall’evento acuto.
In caso di tossicità di grado ≥ 2, prende parte attiva anche al trattamento. Nonostante le principali società scientifiche guidino il clinico nella gestione della tossicità da immunoterapia 7,8,10, nella pratica clinica emergono differenze nel management dei pazienti con DILD, soprattutto in fase terapeutica. In base a due recenti survey 44, sembra che ci sia consensus tra i clinici soprattutto sulla valutazione funzionale respiratoria con spirometria, sia nella diagnosi che nel monitoraggio, così come sulla broncoscopia nella diagnosi di esclusione. In letteratura, l’incidenza di ICI-ILD sembra maggiore nel NSCLC rispetto ad altri tipi di tumori 16: come sopra citato, patologie polmonari preesistenti e abitudine tabagica, nonché il thoracic tumour burden (volume tumorale, atelettasia, versamento pleurico), potrebbero rappresentare un fattore di rischio per DILD, per cui una valutazione spirometrica, con pletismografia e DLCO, dovrebbe essere eseguita in questi casi già prima del trattamento e proseguita per tutta la durata 20,45. Anche in assenza di ILD radiologica, un declino della DLCO può riflettere un iniziale coinvolgimento dell’interstizio polmonare, così come una riduzione di FEV1 e FVC 45 e associarsi ad alterazioni della componente cellulare del BAL 42. Inoltre, emogasanalisi e 6MWT, monitorati nel tempo, possono assumere un ruolo prognostico.
In assenza di marker definiti di probabilità riposta/tossicità alle terapie, risulta fondamentale da parte dello pneumologo una buona selezione dei pazienti, sulla base dei dati clinici e funzionali 22.
Discussione
Circa il 2,5-5% delle interstiziopatie polmonari sono dovute a farmaci, in particolare ai farmaci antitumorali, tra cui farmaci target e immunoterapia 6. Le manifestazioni cliniche non sono specifiche e i meccanismi patogenetici non del tutto noti, correlati a fattori individuali del paziente e allo stesso farmaco responsabile. I quadri radiologici sono variegati per cui la diagnosi è spesso di esclusione: sia l’imaging che la funzionalità respiratoria hanno però il ruolo di valutare la gravità della tossicità e quindi la prognosi, guidando nell’iter terapeutico.
Benché l’incidenza di tossicità polmonare non sia significativa, essa può portare a sospensione del trattamento e, in certi casi, al decesso, rappresentando quindi una delle principali cause di mortalità tra le reazioni avverse (35% per gli ICI) 5,18, con impatto sulla sopravvivenza dei pazienti con tumore del polmone 46.
Una corretta gestione della tossicità supporta il ruolo dello pneumologo all’interno di un gruppo multidisciplinare 47, fin dal momento della selezione e del follow up dei pazienti candidati a terapia target/immunoterapia, con maggior attenzione ai pazienti BPCO o con ILD preesistenti 48. Più specialisti devono essere coinvolti in modo da porre diagnosi differenziale sulla base delle comorbilità del paziente e di altri farmaci potenzialmente tossici (es. amiodarone). Mentre sulla strategia diagnostica sembra esserci consensus tra gli autori, minori sono le evidenze riguardo alla terapia steroidea (dosaggio, timing del decalage) che spesso sono valutati caso per caso, sulla base della clinica e della funzione respiratoria 6,44.
Questo approccio si è dimostrato ancor più indispensabile in seguito alla pandemia da SARS-CoV-2, che condivide con la tossicità polmonare sia il quadro clinico, aspecifico, che alcuni pattern radiologici e rende ancora più difficoltosa la gestione del paziente con tumore del polmone 49,50.
Figure e tabelle
Figura 1.Paziente di 56 anni, maschio, adenocarcinoma polmonare stadio IV, PDL 1 70%, in trattamento con pembrolizumab. Multipli, irregolari addensamenti parenchimali a distribuzione prevalentemente peribroncovascolare; concomitano multiple areole a vetro smerigliato peribronchiolari diffuse. Quadro compatibile con OP (Paziente in cura presso AOU Careggi, Firenze).
