Inalazione di denti: due casi con una terapia in comune
Abstract
Presentiamo un caso di inalazione di protesi dentaria in un paziente con OSAS in trattamento con CPAP, che, per caratteristiche cliniche, è sovrapponibile ad uno, in precedenza pubblicato, di inalazione di denti. In entrambi i casi, con presumibile certezza, l’inalazione è stata favorita dalla ventilazione notturna in posizione supina.
Introduzione
La ventilazione non invasiva (Non Invasive Ventilation, NIV) è sempre più utilizzata nel trattamento dell’insufficienza respiratoria 1,2, così come la Continuous Positive Airway Pressure (CPAP) nel trattamento dei disturbi respiratori correlati ad apnee ostruttive durante il sonno. Uno dei fattori chiave che determinano il successo della NIV e della CPAP è la scelta dell’interfaccia 3. Tale scelta è influenzata principalmente dalla forma del viso, dal modello di respirazione bocca/naso, da eventuale patologia nasale, dall’esperienza del personale. Non va inoltre trascurata la presenza di protesi dentali. Infatti, la ventilazione con maschera è solitamente difficoltosa nei pazienti edentuli, in quanto le protesi contribuiscono a preservare l’integrità anatomica orofacciale e la tenuta della maschera. Tuttavia, va considerato che gli effetti della pressione della maschera facciale sulla regione mascellare durante la ventilazione possono potenzialmente indurre lo spostamento di protesi e compromettere la pervietà delle vie aeree 4.
Nel 2012, presso il nostro Centro, abbiamo diagnosticato un caso di inalazione di tre denti all’interno del bronco lobare inferiore destro, rimossi tramite fibrobroncoscopia flessibile. Il caso è stato pubblicato su questa rivista 5: il paziente in questione, per età e comorbilità, non presentava fattori favorenti l’inalazione di corpi estranei, ma era affetto da parodontosi e sindrome delle apnee notturne (Obstructive Sleep Apnea Syndrome, OSAS) in terapia con CPAP. Ciò aveva posto il sospetto che la ventilazione avesse favorito la dislocazione e l’inalazione di denti facilmente rimovibili nelle vie aeree; il paziente aveva presentato una sintomatologia tardiva correlata a polmonite ostruttiva determinata dall’occlusione del lume per il bronco lobare inferiore da parte dei denti di cui sopra.
Descriveremo ora un secondo caso, da noi diagnosticato recentemente, di inalazione di una protesi costituita da un ponte di tre denti all’interno del bronco lobare inferiore destro, in un paziente di età media, affetto da OSAS in terapia con CPAP.
Caso clinico
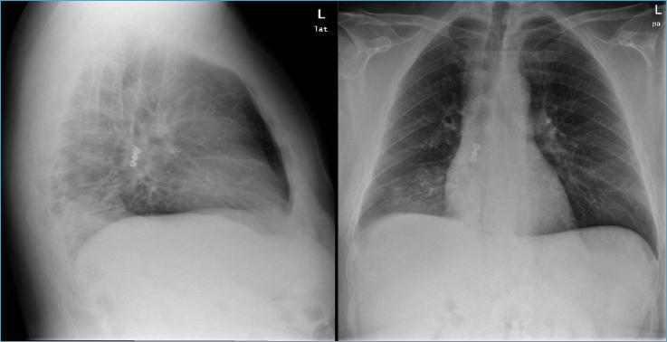
Un uomo di 51 anni, giungeva in Pronto Soccorso per rimozione accidentale di stent ureterale dx. In anamnesi si rilevavano: obesità, ipertensione, diabete tipo II, cardiopatia dilatativa con severa disfunzione ventricolare (FE 30%), calcolosi ureterale dx con idronefrosi e posizionamento di stent ureterale in attesa di intervento, OSAS di grado severo con indice apnee-ipopnee (apnea-hypopnea index, AHI) di 58h e insufficienza respiratoria (TST90 48%), in terapia con CPAP con interfaccia di tipo oronasale. Non erano presenti patologie e/o disordini di tipo neurologico. All’emogasanalisi arteriosa, si evidenziava ipossiemia (PaO2 59 mmHg), mentre la pressione parziale di anidride carbonica e l’equilibrio acido-base erano nei limiti (PaCO2 44 mmHg). L’Rx torace mostrava, in corrispondenza del bronco per il lobo inferiore destro, la presenza di protesi metallica, con disomogeneità polmonare post ostruttiva (Fig. 1). Da circa un mese il paziente riferiva di aver constatato la perdita di protesi dentaria (segmento di 3 denti) senza aver presentato sintomatologia correlata ad inalazione, eccetto la presenza di modesta tosse irritativa in rapporto alla postura.
Il paziente veniva ricoverato e sottoposto inizialmente a fibrobroncoscopia flessibile (fibrobroncoscopio Olympus CV-180, diametro 5,6 mm, canale operativo 2 mm) in anestesia locale (lidocaina 10%) e sedazione cosciente (midazolam 2,5 mg ev e fentanyl 1 microgrammo/kg), con visualizzazione di protesi dentaria ostruente il ramo lobare inferiore destro. Mucosità biancastre ricoprivano la protesi, apparsa da subito tenacemente adesa alle pareti bronchiali. Pinze o cestelli, da utilizzare attraverso fibrobroncoscopio flessibile, apparivano non idonei per le dimensioni della protesi con possibile perdita della stessa durante il transito lungo le vie aeree. Si convertiva quindi la procedura in endoscopia rigida (broncoscopio rigido Karl Storz S 8,5 mm) sottoponendo il paziente ad anestesia generale, con rimozione di ponte dentario di 3 denti di 2,8 x 0,7 cm (Fig. 2) mediante pinza ottica “a coccodrillo”.
Il successivo controllo fibrobroncoscopico evidenziava totale pervietà del bronco lobare inferiore dx e dei suoi rami segmentari, con mucosa bronchiale normale senza evidenza di tessuto di granulazione.
Discussione
L’inalazione di corpi estranei, come è noto, è tipica in età pediatrica (età media 24 mesi), mentre in età adulta è condizionata da fattori predisponenti, come disordini neurologici 6,7. Nei soggetti adulti, inoltre, l’inalazione di un corpo estraneo può intercorrere senza una sintomatologia acuta e l’anamnesi, dai dati della letteratura 7, è positiva solo nel 43,9-75% dei casi. Le maggiori dimensioni delle vie aeree dell’adulto e l’assenza di radioopacità della gran parte dei corpi estranei sarebbero alla base di questo differente comportamento clinico. Nell’adulto, pertanto, il quadro clinico di esordio è rappresentato più spesso dalle complicanze dell’inalazione, quali broncopolmoniti recidivanti nella stessa sede, tosse cronica resistente ai trattamenti e atelettasie 8. La successiva indagine fibrobroncoscopica consente il rilievo di corpo estraneo.
I dati della letteratura 9 evidenziano quali fattori favorenti l’aspirazione dentale: traumi maxillo-facciali, intubazioni d’urgenza e trattamenti odontoiatrici in cui è possibile che alcuni strumenti dentali o viti vengano aspirati.
Il caso da noi presentato, così come quello precedentemente pubblicato, si discosta da quelli riguardanti l’inalazione di corpi estranei in età adulta, per l’assenza dei fattori predisponenti precedentemente elencati, come pure di disordini neurologici, utilizzo di psicofarmaci, alcolismo, etc. Gli elementi presenti in entrambi i casi sono invece le anomalie dentarie (paradontosi nel primo e protesi dentaria nel secondo) e il trattamento con CPAP.
È ipotizzabile un’inalazione favorita dalla ventilazione notturna con CPAP? L’ipotesi può essere reale considerando che si tratta di pazienti di età media e senza altri fattori favorenti l’inalazione di corpi estranei. Possiamo considerare determinante la presenza di anomalie dentarie, nel primo caso rappresentata da paradontosi con facile caduta di denti residui, nel secondo di una protesi che aveva perso il suo ancoraggio alla struttura ossea delle arcate dentarie. In entrambi, la ventilazione notturna e la posizione supina avrebbero favorito l’aspirazione.
La rimozione della protesi dentaria è avvenuta tramite fibrobroncoscopia rigida, mentre nel caso pubblicato nel 2012 la rimozione fu possibile tramite fibrobroncoscopia flessibile. Di fatto, sono sempre più numerosi i case report di utilizzo di fibrobroncoscopia flessibile 10 per l’estrazione di corpi estranei delle vie aeree, sfruttando il suo più esteso campo visivo, ma con dei limiti rappresentati dalla dimensione del corpo estraneo e dalla disponibilità di diversi presidi per l’estrazione (pinze, cestelli, etc.). In uno studio retrospettivo monocentrico 11 di 693 casi di rimozione di corpi estranei dalle vie aeree ne sono stati selezionati 15 (2,2%) che hanno riguardato l’aspirazione di denti e protesi dentali avvenuta principalmente a seguito di lesioni maxillo-facciali o di interventi intraorali. Di questi, l’80% è stato rimosso con broncoscopia rigida mentre il 13,3% attraverso broncoscopia flessibile. La broncoscopia flessibile si era dimostrata più idonea nel recupero di protesi parziali di denti, frammenti di denti rotti e vite per impianto dentale, mentre nei casi di protesi a ponte (o comunque di protesi dentali di maggiori dimensioni) è stata utilizzata la broncoscopia rigida.