Figura 2.Reperti HRTC dopo trattamento con steroide.
| Evento avverso | Grado G1 | Grado G2 | Grado G3 | Grado G4 |
|---|---|---|---|---|
| PolmoniteNCI-CTCAE v5.0 | Asintomatica Solo osservazione clinico-diagnostica Intervento non indicato | Sintomatica Indicato intervento medico Limitazione nelle ADL strumentali | Sintomi severi Limitazione nelle ADL primarie Indicata ossigenoterapia | Compromissione respiratoria potenzialmente letale Indicato intervento urgente (intubazione, tracheostomia) |
| PolmoniteASCO 2021 | Asintomatica Confinata a un lobo del polmone o < 25% del parenchima Solo osservazione clinico- diagnostica | Sintomatica Coinvolto più di un lobo o 25-50% del parenchima Indicato intervento medico Limitazione nelle ADL strumentali | Sintomi severi Richiesta ospedalizzazione Coinvolti tutti i lobi o >50% del parenchima Limitazione nelle ADL primarie Indicata ossigenoterapia | Compromissione respiratoria potenzialmente letale Indicato intervento urgente (intubazione) |
| PolmoniteAIOM 2020 | Continuare ICI (sospensione temporanea in casi selezionati, per quadro TC o comorbilità del paziente) Monitoraggio paziente | Sospendere ICI Terapia steroidea, Prednisone 1-2 mg/kg/die os (fino a risoluzione/G1, da scalare in 4-6 settimane) Riprendere ICI se G0/G1 Se non migliora trattare come G3 | Interrompere ICI definitivamente Terapia steroidea (metilprednisolone ev 1-2 mg/Kg/die) In caso di terapia steroidea prolungata aggiungere profilassi per infezioni opportunistiche Utilizzo off label di immunosoppressori in pazienti steroido-refrattari | |
Riferimenti bibliografici
- Bray F, Ferlay J, Soerjomataram I. Global cancer statistics 2018: GLOBOCAN estimates of incidence and mortality worldwide for 36 cancers in 185 countries. CA Cancer J Clin. 2018; 68:394-424. DOI
- Linee guida AIOM “Neoplasie del polmone”. 2021.
- Planchard D, Popat S, Kerr K, ESMO Guidelines Committee. Metastatic non small cell lung cancer: ESMO Clinical Practice Guidelines for diagnosis, treatment and follow up. Updated version. Ann Oncol. 2018; 29:iv192-iv237. Publisher Full Text | DOI
- Postow M, Sidlow R, Hellmann M. Immune-related adverse events associated with Immune Check point blockade. N Engl J Med. 2018; 378:158-168. DOI
- Ohmori T, Yamaoka T, Ando K. Molecular and clinical features of EGFR TKI associated lung injury. Int J Mol Sci. 2021; 22:792. DOI
- Skeoch S, Weatherley N, Swift AJ. Drug induced interstitial lung disease: a systematic review. J Clin Med. 2018; 7:E356. DOI
- Schneider BJ, Naidoo J, Santomasso BD. Management of immune-related adverse events in patients treated with immune checkpoint inhibitor therapy: ASCO guideline update. J Clin Oncol. 2021. DOI
- Associazione Italiana di Oncologia Medica (AIOM). Linee guida AIOM “Gestione della tossicità da immunoterapia”. Edizione. 2020. Publisher Full Text
- Johkoh T, Soo Lee K, Nishino M. Chest CT diagnosis and clinical management of drug-related pneumonitis in patients receiving molecular targeting agents and immune checkpoint inhibitors: a position paper from the Fleischner Society. Radiology. 2021; 298:550-566. DOI
- Haanen J, Carbonnel F, Robert C, ESMO Guidelines Committee. Management of toxicities from immunotherapy: ESMO Clinical Practice Guidelines for diagnosis, treatment and follow up. Ann Oncol. 2018; 29:iv264-iv266. DOI
- Lee CS, Sharma S, Miao E. A comprehensive review of contemporary literature for epidermal growth factor receptor tyrosine Kinase inhibitors in non small cell lung cancer and their toxicity. Lung Cancer (Auckl). 2020; 11:73-103. DOI
- Thompson JA, Schneider BJ, Brahmer J. Management of immunotherapy-related toxicities, Version 1.2019. J Natl Compr Canc Netw. 2019; 17:255-289. DOI
- Suh CH, Kim KW, Pyo J. The incidence of ALK related pneumonitis in advanced non small cell lung cancer patients: a systematic review and meta-analysis. Lung Cancer. 2019; 132:79-86. DOI
- Ng TL, Narasimhan N, Gupta N. Early onset pulmonary events associated with Brigatinib use in advanced NSCLC. J Thorac Oncol. 2020; 15:1190-1199. DOI
- Nishino M, Ramaija N, Awad MM. PD1 inhibitor-related pneumonitis in advanced patients: radiographic patterns and clinical course. Clin Cancer Res. 2016; 22:6051-6060. DOI
- Nishino M, Giobbie-Hurder A, Hatabu H. Incidence of programmed cell death 1 inhibitor-related pneumonitis in patients with advanced cancer: a systematic review and meta-analysis. JAMA Oncol. 2016; 2:1607-1616. DOI
- Pillai RN, Behera M, Owonikoko TK. Comparison of the toxicity profile of PD1 versus PDL1 inhibitors in non small cell lung cancer: a systematic analysis of the literature. Cancer. 2018; 124:271-277. DOI
- Wang DY, Salem JE, Cohen JV. Fatal toxic effects associated with immune checkpoint inhibitors: a systematic review and meta-analysis. JAMA Oncol. 2018; 4:1721-1728. DOI
- Distefano G, Fanzone L, Palermo M. HRTC Patterns of drug-induced interstitial lung diseases: a review. Diagnostics (Basel). 2020; 10:244. DOI
- Sears CR, Peikert T, Possick JD. Knowledge gaps and research priorities in immune checkpoint- inhibitor related pneumonitis. Am J Respir Crit Care Med. 2019; 200:e31-e43. DOI
- Mark NM, Kargl J, Busch SE. Chronic obstructive pulmonary disease alters immune cell composition and immune checkpoint inhibitory efficacy in non small cell lung cancer. Am J Respir Crit Care Med. 2018; 197:325-336. DOI
- Haanen J, Ernstoff MS, Wang Y. Autoimmune diseases and immune checkpoint inhibitors for cancer therapy: review of the literature and personalized risk-based prevention strategy. Ann Oncol. 2020; 31:724-744. DOI
- Long K, Suresh K. Pulmonary toxicity of systemic lung cancer therapy. Respirology. 2020; 25:72-79. DOI
- Suresh K, Voong KR, Shankar B. Pneumonitis in non-small cell lung cancer patients receiving immune check point immunotherapy: incidence and risk factors. J Thorac Oncol. 2018; 13:1930-1939. DOI
- Hellmann MD, Ciuleanu TE, Pluzanski A. Nivolumab plus ipilimumab in lung cancer with high tumor mutational burden. N Engl J Med. 2018; 378:2093-2104. DOI
- Gandhi L, Rodriguez-Abreu D, Gadgeel S, for the KEYNOTE-189 Investigators. Pembrolizumab plus chemotherapy in metastatic non small cell lung cancer. N Engl J Med. 2018; 378:2078-2092. DOI
- Oxnard GR, Yang JC, Yu H. TATTON: a multi arm, phase Ib trial of Osimertinib combined with selumetinib, savolitinib or durvalumab in EGFR mutant lung cancer. Ann Oncol. 2020; 31:507-516. DOI
- Rahi MS, Parekh J, Pednekar P. Radiation induced lung injury – Current perspectives and management. Clin Pract. 2021; 11:410-429. DOI
- Antonia SJ, Villegas A, Daniel D, for the PACIFIC Investigators. Durvalumab after chemoradiotherapy in stage III non-small-cell lung cancer. N Engl J Med. 2017; 377:1919-1929. DOI
- Suresh K, Naidoo J, Lin CT, Danoff S. Immune checkpoint immunotherapy for non-small cell lung cancer: benefits and pulmonary toxicities. Chest. 2018; 154:1416-1423. DOI
- Terbuch A, Tiu C, Candilejo I. Radiological patterns of drug-induced interstitial lung disease (DILD) in early-phase oncology clinical trial. Clin Cancer Res. 2020; 26:4805-4813. DOI
- Naidoo J, Wang X, Woo K. Pneumonitis in patients treated with anti-programmed death-1/programmed death ligand 1 therapy. J Clin Oncol. 2017; 35:709-717. DOI