Nel caso da noi presentato, dopo la visualizzazione con fibrobroncoscopia flessibile, si è convertita la procedura in endoscopia rigida in anestesia generale con la camicia di maggior diametro possibile affinché la protesi potesse essere contenuta al suo interno. La scelta è stata motivata dalle dimensioni del ponte protesico, con rischio di perdita e ritorno nelle vie aeree, dalla possibilità che i bordi della protesi dentale rivestiti in metallo potessero danneggiare la parete tracheale e le corde vocali, e da una migliore gestione di eventuali complicazioni come l’emottisi.
Conclusioni
Nell’applicazione di NIV o di CPAP è necessario porre particolare attenzione alla situazione dentaria del paziente. Le protesi mantengono l’integrità anatomica orofacciale e facilitano la tenuta della maschera. A ciò dovrà associarsi la possibilità di proteggersi da inalazione di denti e/o residui dentari o persino di protesi come ponti dentari, laddove nel tempo si possa perdere la fissità all’arcata dentaria. Pertanto, una valutazione odontoiatrica iniziale, un monitoraggio dopo ogni procedura di posizionamento/distacco dell’interfaccia e un follow-up sono auspicabili in questi pazienti.
Figure e tabelle
Figura. 1.Rx torace nelle due proiezioni antero posteriore e laterale, con presenza di corpo estraneo metallico in bronco del LID, e addensamento parenchimale contestuale.
Figura. 2.Protesi dentale subito dopo la rimozione con endoscopia rigida.
Riferimenti bibliografici
- ATS Interational Consensus Conference in Intensive Care Medicine: noninvasive positive pressure ventilation in acute respiratory failure. Am J Respir Care Med. 2001; 163:283-291. DOI
- British Thoracic Society Standards of Care Committee. Non-invasive ventilation in acute respiratory failure. Thorax. 2002; 57:192-211. DOI
- Brill AK. How to avoid interface problems in acute noninvasive ventilation. Breathe. 2014; 10:230-242. DOI
- Lin CH, Lin HY, Yang CJ. Man on noninvasive positive airway pressure ventilation with throat pain. J Acute Med. 2022; 12:158-160. DOI
- Pinto L, Ciampi L, Di Napoli PL, Schino P. Una inusuale complicanza in corso di ventilazione non invasiva. Rassegna di Patologia dell’Apparato Respiratorio. 2012; 27:42-45.
- Baharloo F, Veyckemans F, Francis C. Tracheobronchial foreign bodies: presentation and management in children and adult. Chest. 1999; 115:1357-1362. DOI
- Delage A, Marquette CH. Interventional pulmonology. Eur Respir Mon. 2010. DOI
- Sersar SI, Hamza UA, Abdel Hammed WA. Inhaled foreign bodies: management according to early or late presentation. Eur J Cardiothorac Surg. 2005; 28:369-374. DOI
- Xiao WL, Zhang DZ, Wang YH. Aspiration of two permanent teeth during maxillofacial injuries. J Craniofac Surg. 2009; 20:558-560. DOI
- Winsett R, Restrepo M. Nothing but net: successful tooth retrieval via flexible bronchoscopy. Chest. 2018; 154:844A. DOI
- Eliçora A, Sezer HF, Topçu S, Tülay Çardaközü. Tracheobronchial tooth and dental prosthesis aspirations: 15 cases. J Cardiothorac Surg. 2023; 18:78.
Affiliazioni
Licenza

Questo lavoro è fornito con la licenza Creative Commons Attribuzione - Non commerciale - Non opere derivate 4.0 Internazionale.
Copyright
© Associazione Italiana Pneumologi Ospedalieri – Italian Thoracic Society (AIPO – ITS) , 2024
Come citare
- Abstract visualizzazioni - 632 volte
- PDF downloaded - 52 volte