- Khoja L, Day D, Wei-Wu Chen T. Tumour-and class-specific patterns of immune-related adverse events of immune checkpoint inhibitors: a systematic review. Ann Oncol. 2017; 28:2377-2385. DOI
- Delaunay M, Cadranel J, Lusque A. Immune-checkpoint inhibitors associated with interstitial lung disease in cancer patients. Eur Respir J. 2017; 50:I700050. DOI
- Travis WD, Costabel U, Hansell DM. An official ATS/ERS statement: update of the international multidisciplinary classification of the idiopathic interstitial pneumonias. Am J Respir Crit Care Med. 2013; 188:733-748. DOI
- Lee H, Lee HY, Sun JM. Transient asymptomatic pulmonary opacities during osimertinib treatment and its clinical implication. J Thorac Oncol. 2018; 13:1106-1112. DOI
- Rambhia PH, Reichert B, Scott JF. Immune checkpoint inhibitor-induced sarcoidosis-like granulomas. Int J Clin ONcol. 2019; 24:1171-1181. DOI
- Nishino M, Hatabu H, Hodi FS. Imaging of cancer immunotherapy: current approaches and future directions. Radiology. 2019; 290:9-22. DOI
- Borcoman E, Kanjanapan Y, Champiat S. Novel patterns of response under immunotherapy. Ann Oncol. 2019; 30:385-396. DOI
- Brahmer JR, Abu-Sbeih H, Ascierto PA. Society for Immunotherapy of Cancer (SITC) clinical practice guidelines on immune checkpoint inhibitor-related adverse events. J Immunother Cancer. 2021; 9:e002435. DOI
- U.S. Department of Health and Human Services. Common Terminology Criteria for Adverse Events (CTCAE). National Institutes of Health, National Cancer Institute.Publisher Full Text
- Suresh K, Naidoo J, Zhong Q. The alveolar immune cell landscape is dysregulated in checkpoint inhibitor pneumonitis. J Clin Invest. 2019; 129:4305-4315. DOI
- Dolladille C, Ederhy S, Sassier M. Immune checkpoint inhibitor rechallange after immune-related adverse events in patients with cancer. JAMA Oncol. 2020; 6:865-871. DOI
- Eaden JA, Skeoch S, Waterton JC. How consistently do physicians diagnose and manage drug induced interstitial lung disease? Two surveys of European ILD specialist physicians. ERJ Open Res. 2020; 6:00286-2019. DOI
- Suzuki Y, Karayama M, Uto T. Assessment of immune related interstitial lung disease in patients with NSCLC treated with immune checkpoint inhibitors: a multicenter prospective study. J Thorac Oncol. 2020; 15:1317-1327. DOI
- Suresh K, Psoter KJ, Voong KR. Impact of checkpoint inhibitor pneumonitis on survival in NSCLC patients receiving immune checkpoint immunotherapy. J Thorac Oncol. 2019; 14:494-502. DOI
- Naidoo J, Zhang J, Lipson EJ. A multidisciplinary toxicity team for cancer immunotherapy-related adverse events. J Natl Compr Canc Netw. 2019; 17:712-720. DOI
- Naidoo J, Suresh K. A multidisciplinary approach for patients with pre-existing lung disease and immune checkpoint inhibitor toxicities. Oncologist. 2020; 25:e1589-e1592. DOI
- Cherri S, Noventa S, Fanelli M. Drug related pneumonitis in cancer treatment during the COVID-19 era. Cancers (Basel). 2021; 13:1052. DOI
- Naidoo J, Reuss JE, Suresh K. Immune-related-(IR)-pneumonitis during the COVID 19 pandemic: multidisciplinary recommendations for diagnosis and management. J Immunother Cancer. 2020; 8:e000984. DOI
Affiliazioni
Licenza

Questo lavoro è fornito con la licenza Creative Commons Attribuzione - Non commerciale - Non opere derivate 4.0 Internazionale.
Copyright
© Associazione Italiana Pneumologi Ospedalieri – Italian Thoracic Society (AIPO – ITS) , 2021
Come citare
- Abstract visualizzazioni - 17915 volte
- PDF downloaded - 1802 volte
